metricas
covid
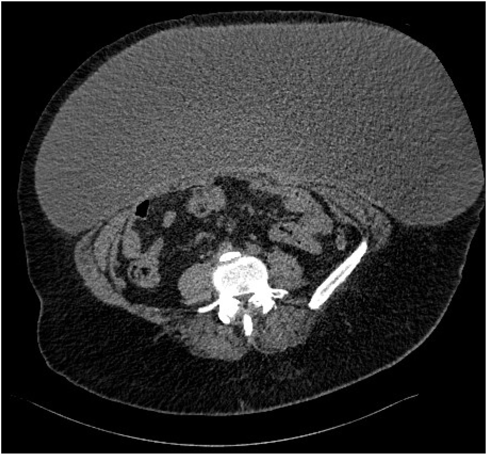
Cirugía Española (English Edition) Giant seroma
Journal Information
Vol. 103. Issue 8.
(August 2025)
Image of the month
Giant seroma
Seroma gigante
Visits
37
Gonzalo de Lucio Usechi
Corresponding author
gonzalodeluciousechi@gmail.com

Corresponding author.
, Víctor Echenagusia Serrats, Miriam Tellaeche de la Iglesia, Amaia Martínez Roldán
Servicio de Cirugía General y del Aparato Digestivo, Sección de Cirugía Endocrina y Pared Abdominal, Hospital de Galdakao-Usansolo, Spain
This item has received
Article information
Full Text
Download PDF
Statistics
Figures (1)

Article

These are the options to access the full texts of the publication Cirugía Española (English Edition)
Subscriber
Subscriber

If you already have your login data, please click here .

If you have forgotten your password you can you can recover it by clicking here and selecting the option “I have forgotten my password”
Subscribe
Subscribe to

Cirugía Española (English Edition)

Purchase
Purchase article

Purchasing article the PDF version will be downloaded

Purchase now
Contact
Phone for subscriptions and reporting of errors
From Monday to Friday from 9 a.m. to 6 p.m. (GMT + 1) except for the months of July and August which will be from 9 a.m. to 3 p.m.
Calls from Spain
932 415 960
Calls from outside Spain
+34 932 415 960
E-mail