metricas
covid
Medicina Clínica A cause of paraparesis in earthquake victim that possibly be overlooked: Traumat...
Información de la revista
Vol. 161. Núm. 2.
Páginas 92 (Julio 2023)
Compartir
Descargar PDF
Más opciones de artículo
Vol. 161. Núm. 2.
Páginas 92 (Julio 2023)
Image in medicine
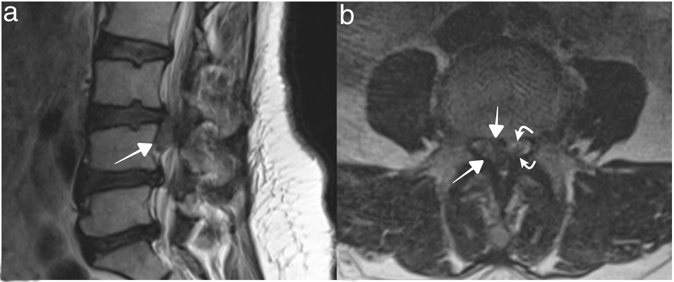
A cause of paraparesis in earthquake victim that possibly be overlooked: Traumatic massive lumbar disc herniation
Una causa de paraparesia en víctimas de terremotos que posiblemente pase desapercibida: hernia discal lumbar traumática masiva
Visitas
1
Uluhan Eryuruk
Autor para correspondencia
uluhaneryuruk@gmail.com

Corresponding author.
, Ismet Mirac Cakir, Serdar Aslan
Giresun University Faculty of Medicine, Department of Radiology, Giresun, Turkey
Este artículo ha recibido
Información del artículo
Texto completo
Descargar PDF
Estadísticas
Figuras (1)

Artículo

Opciones para acceder a los textos completos de la publicación Medicina Clínica
Suscriptor
Suscriptor de la revista

Si ya tiene sus datos de acceso, clique aquí.

Si olvidó su clave de acceso puede recuperarla clicando aquí y seleccionando la opción "He olvidado mi contraseña".
Suscribirse
Suscribirse a:

Medicina Clínica

Comprar
Comprar acceso al artículo

Comprando el artículo el PDF del mismo podrá ser descargado

Comprar ahora
Contactar
Teléfono para suscripciones e incidencias
De lunes a viernes de 9h a 18h (GMT+1) excepto los meses de julio y agosto que será de 9 a 15h
Llamadas desde España
932 415 960
Llamadas desde fuera de España
+34 932 415 960
E-mail
Opciones de artículo
Herramientas