La pericarditis aguda es la enfermedad más común que afecta al pericardio; en ocasiones, puede ser la primera manifestación de una enfermedad sistémica subyacente o, por el contrario, representar un proceso aislado. En los países desarrollados, la causa más habitual es el origen viral, aunque en la mayoría de los casos no se llega a una confirmación etiológica1. Actualmente, para establecer el diagnóstico, según las guías internacionales2, es imprescindible el uso de la ecografía.
Presentamos el caso de una mujer de 21 años sin antecedentes clínicos de interés. La paciente acudió a nuestro servicio de urgencias por cuadro de disnea y dolor torácico de 3 días de evolución. Al inicio del cuadro fue valorada por su médico de familia, que indicó tratamiento con budesonida inhalada, por sospecha de broncoespasmo, sin clara mejoría clínica. El día previo a nuestra consulta, consultó en 2ocasiones en otro servicio de urgencias hospitalarias, en el que tras una radiografía de tórax y analítica sin hallazgos, diagnosticaron posible trastorno por ansiedad, y pautaron tratamiento domiciliario con 1mg de lorazepam por la noche. La paciente negaba autoescucha de sibilancias, así como fiebre o distermia durante todo el proceso, negaba labilidad emocional o mayor estrés del habitual. Ante ausencia de mejoría del cuadro clínico decidió consultar de nuevo en urgencias.
A la exploración física, la paciente presentaba buena perfusión periférica, presión arterial de 124/82mmHg, frecuencia cardíaca de 91 lpm y saturación de oxígeno del 99%, respirando aire ambiente, y una temperatura axilar de 36,2°C. La exploración física por aparatos no mostró alteraciones.
En cuanto a las pruebas complementarias, incluyendo hemograma, bioquímica con proteína C reactiva, troponina I y dímero D, se encontraban dentro de los valores de la normalidad. En el electrocardiograma presentaba un ritmo sinusal a 68 latidos por minuto, sin alteraciones significativas.
A pesar de la inespecificidad del cuadro, decidimos reinterrogar a la paciente, quien matizó finalmente que el dolor torácico era de características pleuríticas en área submamaria izquierda, y que mejoraba con la sedestación inclinada hacia delante.
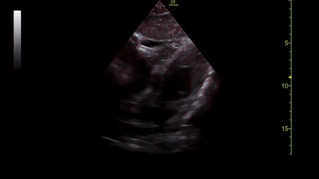
En ese momento, se realizó una ecocardioscopia que mostró buena función biventricular, ausencia de valvulopatías, de crecimiento de cavidades y de hipertrofia ventricular. Como hallazgo patológico destacó la presencia de un derrame pericárdico (fig. 1 y vídeo 1) que no llegaba a producir compromiso hemodinámico.
Con estos hallazgos, se llegó al diagnóstico de pericarditis aguda, cumpliendo 2 de los 4 criterios3: dolor típico y derrame pericárdico. En ese momento se inició tratamiento con 500mg de ácido acetilsalicílico con 2comprimidos en desayuno, comida y cena, asociando gastroprotección, y 0,5mg de colchicina (un comprimido al día durante 2semanas). Además, se suspendieron sus tratamientos previos (budesonida y lorazepam). Al alta, se derivó a la paciente a consultas externas de medicina interna para completar estudio.
La etiología de la pericarditis aguda es muy variable, puede ser debida a causas infecciosas (viral y bacteriana), tras irradiación torácica (por ejemplo, radioterapia), a síndrome coronario agudo, a drogas o toxinas, a causas metabólicas, enfermedades sistémicas, neoplasias, vasculitis, puede ser congénita o idiopática4. En el caso de nuestra paciente, se realizó un estudio dirigido a descartar una enfermedad sistémica como desencadenante de la pericarditis aguda, por lo que se le solicitó un estudio de autoinmunidad (inmunoglobulinas, factor reumatoide, C3 y C4, anticuerpos ANA, EliA, ENA, Ro/SS-A, La/SSB, Sm, RNP, SCL 70, Jo-1, IgG e IgM anticardiolipina-dependiente de β2GPI, IgG e IgM anti-β2GPI) así como distintas serologías (sífilis, citomegalovirus, herpes simple, Mycoplasma pneumoniae, hepatitis B, C, mononucleosis infecciosa, Chlamydia, VIH y parvovirus) que resultaron ser negativos.
En los pacientes con pericarditis aguda en los que no se identifica ninguna causa, la etiología se presupone habitualmente como viral o inmunomediada5, con buen pronóstico a largo plazo.
Destacamos el caso de esta paciente porque era la tercera vez que consultaba por el mismo motivo, habiendo recibido previamente el diagnóstico de ansiedad o cuadro catarral. Esto puede ocurrir con bastante frecuencia en nuestra práctica habitual, dada la inespecificidad de los síntomas relatados, guiada por una anamnesis insuficiente y un diagnóstico que delegamos cada vez más en pruebas de laboratorio, en el contexto de un sistema sanitario saturado y de abuso creciente de la atención urgente. Sin los hallazgos facilitados por la ecografía, el diagnóstico hubiera pasado desapercibido por completo.
La ecografía clínica es una herramienta rápida, costo efectiva e inocua, realizada por el propio médico responsable de la atención del paciente, que nos permite orientar el diagnóstico ante cuadros inespecíficos y descartar enfermedades urgentes. Según el escenario clínico, se apoya en unos planos ecográficos determinados (corazón o ecocardioscopia, pulmón, grandes vasos...) para la obtención de la información necesaria para responder cuestiones concretas y cruciales que buscan una orientación diagnóstica a un problema relevante. En el caso de la ecocardioscopia, tras una formación reglada previa6, con curvas de aprendizaje relativamente cortas, nos capacita para detectar determinadas alteraciones cardíacas de alta rentabilidad diagnóstica.
En el caso clínico expuesto, la ecografía clínica supuso la clave para llegar al diagnóstico, optimizó el tratamiento empírico de la paciente y facilitó su posterior mejoría en el seguimiento.
Consentimiento éticoSe ha contado con el consentimiento del paciente y se han seguido los protocolos de los centro de trabajo sobre tratamiento de la información de los pacientes.




