Presentamos el caso de un paciente varón de 43 años de edad sin alergias medicamentosas conocidas y con antecedentes personales de diabetes mellitus tipo 1 mal controlada y macroangiopatía diabética secundaria con amputación del primer dedo del pie derecho. Se encuentra bajo tratamiento habitual con 32 unidades de insulina glargina, metformina 850mg, un comprimido en comida y cena.
Acude a la consulta de su médico de atención primaria por cuadro de edematización progresiva de 2 meses de evolución de extremidad inferior izquierda, sin presentar antecedente traumático previo u otro tipo de desencadenante. Dichas alteraciones eran de predominio distal, sin fóvea, con aumento de la temperatura local y dolor a la palpación. Cabe destacar a la exploración la desaparición de la bóveda plantar. No se apreciaban hematomas o crepitación, y los pulsos pedios estaban conservados y simétricos (fig. 1). Como dato cuantificatorio de dicha inflamación cabe destacar el detalle de la imposibilidad de uso de su calzado habitual viéndose obligado a utilizar desde hace varias semanas los denominados «pies de gato» utilizados en escalada y de neopreno para mejor amoldamiento al pie. En la última semana ha presentado un empeoramiento más marcado del cuadro con aumento de la tumefacción haciendo invalidante la realización de moderados esfuerzos. No ha presentado fiebre ni otro tipo de sintomatología durante este proceso.
En primera instancia, se sospechó que el cuadro podría ser debido a un linfedema, que se caracteriza por ser un acúmulo de líquido linfático ocasionado por diversos factores como la inmovilización, traumatismos o insuficiencia vascular (en este caso por los antecedentes de diabetes con alteraciones vasculares) o a un cuadro de celulitis, que se caracteriza por ser una inflamación subaguda o crónica del tejido conectivo laxo y celular subcutáneo consecuencia de una lesión ulcerada cutánea o al edema crónico linfático o hipostásico. Para intentar cubrir ambas etiologías, se inició tratamiento antibiótico con ciprofloxacino 500mg, un comprimido en desayuno y cena durante 15 días.
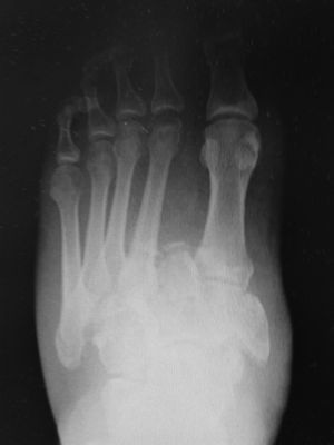
Una vez finalizado el tratamiento, y ante la escasa respuesta al mismo dado que no se apreció mejoría del cuadro doloroso ni inflamatorio, se decide realizar una radiografía anteroposterior, lateral y oblicua de pie donde se objetiva fractura-luxación tipo Lisfranc con afectación a varios niveles de la articulación tarso y metatarsal (fig. 2). Ante estos hallazgos, el paciente fue derivado a urgencias de traumatología de su hospital de referencia para valoración descartándose intervención quirúrgica urgente. Se inició estudio ambulatorio de afectación mediante tomografía axial computarizada para valoración del daño ligamentoso y valoración de forma diferida en consultas externas de traumatología.
El término pie diabético engloba cualquier lesión del pie, afecta al 15% de los diabéticos a lo largo de su vida y, del 7 al 20% de los casos implica la amputación del miembro (es la principal causa de amputación no traumática en los países occidentales)1.
La fractura-luxación de Lisfranc afecta a la articulación tarso-metatarsiana y se denomina así en honor al cirujano francés del siglo XVIII Jacques Lisfranc de Saint-Martin, que describió la amputación de la extremidad inferior a nivel metatarsal2. Estas lesiones pueden afectar a material óseo, ligamentoso o de ambos, y puede deberse a mecanismos tanto de alta como de baja energía. En pacientes diabéticos pueden producirse sin traumatismo previo aparente debido a la probabilidad de microtraumatismos repetidos por las alteraciones neurosensitivas que produce la enfermedad, y pueden ser una manifestación de una artropatía de Charcot. Los síntomas clínicos incluyen edema de partes blandas, aumento de temperatura en la zona, incapacidad para soportar el peso del cuerpo y dolor2,3. Se trata de fracturas poco frecuentes (0,2% de todas las fracturas) siendo más habituales en diabéticos por las alteraciones neurosensitivas que produce la enfermedad y a la calcificación ligamentosa debida a microtraumatismos repetidos que producen una mala cicatrización ocasionando como resultado la pérdida de la resistencia a la tracción y el aumento de la susceptibilidad a la rotura2. Aparte, la articulación de Lisfranc es la más comúnmente afectada en la artropatía de Charcot (45% de las ocasiones). Presenta una distribución poblacional de predominio en la tercera década de la vida, y entre 2 y 4 veces más frecuente en los varones2,3.
