Mycobacterium lentiflavum se considera una micobacteria no tuberculosa (MNT) de crecimiento lento. Fue descrita como una nueva especie por primera vez en 19961.
Presentamos el caso de una mujer de 56 años, exfumadora desde hace 15 años, con un índice paquetes-años de 5. Sin antecedentes médicos de interés. Acudió al servicio de urgencias por presentar hemoptisis, con un volumen expectorado de hasta 150ml en 10 h. El cuadro clínico motivó la realización de una broncoscopia urgente, en la que se observaron 2coágulos de sangre (en el lóbulo superior y el lóbulo inferior derecho). A los 3días se repitió una segunda broncoscopia para completar la exploración. Posteriormente, se realizó una tomografía computarizada (TC) torácica en la que destacó la existencia de bronquiectasias, imágenes de aspecto nodular, discretas áreas en vidrio deslustrado peribronquiales (en probable relación con sangrado reciente) y adenopatías hiliares en rango patológico.
Se tomaron 3muestras respiratorias (2 aspirados bronquiales obtenidos en 2broncoscopias distintas y un esputo) y se enviaron al laboratorio de Microbiología, donde se realizó examen microscópico y se cultivaron tanto en medio sólido (Coletsos) a 35°C, como en medio líquido, utilizando el sistema de incubación y detección automática: sistema Bactec MGIT 960 (Becton Dickinson, Maryland, EE. UU.). En la tinción de auramina se observaron aislados bacilos ácido-alcohol resistentes en todas las muestras; sin embargo, no se detectó ADN especifico de Mycobacterium tuberculosis complex mediante la técnica comercial de PCR en tiempo real (BD MAX MDR-TB, BD New Jersey, EE. UU.) en ninguna de las muestras. Durante el ingreso, se inició tratamiento empírico con ceftriaxona y, dada la adecuada evolución clínica, fue dada de alta para continuar con el estudio de forma ambulatoria. Quedó pendiente la identificación de micobacterias.
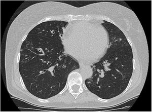
A los 2meses y medio se repitió la TC torácica, que mostró persistencia de las bronquiectasias, imágenes nodulares y adenopatías con desaparición de las discretas áreas en vidrio deslustrado (fig. 1). Las pruebas de función respiratoria, análisis de autoinmunidad y coagulación fueron normales.
Tras 2meses de incubación, creció una micobacteria en las 3muestras respiratorias, que se identificó como M. lentiflavum por el método de amplificación e hibridación reversa en tira (GenoType® Mycobacterium AS [Hain, Lifescience, Nehrn, Alemania]). Dado que se habían descartado otras etiologías y la paciente cumplía criterios clínicos, radiológicos y microbiológicos compatibles con infección por M. lentiflavum2, se decidió iniciar tratamiento con azitromicina, etambutol y rifampicina, con adecuada tolerancia inicial. Un mes después de iniciar tratamiento se realizó el primer esputo de control, que fue negativo para micobacterias.
Actualmente, la paciente ha cumplido 8 meses de tratamiento sin nuevos episodios de infección respiratoria y sin efectos secundarios de la medicación.
M. lentiflavum es una MNT escotocromógena, de crecimiento lento, que se encuentra principalmente en el suelo y el agua, y puede causar infección en el ser humano. Tiene forma cocobacilar y en el cultivo las colonias son pequeñas y de color amarillo pálido.
En la infancia es la principal causa de linfadenitis cervical, mientras que en la edad adulta se relaciona con infección pulmonar o enfermedad diseminada en pacientes inmunodeprimidos. En ciertos estudios se ha llegado a describir como la tercera MNT en frecuencia en pacientes con fibrosis quística3. La revisión de casos más extensa publicada hasta el momento de infección respiratoria por esta MNT cuenta con 16 pacientes no infectados por el virus de la inmunodeficiencia y la mayoría son mujeres de edad avanzada que no presentan una evolución clínica agresiva4.
Se ha descrito un predominio de esta infección en mujeres con una edad media de 60 años, similar a la edad de la paciente que presentamos. Habitualmente, su evolución es benigna; sin embargo, existe un caso publicado de neumonía necrosante con derrame pleural paraneumónico en un paciente inmunocompetente5. Radiológicamente, suele presentarse como bronquiectasias, nódulos o imágenes de árbol en brote y se ha descrito como agente causal de sobreinfección de bronquiectasias preexistentes6.
Desde el punto de vista terapéutico, dada la baja prevalencia de dicha infección, en las diversas guías oficiales que abordan el manejo de las infecciones por MNT no existe una pauta estandarizada. Sin embargo, sí está descrita como una micobacteria con elevada resistencia a los antibióticos habituales.
El caso que exponemos se trataría, según la revisión consultada, de la primera enfermedad pulmonar descrita en España por M. lentiflavum en una paciente inmunocompetente y sin registro médico de enfermedad respiratoria previa. En muchas ocasiones, es difícil determinar el significado clínico de los aislamientos por dicha micobacteria. No obstante, es un microorganismo que debe tenerse en cuenta y no ser sistemáticamente considerado como un contaminante, incluso en pacientes sin ninguna comorbilidad asociada.
Conflicto de interesesTodos los autores declaran no tener ningún conflicto de interés relacionado directa o indirectamente con los contenidos del manuscrito.




