El tumor uterino que recuerda al tumor de los cordones sexuales del ovario (UTROSCT) es un tumor muy infrecuente de histogénesis incierta, incluido en la actual clasificación de tumores del estroma endometrial de la Organización Mundial de la Salud.
Principales síntomas y/o hallazgos clínicosMujer de 48 años, sin antecedentes de interés, acudió a consulta por hipermenorreas en los últimos ciclos. La exploración ginecológica era normal.
Diagnósticos principales, intervenciones terapéuticas y resultadosEl estudio ecográfico mostró una lesión nodular submucosa de 26×21mm. Se le realizó histeroscopia diagnóstica, identificándose un mioma submucoso no accesible para extirpación ambulatoria. Se llevó a cabo histeroscopia quirúrgica procediéndose a miomectomía con asa de diatermia. Histológicamente se observó tejido muscular liso masivamente infiltrado por células de poco citoplasma con diferenciación glandular positivas con citoqueratinas, interpretándose como fragmentos de pared miometrial infiltrados por carcinoma. Se le realizó estudio de extensión e histerectomía. En la pieza quirúrgica no se identificó neoplasia residual. Se revaluó la biopsia previa y se amplió el estudio inmunohistoquímico, observándose positividad para marcadores de los cordones sexuales, epiteliales y musculares lisos. Ante estos hallazgos, el diagnóstico definitivo fue UTROSCT.
ConclusiónEl UTROSCT muestra generalmente un comportamiento benigno. Sin embargo, se considera de potencial maligno incierto, debido a que presenta una baja tasa de recurrencias y metástasis excepcionales. Desde el punto de vista histopatológico es importante reconocer esta entidad, ya que su histológica es variada imitando una amplia gama de tumores tanto benignos como malignos, por lo que es necesario realizar estudio inmunohistoquímico para su correcto diagnóstico.
Uterine tumour resembling ovarian sex cord tumour (UTROSCT) is a very rare tumour of uncertain histogenesis, included in the current classification of endometrial stromal tumours of the World Health Organization.
Main symptoms and/or clinical findings48-year-old woman with no history of interest, consulted for hypermenorrhoea in recent cycles. The gynaecological examination was normal.
Main diagnoses, therapeutic interventions, and resultsThe ultrasound study showed a submucosal nodular lesion of 26×21mm. A diagnostic hysteroscopy was performed, identifying a submucosal myoma not accessible for outpatient removal. Surgical hysteroscopy was performed, proceeding to myomectomy with loop diathermy. Histologically, smooth muscle tissue was observed massively infiltrated by cells with scant cytoplasm and positive glandular differentiation for cytokeratins, interpreted as fragments of the myometrial wall infiltrated by carcinoma. An extension study and hysterectomy were performed. No residual neoplasia was identified in the surgical piece. A previous biopsy was re-evaluated and an immunohistochemical study was extended, showing positivity for sexual cord, epithelial, and smooth muscle markers. Given these findings, the definitive diagnosis was UTROSCT.
ConclusionUTROSCT generally shows benign behaviour. However, it is considered to be of uncertain malignant potential, due to its low rate of recurrence and rare metastases. From the histopathological point of view, it is important to recognize this entity, since its histology is varied, mimicking a wide range of tumours, both benign and malignant, making it necessary to perform an immunohistochemical study for its correct diagnosis.
Los tumores uterinos que recuerdan a los tumores de los cordones sexuales del ovario (UTROSCT, del inglés «uterine tumour resembling ovarian sex cord tumour») son un grupo único de neoplasias con características morfológicas e inmunofenotípicas diversas, que coexpresan marcadores de los cordones sexuales, epiteliales y de músculo liso1. Hasta la fecha, se han notificado menos de 100 casos y hay escasez de datos sobre su comportamiento clínico2. Representan menos del 0,5% de todas las neoplasias malignas del útero y entre el 10-15% de las neoplasias mesenquimales malignas uterinas3.
Es una neoplasia mesenquimatosa uterina rara incluida en la clasificación de la Organización Mundial de la Salud de 2014 en el grupo de «Tumores del estroma endometrial y relacionados», siendo definidos como una neoplasia que se parece a los tumores de los cordones sexuales de ovario, sin un componente de estroma endometrial reconocible4. Se presentan con mayor frecuencia en mujeres de mediana edad (perimenopáusicas o menopáusicas), con sangrado uterino anormal, por lo que el tratamiento estándar es la histerectomía con o sin ooforectomía bilateral en aquellas mujeres que han completados sus deseos genésicos5. Se debe considerar el manejo conservador en mujeres jóvenes que deseen preservar su fertilidad.
