INTRODUCCIÓN
La adenomiosis es un trastorno ginecológico frecuente que se caracteriza por la existencia de glándulas y estroma endometriales en el espesor del miometrio, junto con la hiperplasia y la hipertrofia de fibras musculares lisas de este último1. Dada esta presencia de endometrio en el interior del miometrio, algunos autores también denominan a esta entidad endometriosis interna, y reservan el término endometriosis externa para el cuadro comúnmente llamado endometriosis. Adenomioma es el nombre dado a un área de adenomiosis encapsulada por tejido endometrial, que debe ser diferenciado de un mioma (tumor fibroide).
La prevalencia de la adenomiosis, como hallazgo anatomopatológico, es muy variable, desde un 5 a un 70%2, dependiendo del límite de profundidad que se considere en el hallazgo microscópico de focos en el espesor miometrial. La proporción de diagnóstico preoperatorio de la adenomiosis, según los hallazgos clínicos, es pobre, y oscila entre el 2,6 y el 26%.
Es dependiente del estrógeno y, entre los factores predisponentes, se hallan la multiparidad y el antecedente de cirugías previas uterinas (cesáreas, legrados, histeroscopias...).
Se describen 2 formas de adenomiosis: una focal, localizada (adenomiosis de Cullen), que se presenta como pequeños focos, nódulos endometriales en el espesor del miometrio, alguno de los cuales puede ser de mayor tamaño, mal delimitado y sin cápsula, lo que puede orientar en el diagnóstico diferencial en comparación con el mioma intramural, y una forma difusa, la más frecuente, en la que el útero se encuentra aumentado de tamaño y en la que se puede apreciar múltiples criptas glandulares pequeñas (2-8 mm) que infiltran el miometrio alrededor de la cavidad (miometrio paracavitario) el lugar más frecuente es la pared posterior del útero y con un engrosamiento significativo de la zona de unión.
Profundizando algo más en la anatomía patológica de la adenomiosis, a continuación se hará hincapié en los siguientes hallazgos:
La adenomiosis se debe a un crecimiento del endometrio en profundidad, que se extiende más allá de 2,5 mm en la profundidad del miometrio. Generalmente, se trata de endometrio basal, sólo ocasionalmente de zona de tipo funcional.
Normalmente la unión endomiometrial es irregular y carente de una muscular de la mucosa.
Macroscópicamente los islotes se presentan como áreas ligeramente deprimidas, rosadoamarillentas o pardas, o como pequeños quistes con líquido pardo.
El miometrio aparece hipertrófico.
El cuerpo uterino es globuloso; la pared comprometida, engrosada y, con más frecuencia, se trata de la pared posterior y de los cuernos.
La lesión en conjunto está mal delimitada. Rara vez consiste en un nódulo bien delimitado, con islotes de endometrio y tejido muscular liso desordenado (adenomioma).
La etiología y los mecanismos patogénicos causantes de la adenomiosis son mal conocidos3. Tanto estudios en humanos como experimentales hablan en favor de la teoría de la invaginación endomiometrial del endometrio, si bien el desarrollo de la adenomiosis desde restos müllerianos en una localización extrauterina es otra posibilidad. El prerrequisito para la adenomiosis puede desencadenarse o facilitarse por una «debilidad» del tejido muscular liso, por un incremento de la presión intrauterina o por ambos factores. Para el mantenimiento de la adenomiosis pueden ser necesarios concentraciones de estrógenos relativamente altas y un debilitado control del crecimiento inmunorrelacionado del endometrio ectópico. La hiperplasia e hipertrofia de las células del músculo liso son un reflejo de los cambios reactivos secundarios a la proliferación del endometrio ectópico. No obstante, muchos estudios serán necesarios para precisar la etiología y la patogenia de la adenomiosis.
La adenomiosis es una enfermedad uterina relativamente frecuente descubierta fundamentalmente en multíparas entre los 40 y los 50 años de edad; es un frecuente hallazgo anatomopatológico en úteros extirpados por diferentes enfermedades. Su diagnóstico clínico es difícil, porque los signos y los síntomas son inespecíficos y con frecuencia coexisten con otras enfermedades pelvianas. Cerca de dos tercios de las mujeres son sintomáticas, y el síntoma más frecuente es la dismenorrea secundaria con un aumento progresivo de la intensidad, en tanto que la menorragia y el dolor pelviano son menos constantes. Cuando la adenomiosis es el único trastorno pelviano, los síntomas más comunes son la menorragia (40-50%), la dismenorrea (15-30%) y la metrorragia (10-12%). Además, es frecuente que la paciente refiera múltiples intentos terapéuticos previos.
