Varón de 49 años, fumador de 15 cigarrillos/día y con antecedentes personales de ulcus péptico y varios episodios de prostatitis aguda. Consulta por dolor abdominal intenso, de aparición relativamente brusca. Refería, además, proceso de 2 semanas de evolución con molestias urinarias, dificultad para iniciar la micción, nicturia de 4-5 veces y urgencia miccional.
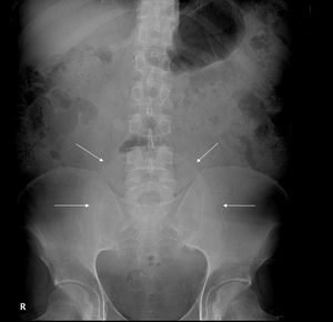
En la analítica sanguínea destacaba un fracaso renal agudo (creatinina 4,1mg/dl, urea 139mg/dl y potasio 4,8 mmol/l) con leve elevación de los reactantes de fase aguda. La radiografía de abdomen (fig. 1) mostró un globo vesical, confirmado posteriormente con ecografía que, además, reveló ectasia uretero pielocalicial bilateral grado moderado severo.



