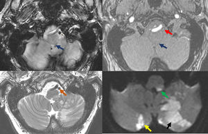
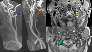
Una mujer de 65 años presentó un cuadro compatible con un síndrome vestibular agudo (SVA) aislado. Se apreció imposibilidad para la sedestación, con caída hacia la izquierda. El protocolo HINTS (Head Impulse, Nystagmus y Test of Skew) inicial demostró: a) vHIT sin alteraciones (fig. 1), b) nistagmo espontáneo horizonto-rotatorio grado I hacia la derecha y c) Test de Skew (prueba de oclusión ocular alternante para descartar una desviación ocular oblicua) negativo. La TC sin contraste fue normal. A las 24 horas presentó dismetría y disdiadococinesia de lateralidad izquierda. Finalmente, tras 48 horas la RM confirmó un infarto agudo en territorio de la arteria cerebelosa posteroinferior izquierda (fig. 2A), disección de la arteria vertebral izquierda (V2) y un área trombosada (V3, V4) (fig. 2B).
Registro video Head Impulse Test (vHIT) de ambos canales semicirculares laterales durante el primer día de ingreso. Clínicamente la paciente presentaba un síndrome vestibular agudo aislado. Los resultados demuestran bilateralmente la presencia de ganancias medias normales del reflejo vestíbulo-ocular (0,97 en lado izquierdo y 0,99 en lado derecho, (*) así como la ausencia de sacadas de refijación (flechas negras).
A) Estudio de resonancia magnética de cortes axiales. Técnica empleada, de izquierda a derecha y de superior a inferior: GRE, ARM TOF 3D, T2 FSE y DWI (b-valor 1.000). Hallazgos: infarto agudo con restricción de difusión en los territorios distales de la arteria cerebelosa posteroinferior (PICA) izquierda (flecha negra: hemisferio cerebeloso basal izquierdo y vermis ipsilateral inferior) y de ramas perforantes medulares (flecha verde: bulbo posterolateral). Foco isquémico agudo cerebeloso basal contralateral (flecha amarilla). Se muestra la ausencia de flujo por trombosis en el segmento V4 de la arteria vertebral izquierda (flecha roja) y PICA izquierda (flecha azul: se señalan sus segmentos: medular, posterior y supratonsilar). Nótese la diferencia de señal respecto a segmento V4 derecho en eco de gradiente y en 3D TOF. En T2 falsa imagen de luz permeable (flecha naranja: hiposeñal en la arteria durante T2, debido al carácter agudo del trombo). B) Reconstrucción MIP de estudio RM 3D T1 + RM con gadolinio de TSA (lados derecho e izquierdo). Hallazgos: disección de la arteria vertebral izquierda en el segmento V2. Izquierda: angiografía por RM (ARM) muestra afilamiento oclusivo en segmento V2 de la arteria vertebral izquierda, característico de DAV (flecha naranja). La arteria vertebral derecha es permeable (flecha azul). Derecha superior: RM Axial T1 FS muestra hiperseñal periférica en la pared vascular de AV izquierda nivel V2-V3 representando un hematoma intramural (flecha amarilla). Derecha inferior: RM Axial T2 muestra ausencia de vacío de señal en AV izquierda nivel V2-V3 (flecha roja), la derecha sí muestra el vacío de señal normal (flecha verde).
El SVA es la presentación más habitual del ictus isquémico de territorios posteriores (IITP). El error diagnóstico inicial del mismo es 37%, por ello es primordial identificar correctamente la causa subyacente a un SVA. Para ello el protocolo HINTS es imprescindible, con sensibilidad y especificidad para detectar IITP del 96 y 100% respectivamente. Ante un IITP presentándose como SVA aislado o con un perfil clínico inhabitual (como puede ocurrir en una disección de arteria vertebral), el protocolo HINTS es especialmente clave para sospechar IITP. El diagnóstico se confirmará posteriormente mediante RM de difusión tardía.
FinanciaciónNinguna.
Conflicto de interesesLos autores declaran no tener conflictos de intereses con la publicación de este artículo.




