El estreñimiento es un cuadro clínico muy frecuente en nuestras consultas, en principio de fácil abordaje y por tanto fácil de obviar en ciertos casos la exploración física y la realización de alguna prueba complementaria, que se puede considerar de poca importancia inicialmente.
Pero en ocasiones puede ser causa de dolor continuo e innumerables molestias para la persona que lo presenta, llegando a producir cuadros clínicos graves.
Presentamos un caso en el que nuestro paciente presentaba este tipo de enfermedad como antecedente y tras la realización de una breve anamnesis y una correcta y rápida exploración se convirtió en una urgencia quirúrgica.
Constipation is a common health problem in our clinics. At first, we think that a physical examination and additional tests are not necessary.
This condition may be considered unimportant initially, but it can give rise to ongoing pain, discomfort, for the many who suffer from it, and sometimes can present with severe clinical symptoms.
We present a case of a patient presented with this condition, and after conducting a brief anamnesis and a complete and rapid physical examination, the patient was finally treated as a surgical emergency.
Paciente de 70 años que acude al servicio de urgencias de su hospital de referencia por un dolor abdominal, que se repite por segunda vez en menos de una semana y que hasta la fecha le controlan en su centro de salud, siendo diagnosticado en una primera evaluación de estreñimiento. Se le pautaron laxantes y control evolutivo. El paciente refiere clínica de estreñimiento con dolor abdominal y pérdida de hasta 20kg en los últimos 4 meses, sin síndrome miccional, ni sensación distérmica, ni otra clínica acompañante.
Como antecedentes personales cabe destacar un trastorno depresivo y el propio estreñimiento ya reflejado en su historial. No refiere intervenciones quirúrgicas previas.
El paciente sigue actualmente tratamiento farmacológico con: alprazolam, 1,5 comprimidos/día; fluvoxamina maleato 100, 1 comprimido/día; imipramina 75, 1 comprimido/día; lormetazepam, 1 comprimido/día; lactulosa 1 sobre/12 h, e hidrocortisona acetato crema.
A su llegada a urgencias, el paciente presentaba regular estado general, llamaba la atención el importante estado caquéctico debido a su pérdida de peso. Normocoloreado y normohidratado. Llevaba pañal. Constantes dentro de la normalidad y afebril.
La auscultación cardiopulmonar es rítmica sin soplos, con disminución del murmullo vesicular, sin ruidos sobreañadidos.
En la exploración del abdomen se observa lo siguiente: blando y depresible, doloroso a la palpación en hemiabdomen izquierdo, se aprecia en zona de fosa ilíaca izquierda-zona inguinal una masa abdominal de unos 5-7cm de consistencia pétrea, no desplazable, ni reducible. Durante la exploración se objetivan heces de forma líquida, sin productos patológicos en el pañal. Tacto rectal: ampolla vacía, no se aprecia fecaloma y en el dedil se aprecia manchado de restos fecales.
Exploración neurológica: sin focalidad. Los reflejos aparecen conservados y simétricos, así como no se aprecian dismetrías y la exploración de los pares craneales es también normal.
Ante los hallazgos en la exploración se solicita una analítica en la que tanto hemograma, bioquímica y coagulación se encuentran dentro de los rangos de normalidad y una radiografía abdominal que se informa como «abundantes heces en marco cólico, sin otros hallazgos».
Tras los resultados de las pruebas realizados se realiza interconsulta al servicio de cirugía de guardia para consensuar qué prueba pedir a continuación (ecografía [ECO], tomografía computarizada [TC]) y averiguar el posible origen de la masa encontrada durante la exploración.
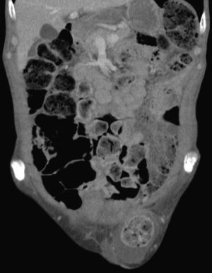
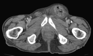
Tras la valoración por cirugía se decide pedir una TC abdominal que es informada como: «Múltiples quistes simples distribuidos en ambos lóbulos hepáticos. Marco cólico en su totalidad ocupado por heces, hernia inguinal izquierda que contiene segmento corto del sigma. Calcificación de aorta infrarrenal y ambas arterias ilíacas, alteración de la trabeculación en acetábulo y pala ilíaca del lado izquierdo» (figs. 1 y 2).
Tras las pruebas complementarias se llegó al diagnóstico definitivo de hernia inguinal incarcerada, con lo que se procedió a efectuar el tratamiento quirúrgico definitivo con carácter de urgencia. Tras la cirugía el paciente evolucionó favorablemente y le fue dada el alta con control ambulatorio. Durante el seguimiento desde la consulta de atención primaria el paciente tuvo buena evolución clínica.
