Un varón de 48 años refirió hipoacusia en el oído izquierdo y un acúfeno incapacitante ipsilateral de un año de evolución. Tenía antecedente de una parálisis de Bell izquierda (una década antes), tras la que quedaron sincinesias ipsilaterales ocasionales que se intensificaron en los últimos meses. La audiometría mostró una caída conductiva leve y bilateral en graves, mientras que a la otoscopia se apreció la ocupación de oído medio izquierdo por una masa grisácea. La movilidad facial estaba conservada (House-Brackmann [H-B] grado I). Las pruebas de imagen del hueso temporal (tomografía computarizada [TC] y resonancia magnética [RM]) fueron compatibles con un schwannoma del nervio facial (SNF) izquierdo con afectación temporal y extratemporal (fig. 1). En ese momento, dadas la función facial conservada y la ausencia de complicaciones, se optó por un seguimiento clínico-radiológico estrecho.
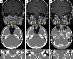
RM secuencia T1 con gadolinio, plano coronal (fila superior), y TC en plano axial (fila media) y coronal (fila inferior). Se demuestra la presencia de una lesión (flecha) fusiforme que depende del nervio facial y presenta un carácter expansivo, esta es isointensa en la RM bajo secuencia T1. La lesión se extiende desde el ganglio geniculado A), afectando a la segunda porción del nervio facial, B) así como a la tercera porción extendiéndose a través del agujero estilo-mastoideo. C) No hay afectación a nivel del ángulo pontocerebeloso o del canal auditivo interno. El hallazgo es compatible con un schwannoma del nervio facial.
El SNF es un tumor raro y benigno que se origina en cualquier punto de las células de Schwann que envuelven el nervio facial a lo largo de su recorrido. El síntoma más habitual es la parálisis facial, pero puede causar hipoacusia y sintomatología vestibular. El diagnóstico requiere de TC y RM. Las opciones terapéuticas incluyen seguimiento clínico-radiológico estrecho, la cirugía y la radioterapia estereotáctica. La pérdida de función del nervio facial (H-B grado IV o peor), la aparición de complicaciones, como la compresión del troncoencéfalo o un ritmo de crecimiento tumoral elevado, son factores determinantes en la decisión de una exéresis quirúrgica. La descompresión del nervio facial no ha demostrado beneficio sobre un manejo expectante. Actualmente, hay dilema sobre si la duración del manejo expectante podría impactar negativamente en los resultados de la reanimación facial tras una eventual resección quirúrgica. La comprensión de este hecho podría ser clave en futuros algoritmos de decisión terapéutica.
Consentimiento informadoHemos obtenido el permiso del paciente para la difusión de las imágenes radiológicas y la publicación del caso clínico.
FinanciaciónLos autores declaran que no ha habido financiación para este trabajo.
ContribucionesTodos los autores han contribuido significativamente y aprueban remitir este artículo a vuestra revista.
Conflicto de interesesLos autores declaran no tener conflictos de intereses con la publicación de este artículo.