Todavía no se ha determinado claramente el mecanismo por el cual la adenomiosis induce un aumento del sangrado menstrual. Se han propuesto varias hipótesis. Si bien el sangrado directo de los focos de adenomiosis parece improbable, la menorragia podría originarse en el aumento de la superficie endometrial resultante, a su vez, del agrandamiento global uterino. La función contráctil endometrial podría estar comprometida, en parte, por las interdigitaciones de los focos de adenomiosis y por la hiperplasia muscular reactiva que distorsiona la arquitectura uterina.
Un 80% de los casos de adenomiosis están asociados con miomas uterinos, y el aumento de volumen uterino es un signo común con esta entidad. También en mujeres con adenocarcinoma endometrial, la adenomiosis es relativamente frecuente. En ocasiones, se han descrito casos de adenomiosis en mujeres posmenopáusicas con carcinoma de mama, casos inducidos por su terapia adyuvante con tamoxifeno4,5; en estos casos de adenomiosis inducidos por el uso de tamoxifeno, los hallazgos por imagen son similares a los descritos en mujeres en edad fértil.
Se han descrito casos de presentación inusual de adenomiosis, como dentro de un leiomioma y en el ligamento ancho6, asociado al uso de tamoxifeno.
MÉTODOS DIAGNÓSTICOS
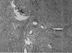
El diagnóstico definitivo se lleva a cabo en el estudio histológico de las piezas de histerectomía (fig. 1), aunque se está realizando una tentativa seria de diagnóstico preoperatorio mediante las biopsias miometriales y el diagnóstico por la imagen (ecografía transvaginal y resonancia magnética). A pesar de que la adenomiosis se presenta en el 5-70% de las pacientes y que se asocia hasta en un 80% de los casos con miomas, los informes de ultrasonografía raramente informan de adenomiosis. En este sentido, el rol de las imágenes en la evaluación de estas pacientes permitirá establecer una aproximación diagnóstica, determinar la profundidad y la extensión de la penetración del miometrio y monitorizar la evolución de las pacientes que reciban terapia conservadora.
Fig. 1. Adenomiosis. Componente glandular endometrial en el seno de miometrio normal.
1. La ecografía transvaginal (ETV) no solamente permite identificar claramente el endometrio, sino también el miometrio, y puede diagnosticar con gran precisión la enfermedad uterina benigna7.
En la adenomiosis, algunos autores8 consideran la ETV una modalidad diagnóstica razonablemente eficaz en su diagnóstico, con una sensibilidad del 80% y una especificidad del 74% en la adenomiosis difusa, y del 87 y el 98%, respectivamente, para la forma focal.
Además, la ETV ha demostrado ser un método eficaz en el diagnóstico diferencial entre un mioma y una adenomiosis9,10. Así, la adenomiosis focal afecta preferentemente al miometrio posterior; en cambio, los miomas no tienen tal localización preferente. El límite entre la lesión y el miometrio subyacente no está bien definido, y la anatomía normal de la zona a menudo se ve interrumpida por la adenomiosis, hecho que distingue a ésta de los miomas, que suelen tener bordes definidos. Se puede afirmar, pues, que, en general, los miomas se definen claramente como masas identificadas fácilmente, mientras que la adenomiosis es un proceso infiltrativo difuso. Además, en el caso de la adenomiosis, en su interior existen áreas anecoicas de 2 a 8 mm (quistes miométricos), con frecuencia en ubicación subendometrial y que corresponden a las criptas glandulares endometriales dilatadas, que aparecen y desaparecen durante el ciclo menstrual y que le dan un aspecto típico de miometrio poliquístico en «panel de abeja» (fig. 2) o como «manchas de leopardo», mientras que los miomas, aunque pueden experimentar una degeneración quística, no es éste un fenómeno común. Son también frecuentes en la adenomiosis8,11:
Fig. 2. Adenomiosis. Aspecto típico ecográfico de miometrio poliquístico en «panel de abeja».
La presencia de calcificaciones que dejan sombra acústica.
Nódulos ecogénicos (en caso de adenomiosis localizada).
Estriaciones lineales.
Seudoengrosamiento del endometrio.
Agrandamiento uterino difuso. La presencia de endometrio intramiometrial, generalmente localizado en el área corporal, da al útero un aspecto globuloso, aumentando su volumen y reduciendo su reflectividad.