DiscusiónEl estreñimiento es una enfermedad que se supone que representa un 20% aproximado de las consultas de aparato digestivo en atención primaria. Afecta a casi uno de cada 5 españoles, siendo más frecuente en el sexo femenino que en el masculino en la proporción aproximada de 2:1 y aumenta sobre todo a partir de los 65 años. Su prevalencia es elevada, situándose entre el 2 y el 28% de la población, aunque solo un tercio de los pacientes con estreñimiento van a buscar atención médica, pudiendo conllevar una afectación de la calidad de vida. Hay que tener en cuenta que se trata de un síntoma basado en la percepción subjetiva de un trastorno de la defecación.
El estreñimiento se subdivide según su tiempo de evolución en estreñimiento de reciente comienzo y crónico, en dependencia del tiempo desde su aparición, con un intervalo de tiempo estimado para considerar un estreñimiento como crónico no bien establecido y que varía según diferentes autores entre 3 meses y un año1,2.
Esta enfermedad tiene su origen en diversas causas, siendo la más frecuente el estreñimiento funcional, cuyo diagnóstico se recoge en la tabla 1 (criterios de Roma III). Aparte del estreñimiento funcional, este puede ser debido a multitud de enfermedades orgánicas de diversa índole o derivado de la toma de fármacos3,4. En las tablas 2 y 3 se recogen sucesivamente, para su mejor comprensión, los factores de riesgo para la aparición del estreñimiento, así como aquellos factores que pueden ser o actuar como desencadenante de este.
Criterios de Roma III para el diagnóstico del estreñimiento crónico funcional
| 1. Debe incluir 2 o más de los siguientes:a) Deposición dificultosa en al menos el 25% de las defecacionesb) Deposiciones duras o grumosas en al menos el 25% de las defecacionesc) Sensación de evacuación insuficiente en al menos el 25% de las defecacionesd) Sensación de obstrucción o bloqueo anorectal en al menos el 25% de las defecacionese) Manipulación manual para facilitar la evacuación en al menos el 25% de las defecaciones (digitalización o sujeción de suelo pélvico)f) Menos de 3 deposiciones a la semana2. Deposiciones blandas son raras sin el uso de laxantes3. Insuficientes criterios para síndrome de intestino irritableCriterios que se cumplan en los últimos 3 meses con inicio de las molestias al menos 6 meses antes del diagnóstico |
Desencadenantes más frecuentes del estreñimiento agudo u ocasional
| Cambios dietéticos |
| Toma de determinados fármacos |
| Toma de astringentes de forma excesiva |
| Quimioterapia (alcaloides de la vinca) |
| Opioides o sedantes |
| Preparaciones anticolinérgicas (p. ej., antiespasmódicos gastrointestinales, agentes antiparkinsonianos y antidepresivos) |
| Fenotiazinas |
| Antiácidos a base de calcio y aluminio |
| Diuréticos |
| Suplementos vitamínicos (p. ej., hierro y calcio) |
| Tranquilizantes e hipnóticos |
| Anestesia general |
| Viajes |
| Gestación |
| Períodos de inmovilidad prolongados por distintas causas |
| Otras enfermedades orgánicas (tumores que ocupen la luz intestinal, bridas posquirúrgicas, hernias complicadas, etc.) |
El diagnóstico del estreñimiento pasa por averiguar si es un estreñimiento funcional o derivado de alguna de las circunstancias o desencadenantes anteriormente descritos (iatrogénico, enfermedades neurológicas, postoperatorios, hernias complicadas, carcinoma [Ca] colorrectal u otras descritas en la tabla 3 y la existencia o no de criterios de alarma (tabla 4). Para esto procederemos con una anamnesis completa, exploración física que incluya una exploración perineal y un tacto rectal y acorde a los resultados de la exploración y la sospecha clínica, procederemos a realizar o no pruebas complementarias para completar su diagnóstico y proceder a su tratamiento correspondiente3,4. Las pautas diagnósticas del estreñimiento agudo se especifican en la figura 3 y las de estreñimiento crónico las especificamos en la figura 4.
Criterios de alarma y criterios de riesgo frente al paciente con estreñimiento
| • Edad del paciente (por encima de 50 años y estreñimiento de reciente aparición)• Dolor abdominal asociado a las deposiciones (que no alivia o cede con estas)• Sangrados rectales• Pérdida de peso de manera inexplicable asociada• Antecedentes de Ca colorrectal familiar• Alternancia en el ritmo deposicional (alternar estreñimiento con diarreas) |
Algoritmo diagnóstico del estreñimiento de reciente comienzo. De Lizarraga et al.3.
Diagnóstico del estreñimiento crónico. De Almela et al.4.
Tratamiento general del estreñimiento5–7
- -
Medidas higiénico-dietéticas. Se debe recomendar caminar o hacer ejercicio de manera regular (siempre que no haya dificultad para ello), beber abundantes líquidos, consumir fibra abundante en las comidas y evitar alimentos astringentes y explicar que se debe acudir al baño de forma diaria, para adquirir un hábito defecatorio óptimo.