Hay datos limitados en la literatura sobre el comportamiento y el perfil clínico de los UTROSCT. En general parecen tener un bajo potencial maligno, sin embargo, se han reportado casos de recurrencia e incluso metástasis a distancia2,6.
Presentamos un caso clinicopatológico de UTROSCT en el que describimos las características clínicas, histopatológicas, inmunofenotípicas, el tratamiento y la evolución de la paciente.
Información del pacientePaciente femenina de 48 años, sin antecedentes patológicos personales o familiares de interés, que acudió a consulta de ginecología por presentar hipermenorreas en los últimos ciclos. Entre los antecedentes ginecoobstétricos destacaban 2 embarazos y 2 partos normales. Menarquia a los 12 años. Eumenorreica previamente.
Hallazgos clínicosA la exploración ginecológica de los genitales externos, en la vagina y en el cérvix no se encontraron hallazgos relevantes.
Línea temporalLa paciente refería que en los 2 últimos ciclos presentaba hipermenorreas y spotting posmenstrual.
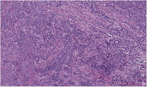
Evaluación diagnósticaEl estudio ecográfico mostraba anejos normales y una lesión nodular submucosa de 26×21mm. Ante este hallazgo y la clínica que presentaba la paciente, se realizó una histeroscopia diagnóstica que mostraba una cavidad endometrial grande cubierta por endometrio proliferativo con un mioma submucoso de unos 4cm en la cara posterior no accesible para extirpación quirúrgica ambulatoria. Se programó histeroscopia quirúrgica en la que se procedió a realizar miomectomía con asa de diatermia, extirpándose el 90% de la lesión. Al estudio histológico la muestra correspondía a tejido muscular liso masivamente infiltrado por grandes nidos y sábanas de células de poco citoplasma con diferenciación glandular multifocal (fig. 1) y que en el estudio inmunohistoquímico eran positivas para citoqueratinas, interpretándose como fragmentos de pared miometrial infiltrados por carcinoma. El marcador tumoral CA125 se encontraba dentro de los límites normales. Se realizó estudio de extensión preoperatorio mediante RM, se estadificó el tumor como IB según la última clasificación de la FIGO.
Intervención terapéuticaAnte los hallazgos descritos se realizó cirugía laparoscópica en la que se identificó un útero miomatoso con ambos anejos de aspecto normal y el resto de la cavidad abdominal sin hallazgos. Se tomó muestra para lavado peritoneal, y se procedió a histerectomía vaginal asistida por laparoscopia con doble anexectomía y linfadenectomía pélvica bilateral.
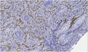
Seguimiento y resultadosEn el estudio histológico de la pieza de histerectomía se observaron cambios inflamatorios y reacción gigantocelular en el área miometrial de la resección previa, sin evidenciarse neoplasia residual. Como hallazgos se identificaron foco de adenomiosis parietal, pequeños leiomiomas y focos de endometriosis en la serosa uterina. No se observó metástasis en los 22 ganglios linfáticos aislados. Ante este hecho, se procedió a revaluar la biopsia inicial ampliándose el estudio inmunohistoquímico (tabla 1); observándose positividad intensa con citoqueratinas y CAM 5.2, con negatividad con EMA. Positividad focal con marcadores musculares lisos (desmina y actina) e intensa y difusa con vimentina, CD99, calretinina (fig. 2) e inhibina. Las células fueron negativas con CD10 y muy focalmente positivas con Melan-A. El índice proliferativo con ki-67 fue<5%. Ante estos hallazgos se estableció el diagnóstico de UTROSCT.
Actualmente, después de 12 años de seguimiento, la paciente se encuentra asintomática y con controles normales.
DiscusiónLos UTROSCT son neoplasias uterinas muy infrecuentes. Clement y Scully dividieron estas neoplasias en 2 grupos7. El primer grupo (tipo i) tienen características histopatológicas similares a las de los tumores del estroma endometrial, con un 10-40% de áreas de arquitectura similar a los cordones sexuales. Esta categoría se asocia a riesgo de metástasis o recurrencia, y se denomina tumor del estroma endometrial con elementos similares a los cordones sexuales (ESTSCLE). El segundo grupo (tipo ii) corresponde a una neoplasia polifenotípica que se asemeja al tumor de los cordones sexuales del ovario, sin un componente de estroma endometrial reconocible y se denomina UTROSCT. En el ESTSCLE se produce la fusión de 2 genes (JAZF1 y JJAZ1), que no se observa en el UTROSCT, destacando que UTROSCT es una entidad diferente a ESTSCLE; sin embargo, la etiología del UTROSCT sigue siendo desconocida8.