Engrosamiento de la pared posterior.
Cavidad excéntrica.
Aunque los focos de adenomiosis no presentan variaciones cíclicas superponibles a las del endometrio, es posible observar, al final del ciclo, una corona ecogénica endometrial que, en ocasiones, puede rellenar las microcavidades.
Hulka et al12 realizaron un estudio para ver si, con los hallazgos ecográficos existentes en pacientes con adenomiosis, la ecografía podía predecir la extensión de la enfermedad, y llegaron a las siguientes conclusiones: en ausencia de leiomiomas focales, un proceso difuso uterino visto por ecografía puede estar relacionado con la gravedad de la adenomiosis. Por otro lado, la existencia de leiomiomas limita la capacidad para diagnosticar la gravedad de la adenomiosis. Finalmente, la visualización del endometrio no está relacionada con la gravedad de la adenomiosis. En su trabajo, también hacen hincapié en recordar que el miometrio heterogéneo no siempre es mioma y en que, cuando en un útero aumentado de tamaño se encuentra un mioma, se debe continuar explorando el resto del miometrio buscando una posible adenomiosis.
En definitiva, la ETV se revela como un buen método diagnóstico de detección de la adenomiosis13, pero dado que la visualización de las criptas glandulares en el interior del endometrio es inconstante, la ETV sólo tendrá un valor positivo en su diagnóstico.
2. Ecografía Doppler color transvaginal. Las características del Doppler color ante una adenomiosis son un aumento de la vascularidad por el índice de resistencia vascular (IR) moderado dentro del miometrio (IR = 0,56 ± 0,12), mientras que el IR de las arterias uterinas muestra una disminución del valor comparado con mujeres control14. El Doppler color es útil para diferenciar la adenomiosis de los tumores malignos uterinos, ya que tanto para el IR como para la velocidad máxima se han identificado diferencias estadísticamente significativas entre ambas enfermedades. Sin embargo, no se han observado diferencias significativas entre la adenomiosis y los miomas, aunque se ha evidenciado una ligera diferencia en la velocidad máxima15.
3. Por otro lado, diversos estudios16 han demostrado que la exactitud de la resonancia magnética (RM) en el diagnóstico de la adenomiosis es del 85 al 90%, con una sensibilidad y una especificidad entre el 86 y el 100%. Las secuencias en T2 y en cortes sagitales demuestran mejor la anatomía del útero y, en especial, de la zona de unión. Los hallazgos por RM característicos de adenomiosis son8,16,17:
Engrosamiento focal o difuso de la zona de unión mayor a 12 mm medido en corte sagital y pequeñas imágenes redondeadas en su seno, hiperintensas en las series potenciadas en T2, algunas de ellas con halo hipointenso a su alrededor y sin captación de contraste, y otras sin este halo característico, que dan la imagen de quistes subendometriales.
Las áreas observadas de baja intensidad de señal corresponden a hiperplasia del músculo liso que acompaña las glándulas endometriales ectópicas.
Algunos de los focos de mayor intensidad que se observan dentro de áreas de baja intensidad en el miometrio corresponden a dilatación quística de glándulas endometriales; también a estriaciones lineales radiadas que representan invasión directa de la basal del endometrio al miometrio.
Focos brillantes en T1, que corresponden a áreas de hemorragia.
Por lo general, útero aumentado de tamaño.
Otros signos de adenomiosis incluyen pobre definición de los bordes entre el miometrio normal y anormal, ausencia relativa de efecto de masa y forma elíptica.
Bazot et al18 compararon la ETV con la RM en el diagnóstico de la adenomiosis y las correlacionaron con el estudio histopatológico, y llegaron a la conclusión de que la ETV es tan eficiente como la RM en el diagnóstico de adenomiosis en mujeres sin mioma asociado, al tiempo que la RM podría recomendarse para pacientes con leiomioma asociado.
Otros métodos diagnósticos que pueden tener validez son:
La histeroscopia19.
La histerosalpingografía, que permite detectar el signo de Dionisi (contorno de la cavidad uterina con bordes en borla o en nebulosa).
Kitawaki et al20 señalan que la detección de la aromatasa P-450 proteína, en la biopsia simple de endometrio, se correlaciona fuertemente con la presencia de endometriosis o adenomiosis.
