metricas
covid
Gastroenterología y Hepatología Hepatitis enfisematosa: diagnóstico radiológico y correlación intraoperatoria...
Información de la revista
Compartir
Descargar PDF
Más opciones de artículo
Imagen del mes
Disponible online el 30 de diciembre de 2025
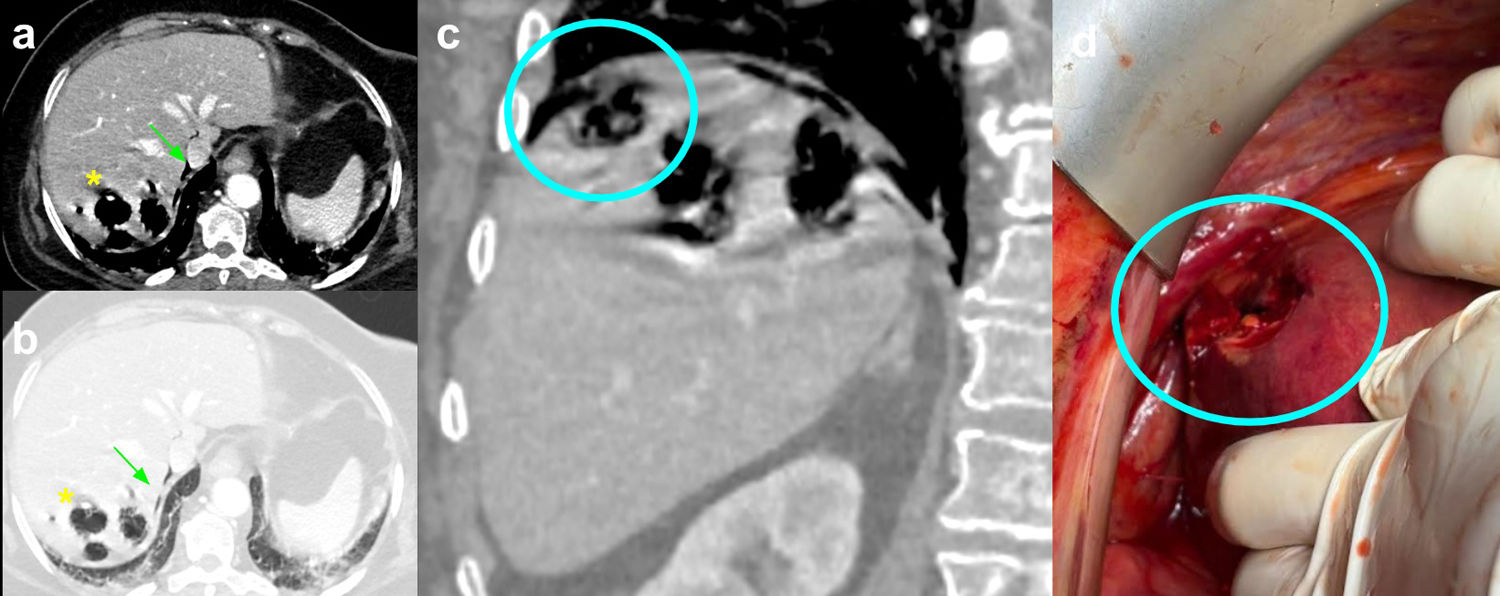
Hepatitis enfisematosa: diagnóstico radiológico y correlación intraoperatoria de una patología infecciosa extraordinariamente infrecuente
Emphysematous hepatitis: radiological diagnosis and intraoperative correlation of an extremely rare infectious disease
Visitas
167
Paloma Montosa Ródenas
Autor para correspondencia
montosarodenas@gmail.com

Autor para correspondencia.
, Sergio Molina Espinoza, Manuel Jesús Rabaza Espigares, Antonio Jesús Láinez Ramos-Bossini
Servicio de Radiodiagnóstico, Hospital Universitario Virgen de las Nieves, Granada, España
Este artículo ha recibido
Información del artículo
Texto completo
Bibliografía
Descargar PDF
Estadísticas
Figuras (1)

Artículo

Opciones para acceder a los textos completos de la publicación Gastroenterología y Hepatología
Suscriptor
Suscriptor de la revista

Si ya tiene sus datos de acceso, clique aquí.

Si olvidó su clave de acceso puede recuperarla clicando aquí y seleccionando la opción "He olvidado mi contraseña".
Suscribirse
Suscribirse a:

Gastroenterología y Hepatología

Comprar
Comprar acceso al artículo

Comprando el artículo el PDF del mismo podrá ser descargado

Comprar ahora
Contactar
Teléfono para suscripciones e incidencias
De lunes a viernes de 9h a 18h (GMT+1) excepto los meses de julio y agosto que será de 9 a 15h
Llamadas desde España
932 415 960
Llamadas desde fuera de España
+34 932 415 960
E-mail