El diagnóstico es de sospecha en primera instancia ante cualquier paciente diabético mal controlado de larga evolución que se presenta en la consulta con signos inflamatorios y edema unilateral del pie, de inicio insidioso, con leve dolor e incluso ausencia del mismo4. Para conocer la afectación, se realiza radiografía anteroposterior, lateral y oblicua objetivándose un aumento de la diástasis (usualmente >2mm). Esta técnica no suele ser suficiente para poder saber el grado de afectación, por lo que para el estudio de estructuras adyacentes como tejidos blandos y ligamentos se realizan resonancias magnéticas y tomografías axiales computarizadas, que aportan gran información para el acto quirúrgico y elegir el mejor tipo de intervención5.
La ausencia de tratamiento puede originar deformidad en pie plano-valgo con gran incapacidad y artrosis postraumática condicionada por la afectación inicial de las superficies articulares, así como por su reducción anatómica posterior, por lo que es necesario mantener un alto grado de sospecha. Sin embargo, y pese a un diagnóstico precoz, en el 50% de los casos se han descrito artritis postraumáticas6.
El tratamiento puede ser conservador o mediante reducción quirúrgica. Los tratamientos conservadores se basan en la inmovilización prolongada para conseguir la reconstitución de las estructuras ligamentosas, y mantener así la congruencia en la articulación tarsometatarsal. Es aplicable ante diástasis mínimas o cuando la cirugía no es subsidiaria7. La reducción quirúrgica se realiza ante afectaciones mayores, y se prefiere realizar por vía cerrada a vía abierta8. Con esta medida hay que tener especial cuidado en pacientes diabéticos, como en nuestro caso, ante eventuales necrosis9 o infecciones por actuar la hiperglucemia como agente inmunosupresor10, aunque esto no influye en la decisión terapéutica salvo en casos de gran afectación a nivel articular como por la propia diabetes donde podría ser más conveniente la amputación ante la alta tasa de probabilidad y severidad de las complicaciones mencionadas.
Hoy en día, como se observa en la literatura, el cribado del pie diabético es insuficiente en nuestro medio (37% de los sujetos en algunos estudios) y con criterios dispares en los métodos utilizados según las unidades analizadas, destacando el escaso uso del índice tobillo-brazo y de las medidas de autocuidado1. Así mismo, no se encuentran directrices específicas en la literatura para el manejo de las lesiones de Lisfranc en población diabética, aunque sí que hay un consenso general en una fijación precoz y períodos de inmovilización más largos en comparación al resto de la población9. Es por ello que, la adecuada selección de los pacientes para cada tratamiento y la experiencia quirúrgica que se tenga con estos tipos de lesiones pueden ayudar a guiar el tratamiento para proporcionar un resultado satisfactorio para el paciente.
En nuestro caso, al paciente no se realizó el estudio de imagen (tomografía axial computarizada), por lo que no se pudo plantear ninguna valoración quirúrgica, aunque viendo el grado de evolución y afectación tanto articular como orgánica por la propia diabetes, la amputación podría haber sido el tratamiento electivo por lo mencionado con anterioridad.
Responsabilidades éticasProtección de personas y animalesLos autores declaran que para esta investigación no se han realizado experimentos en seres humanos ni en animales.
Confidencialidad de los datosLos autores declaran que han seguido los protocolos de su centro de trabajo sobre la publicación de datos de pacientes.
Derecho a la privacidad y consentimiento informadoLos autores han obtenido el consentimiento informado de los pacientes y/o sujetos referidos en el artículo. Este documento obra en poder del autor de correspondencia.





