Los tumores malignos de la vaina de los nervios periféricos (TMVNP) son una rara variedad de sarcoma de tejidos blandos de origen ectodérmico. Este término, acuñado por la OMS, agrupa a los tumores antiguamente referidos como schwanoma maligno, neurilenoma maligno o neurofibrosarcoma. Frecuentemente se asocian a la neurofibromatosis de tipo 1 (NF1) y rara vez se localizan en el aparato digestivo. Su aparición en el intestino delgado es extremadamente infrecuente y existen pocos casos publicados en la literatura médica mundial.
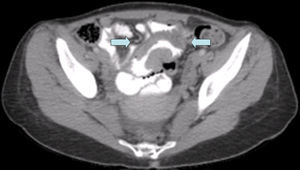
Presentamos el caso de una mujer de 32 años, sin antecedentes médicos de interés, que durante la gestación consulta en varias ocasiones por astenia, cefaleas y dolor hipogástrico. Se detectan cifras disminuidas de hemoglobina, como único hallazgo, por lo que se diagnostica de anemia secundaria a la gestación, debido a la normalidad en las cifras de controles previos. Ante la persistencia de la sintomatología tras el parto, se realiza un estudio con tomografía computarizada y se encuentra una masa de 16×7cm de diámetro yeyuno distal-íleon proximal con adenopatías mesentéricas y lesiones nodulares hepáticas (fig. 1). Dados los hallazgos clínicos, se decide realizar una intervención quirúrgica. Se evidencia una masa exocítica y ulcerada en el yeyuno distal junto a múltiples adenopatías mesentéricas, granulaciones sobre el peritoneo parietal y las lesiones hepáticas ya conocidas por la tomografía computarizada. Se realiza resección segmentaria y anastomosis primaria, incluida esta tumoración. Durante el postoperatorio desarrolla episodios de febrícula nocturna que se resuelven con tratamiento médico, y alcanza la estabilidad clínica y el alta domiciliaria a los 6 días. El estudio histopatológico informa de un tumor maligno de células pequeñas fusiformes, con infiltración extrínseca que afecta a más del 70% del espesor de la pared intestinal. Con marcadores c-kit negativo, S-100, vimentina y NSE positivos, todo esto compatible con el TMVNP (fig. 2). El mes posterior a la intervención inicia un tratamiento quimioterapéutico con doxorrubicina y se revalúa tras 3 y 6 ciclos como enfermedad no progresiva. La paciente fallece al año del diagnóstico a consecuencia de un fallo renal agudo, secundario a un síndrome nefrótico paraneoplásico.
Los TMVNP tienen en común su origen ectodérmico y su comportamiento biológico1. Pueden originarse en nervios periféricos de cualquier localización. La mayoría, por orden de frecuencia, aparece en las extremidades, el tronco, la cabeza y el cuello2. Su desarrollo es extraordinario en el aparato digestivo. Existen alrededor de 25 casos localizados en el intestino delgado documentados en la bibliografía2,3. Su incidencia es del 0,001% en la población general y aumenta un 4–4,6% cuando se asocia a la NF1 o a la enfermedad de Von Recklinghausen (EVR)4. La EVR constituye una entidad de herencia autosómica dominante con variable expresividad clínica, cuyo rasgo fenotípico predominante lo constituyen las manchas café con leche y los neurofibromas múltiples de la piel5,6. La asociación entre los TMVNP y la EVR es muy común; los TMVNP son la enfermedad maligna más frecuente en los pacientes con NF1, y entre el 2–29% de estos tumores se asocian a este síndrome4,7. Nuestra paciente no se encontraba afectada por la NF1, lo que le otorga mayor singularidad. Este tipo de tumores se da con más frecuencia en el sexo masculino entre los 20–50 años de edad3,8.
La sintomatología con la que se presentan estos tumores en el intestino incluye frecuentemente dolor abdominal, generalmente de carácter larvado, sordo y mal localizado, como el caso de nuestra paciente, así como vómitos, pérdida de peso, hemorragia digestiva o masa palpable. Debido a las leves e inespecíficas características de estos síntomas, el diagnóstico es, en la mayoría de los casos, tardío y en fases avanzadas de la enfermedad2,3.
Aunque hallazgos como la atipia nuclear, la actividad mitótica, la existencia de células gigantes y áreas de necrosis y la hemorragia, junto a otras características morfológicas, conducen al diagnóstico de estas neoplasias, no existen rasgos histológicos e inmunohistoquímicos específicos. No obstante, marcadores como la desmina, la vimentina, la MIB-1 y la S-100, entre otros, deben estudiarse para llegar a catalogar estos tumores. En el caso que nos ocupa, la presencia de células fusiformes con características de malignizacion y la positividad frente a S-100, vimentina y NSE nos orientó hacia el origen ectodérmico de esta neoplasia1–5.
Pese a los pocos datos existentes en la bibliografía, existe cierta unanimidad en emplear el tratamiento quirúrgico como primera opción terapéutica, y se recomienda una amplia resección de la lesión asociada a seguimiento radiológico y tratamiento quimioterapéutico adyuvante en casos de márgenes positivos, enfermedad diseminada, recurrencia o imposibilidad de extirpación. Se han utilizado doxorrubicina, ifosfamida, carboplatino y etopósido, entre otros1–5,9.
El pronóstico de estas lesiones en el intestino delgado es desconocido. La mayoría de los autores le atribuyen un mal pronóstico, con elevadas cifras de mortalidad, recurrencia y tendencia a metastatizar, sobre todo a nivel hepático y pulmonar. En este caso, al diagnóstico existía enfermedad peritoneal y hepática2,3.
El tratamiento adecuado de estos tumores se fundamenta en la detección temprana, ya que esto condiciona el pronóstico. Sin embargo, no es fácil diagnosticarlos, debido a su clínica inespecífica y a su rareza, solo el tenerlos en cuenta como posible diagnóstico diferencial nos permitirá diagnosticarlos y poder ofrecer una cirugía curativa, que es, junto a la quimioterapia adyuvante, la alternativa terapéutica más eficaz.