La edad media de presentación de los UTROSCT es de 45 años. Las pacientes suelen presentar sangrado vaginal o dolor abdominal inferior, y en muchas ocasiones pueden no presentar ningún síntoma9.
El UTROSCT macroscópicamente es un tumor sólido, bien circunscrito y redondeado, que mide entre 4 y 11cm y cuya localización suele ser intramural, pero también puede ser submucoso, subseroso o polipoideo. En nuestro caso, la paciente fue diagnosticada ecográficamente de un mioma submucoso, atribuyéndose a este la sintomatología que presentaba. Generalmente, el UTROSCT muestra un crecimiento expansivo con o sin invasión del tejido circundante10.
Histológicamente las características de diferenciación tipo cordones sexuales ováricos corresponden a pequeños nidos, trabéculas, cordones y túbulos de células epiteliales, y ocasionales cuerpos eosinofílicos que se asemejan a los cuerpos de Call-Exner. La necrosis y la invasión linfática o vascular son inusuales. La atipia nuclear es rara y el índice mitótico suele ser bajo11. Este tumor tiene un amplio espectro de marcadores inmunohistoquímicos, por lo que su diagnóstico patológico es complejo. La positividad para varias citoqueratinas puede malinterpretarse como origen epitelial y por tanto sospechar de una infiltración por carcinoma, como ocurrió en nuestro caso. En el estudio inmunohistoquímico deben incluirse al menos 2 marcadores de diferenciación de cordones sexuales (calretinina, Melan-A, CD99 e inhibina), así como marcadores epiteliales y marcadores de músculo liso12. Con frecuencia expresan marcadores misceláneos como CD10, receptores hormonales, S100 y CD11711. Debido a su diferenciación histológica, distinguir los UTROSCT de tumores como el carcinoma endometrioide, los sarcomas del estroma endometrial, el leiomioma epitelioide, el melanoma, el PEComa y los tumores neuroendocrinos, puede ser un verdadero desafío, por lo tanto se recomienda que se realice un muestreo amplio del tumor, así como el empleo de marcadores inmunohistoquímicos como HMB45, cromogranina, caldesmon, CD56 y sinaptofisina para un correcto diagnóstico13.
Debido a su baja incidencia y a la falta de datos, aún no es posible comprender completamente la historia natural de esta neoplasia y hasta el momento no parece tener alteraciones genéticas bien definidas. Habitualmente los UTROSCT suelen tener un comportamiento benigno y un curso clínico indolente. Sin embargo, se han publicado casos de enfermedad metastásica y de recurrencia que involucran órganos como el pulmón, intestino, apéndice y epiplón14, probablemente en relación con una exéresis incompleta.
Como factores de peor pronóstico se han descrito la presencia de dolor pélvico, un tamaño tumoral mayor de 10cm, la afectación del estroma cervical, la metástasis a distancia y la invasión linfovascular15. En cuanto al tratamiento, no hay un consenso clínico sobre cuánto de radical debe de ser el tratamiento, si realizar únicamente la histerectomía o asociar una doble anexectomía. Se considera que en pacientes con deseos reproductivos el manejo conservador puede ser una opción, siempre en función de los factores de riesgo y la situación clínica general de la paciente. Los factores pronósticos histológicos como la necrosis, la atipia, el índice mitótico y el estado de los márgenes también deben tenerse en cuenta durante el asesoramiento. En el caso de nuestra paciente no presentó factores de riesgo clínicos ni histológicos, con una excelente evolución tras tratamiento quirúrgico radical.
En resumen, los UTROSCT son tumores raros y de difícil diagnóstico, conocer sus características morfológicas y el uso de marcadores inmunohistoquímicos son clave para evitar errores en la evaluación histológica. Se requiere un seguimiento estrecho de todas las pacientes debido a la falta de biomarcadores pronósticos y se necesita un seguimiento prolongado en caso de optar por una cirugía conservadora para evaluar su seguridad.
Consentimiento del pacienteEste trabajo ha recibido la aprobación del Comité Ético de Investigación (CEI) del Hospital General de Albacete.
Responsabilidades éticasProtección de personas y animalesLos autores declaran que para esta investigación no se han realizado experimentos en seres humanos ni en animales.
Confidencialidad de los datosLos autores declaran que en este artículo no aparecen datos de pacientes.
Derecho a la privacidad y consentimiento informadoLos autores declaran que en este artículo no aparecen datos de pacientes.
FinanciaciónNinguna.
Conflicto de interesesLos autores declaran no tener ningún conflicto de intereses.