DIAGNÓSTICO DIFERENCIAL
Se establecerá, fundamentalmente, con aquellas otras entidades mioma uterino y útero hipertrófico que tienen en común la existencia de un útero aumentado de tamaño y que pueden asociarse a hipermenorrea. También se diferenciará la adenomiosis de la hipertrofia idiopática del miometrio, que es un engrosamiento difuso del miometrio, de más de 20 mm de espesor, que produce un abombamiento simétrico del útero y en el que, histológicamente, no se encuentran otras alteraciones uterinas, como leiomiomas, adenomiosis o miometritis. La hipertrofia idiopática es causa de dolor y alteraciones menstruales.
También se establecerá el diagnóstico diferencial con aquellos cuadros capaces de producir un cuadro de algia pelviana crónica cíclica, tales como:
Endometriosis: es la más frecuente, y está presente hasta en un 15-40% de lipopolisacárido (LPS) por algia pelviana crónica. La endometriosis es consi derada como una enfermedad distinta de la adenomiosis.
Malformaciones genitales.
Presencia de un dispositivo intrauterino (DIU), sin olvidar otros cuadros causantes de dolor pelviano (p. ej., enfermedad inflamatoria pelviana).
También, con el adenocarcinoma endometrial y con la contracción miometrial.
TRATAMIENTO
El tratamiento de la adenomiosis está limitado por la dificultad y retraso asociado en el diagnóstico, con frecuencia no realizado hasta después de la histerectomía21. Ya se ha señalado que la ETV, la RM y la biopsia uterina están mejorando la detección más temprana de la adenomiosis, con la consiguiente mejoría en el tratamiento. Las investigaciones diagnósticas deben estar indicadas siempre en pacientes que presenten dolor o menorragia y que no respondan al tratamiento médico.
El tratamiento médico puede ser efectivo para controlar los síntomas, pero la frecuente coexistencia de endometriosis y la carencia de estudios controlados hacen que su eficacia no esté cuantificada. En este sentido, el tratamiento médico dependerá fundamentalmente de la sintomatología y de la edad de la paciente: antiinflamatorios no esteroideos, anticonceptivos hormonales orales, danazol, análogos de hormona liberadora de gonadotropinas22.
Fedele et al23 llevaron a cabo un estudio para evaluar la eficacia y la tolerancia del tratamiento de la menorragia asociada con adenomiosis mediante el uso del sistema intrauterino liberador de levonorgestrel (SIU-LNG), y concluyeron que éste es un método eficaz para el tratamiento de la menorragia asociada con adenomiosis, especialmente en pacientes que no desean tener hijos; se constata que la reducción del flujo menstrual en el presente estudio fue muy marcada. La eficacia del SIU-LNG, en estos casos, puede atribuirse, según los autores, a 2 acciones diferentes: el efecto directo del progestágeno sobre los focos de adenomiosis, y la decidualización y la posterior atrofia del endometrio eutópico. Este último fenómeno fue indirectamente confirmado por los hallazgos ecográficos obtenidos durante el seguimiento de las pacientes, que demostraron la existencia de un endometrio extremadamente delgado sólo 3 meses después de la inserción del SIU-LNG.
La cirugía conservadora21,24, incluyendo la ablación endomiometrial, la electrocoagulación o excisión miometrial laparoscópica, ha demostrado ser efectiva en más del 50% de las pacientes. Es importante reseñar que la ablación debe ser endomiometrial, puesto que la adenomiosis profunda es una de las causas más frecuentes del fracaso de la ablación únicamente endometrial; así, si se sospecha una adenomiosis profunda, la ablación exclusivamente endometrial no será el tratamiento de elección de esa paciente. En definitiva, la adenomiosis ya existente en el momento de la indicación es prácticamente imposible de erradicar mediante ablación-resección, salvo que sea focal o muy superficial y se emplee el asa de resección.
También la embolización arterial uterina25-27 es una prometedora alternativa no quirúrgica para pacientes con menorragia y adenomiosis. En efecto, una mejoría significativa de los síntomas y una mejor calidad de vida están asociadas con la disminución lograda del tamaño uterino y del grosor de la zona funcional, aunque son necesarios estudios prospectivos para establecer la seguridad y la eficacia de este proceder terapéutico para pacientes con adenomiosis.
También se ha intentado el tratamiento de la adenomiosis sintomática con la ligadura de la arteria uterina mediante cirugía laparoscópica28, pero los resultados obtenidos son poco satisfactorios.
La histerectomía, considerada como el único procedimiento mediante el cual la enfermedad se puede curar definitivamente, será necesaria en pacientes con adenomiosis grave y cuya edad no esté cercana a la menopausia21.