- -
Medidas farmacológicas. Uso de laxantes. En la tabla 5 se exponen los distintos laxantes según su mecanismo de acción.
Tabla 5.Principales agentes laxantes clasificados según su mecanismo de acción
Agentes incrementadores de volumen Origen natural Plantago ovata (ispaghula, psyllium)a Salvado de trigo Metilcelulosa Carboximetilcelulosa Policarbófilo Osmóticos Salinos Hidróxido/citrato/sulfato de magnesio Fosfato/bifosfato de sodio Derivados de azúcares Lactulosab Lactitiol Polietilenglicol (con sales asociadas)b Surfactantes o emolientes Docusato (sales de socio, potasio, calcio) Lubrificantes Aceite de parafina Glicerina Estimulantes Antraquinonas Sen Senósidos A y B Áloe Frángula Ruibarbo Polifenólicos Bisacodilo Picosulfato sódico Fenolftaleína Aceite de ricino Eficaces en el tratamiento del estreñimiento según grado de recomendación bA y aB; no existe un nivel de evidencia científica suficiente para establecer una recomendación del resto de los agentes23.
De Herreros et al.5.
- -
Otras medidas terapéuticas. Medidas de biofeedback: basadas en el aprendizaje de la maniobra defecatoria normal mediante su monitorización y refuerzo visual o auditivo. Se realizan en unidades especializadas y requieren personal entrenado y se deben realizar, además del tratamiento médico del estreñimiento. Esta técnica tiene una eficacia global del 69-78%8,9.
- -
Cirugía. Se reserva para aquellos pacientes con resistencia al tratamiento descrito anteriormente y clínica grave. La técnica de elección es la colectomía total (resección completa del colon, con anastomosis ileorrectal). Requiere que previamente se descarten ciertas enfermedades y aplicar unos criterios rígidos de selección, descartar trastornos psiquiátricos que provoquen una percepción anómala de la defecación, demostrar objetivamente un tránsito colónico enlentecido mediante marcadores radioopacos y haber valorado la función defecatoria descartando un problema obstructivo de características estructurales o funcionales mediante manometría anorrectal, videodefecografía o técnica de expulsión de balón intrarrectal anormales. También hay que descartar una alteración difusa de la motilidad digestiva10,11.
En nuestro caso clínico, este paciente, ante el antecedente de estreñimiento, cuando llega a la consulta y nos cuenta una historia similar a las anteriores, lo más fácil es realizar el mismo diagnóstico y pautar laxantes e insistir en las medidas higiénico-dietéticas, a pesar de que el paciente tendría varios signos de alarma en caso de estreñimiento que serían la pérdida de peso y los síntomas obstructivos.
En dicho caso entraría la posible variable de la aparición de una neoplasia de colon en nuestro diagnóstico diferencial12.
El cáncer de colon en la actualidad es un problema de salud pública para todos los países, siendo el cáncer más frecuente del mundo a nivel global, el tercero en hombres por detrás del de pulmón y próstata y el segundo en mujeres tras el de mama.
La mayoría de los tumores de colon son adenocarcinomas, que se originan a partir de la mucosa y se localizan principalmente en el colon izquierdo y distal (recto [37%] y sigma [31%]), aunque se está produciendo un incremento en la incidencia de los tumores de colon derecho.
La clínica del cáncer de colon depende de su localización, en nuestro caso, y al localizar el hallazgo de la masa en colon distal serían: síntomas de obstrucción intestinal como alternancia diarrea estreñimiento o dolor abdominal de tipo cólico. Otro síntoma que nos haría dudar en nuestro paciente sería el cuadro general que presentaba13,14.
La otra duda diagnóstica era la hernia inguinal, pero tras la exploración física en la zona de palpación de la masa, estaba más lateralizada, al intentar reducirla no se palpaba ningún agujero herniario y el paciente no comentaba ningún signo clínico de aparición de dicha tumoración compatible con clínica de hernia.
Todo esto nos hace pensar que las pruebas complementarias y una exploración física, a pesar de una idea diagnóstica preconcebida, son de obligatoria realización, pues siendo casos clínicos simples se pueden convertir en casos de compleja resolución.
Responsabilidades éticasProtección de personas y animalesLos autores declaran que para esta investigación no se han realizado experimentos en seres humanos ni en animales.
Confidencialidad de los datosLos autores declaran que en este artículo no aparecen datos de pacientes.
Derecho a la privacidad y consentimiento informadoLos autores declaran que en este artículo no aparecen datos de pacientes.
Conflicto de interesesLos autores declaran no tener ningún conflicto de intereses.












