metricas
covid
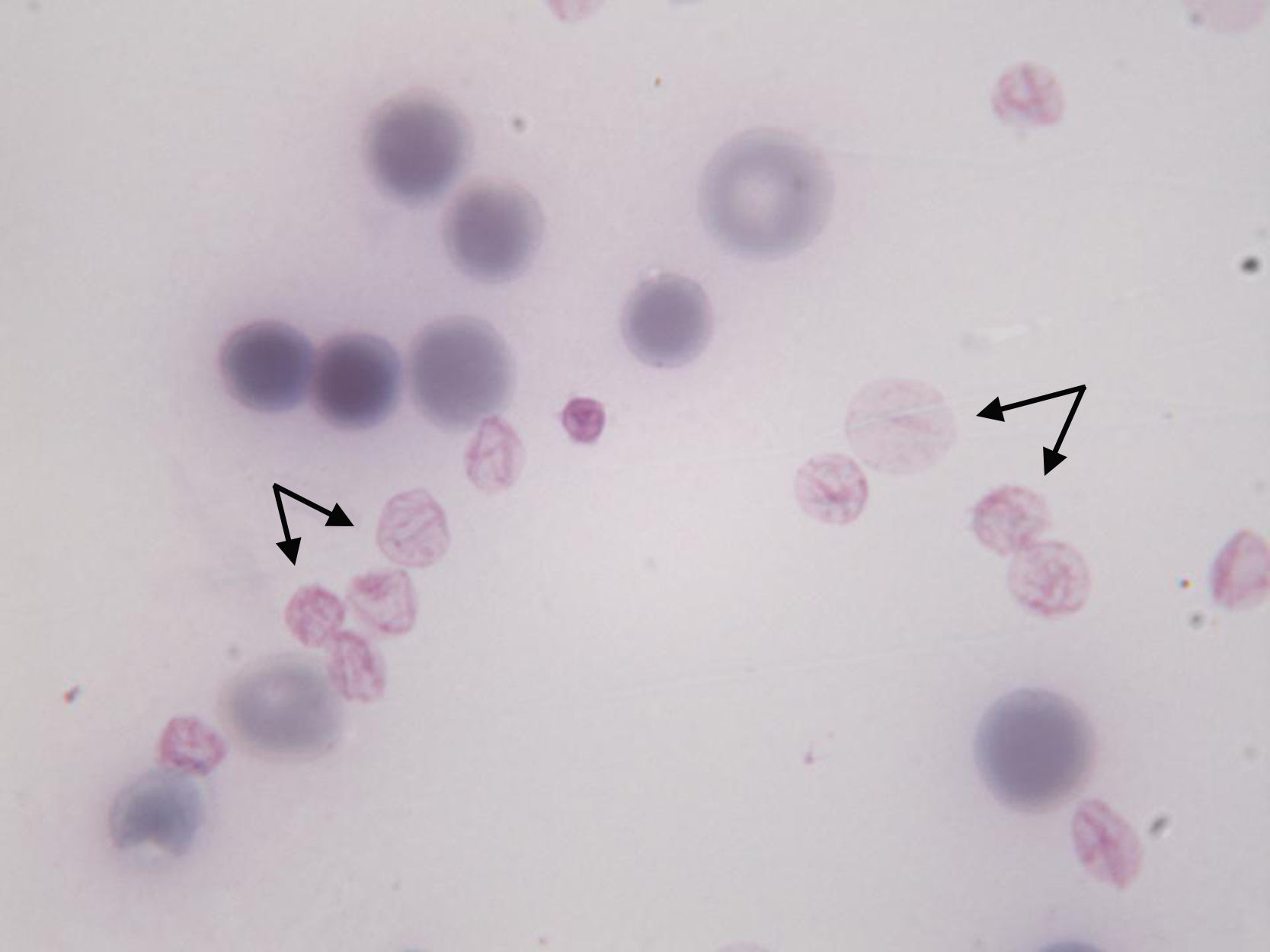
Medicina Clínica Hemólisis intravascular por Clostridium perfringens
Información de la revista
Vol. 142. Núm. 1.
Páginas e1 (Enero 2014)
Compartir
Descargar PDF
Más opciones de artículo
Vol. 142. Núm. 1.
Páginas e1 (Enero 2014)
Imagen de la semana
Hemólisis intravascular por Clostridium perfringens
Clostridium perfringens-induced intravascular hemolysis
Visitas
493
Jesús Fernandez-Sojo, José Tomás Navarro
Autor para correspondencia
jnavarro@iconcologia.net

Autor para correspondencia.
, Susana Vives-Polo, Jordi Juncà
Servicio de Hematología, Institut Català d’Oncologia-Hospital Germans Trias i Pujol, Instituto de Investigación contra la Leucemia Josep Carreras, Badalona, Barcelona, España
Este artículo ha recibido
Información del artículo
Texto completo
Descargar PDF
Estadísticas
Figuras (1)

Artículo

Opciones para acceder a los textos completos de la publicación Medicina Clínica
Suscriptor
Suscriptor de la revista

Si ya tiene sus datos de acceso, clique aquí.

Si olvidó su clave de acceso puede recuperarla clicando aquí y seleccionando la opción "He olvidado mi contraseña".
Suscribirse
Suscribirse a:

Medicina Clínica

Comprar
Comprar acceso al artículo

Comprando el artículo el PDF del mismo podrá ser descargado

Comprar ahora
Contactar
Teléfono para suscripciones e incidencias
De lunes a viernes de 9h a 18h (GMT+1) excepto los meses de julio y agosto que será de 9 a 15h
Llamadas desde España
932 415 960
Llamadas desde fuera de España
+34 932 415 960
E-mail
Opciones de artículo
Herramientas