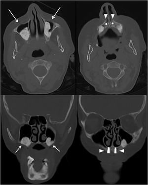
Mujer de 57 años, asintomática, que se estudió por hallazgo incidental de hipercalcemia moderada de 12,7mg/dL (valores de referencia: 8,5-10,5mg/dL) con paratohormona (PTH) dentro del rango de la normalidad. Tras el hallazgo de gammapatía monoclonal (inmunoglobulina IgG kappa 3,7g/L) de significado incierto, se realizó una TC de cuerpo entero para evaluar lesiones líticas sugestivas de mieloma múltiple o tumores paratiroideos, que fueron descartados. Sin embargo, se detectó una ocupación parcial de ambos senos maxilares por material amorfo sumamente hiperdenso (Unidades Hounsfield entre 1.300-1.700; figura 1, flechas). Dichas ocupaciones podían corresponder a cementomas de origen dentario, que fue descartado por la ausencia de cementación peri-implantes dentarios (fig. 1, puntas de flecha), o bien podían corresponder a cementomas fibrosos; la afectación por condrocalcinosis en rodillas reforzaba esta posibilidad. La paciente se sometió a un estudio genético que demostró la variante genética c.473G>C; p.(Gly158Ala) con heterocigosis en el gen receptor del calcio, lo cual es diagnóstico de hipercalcemia-hipocalciuria familiar, enfermedad genética con herencia autosómica dominante. Finalmente, la ocupación de los senos maxilares se atribuyó a la existencia de cementofibromas, tumores benignos muy infrecuentes que se originan en los huesos maxilares a partir de tejido fibroso, que se va osificando a lo largo de la vida. Aunque la fisiopatología es desconocida, el estado de hipercalcemia de la paciente podría haber favorecido la osificación de dichos fibromas.
SJR es una prestigiosa métrica basada en la idea de que todas las citaciones no son iguales. SJR usa un algoritmo similar al page rank de Google; es una medida cuantitativa y cualitativa al impacto de una publicación.
Ver másSNIP permite comparar el impacto de revistas de diferentes campos temáticos, corrigiendo las diferencias en la probabilidad de ser citado que existe entre revistas de distintas materias.
Ver másLa tasa de aceptación de las revistas se calcula dividiendo el número total de artículos aceptados (inicialmente y después de la revisión estándar) por el número total de envíos (aceptados y rechazados).
Ver más


