Se conoce como situs inversus (SI) un defecto congénito donde la posición de los órganos torácicos y abdominales es “en espejo” de la posición normal anatómica en un plano sagital. La incidencia varía de 1/4.000 a 1/20.000 recién nacidos. Aristotle describió por primera vez esta anomalía en animales y se reconoció en humanos en el siglo XVII1. En el 25% de los casos forma parte del síndrome de Kartagener junto con bronquiectasias y sinusitis crónica; las manifestaciones clínicas precoces en niños con enfermedad cardíaca congénita son trastornos autoinmunitarios o anomalías intraabdominales2.Mu-chos pacientes permanecen asintomáticos toda la vida debido a que no tienen enfermedad cardíaca o anomalías abdominales graves y el diagnóstico es incidental tras exploraciones por otro motivo o urgencias de tipo quirúrgico3. Hasta la fecha, no se ha descrito una mayor predisposición anatómica para la trombosis aguda vascular intraabdominal.
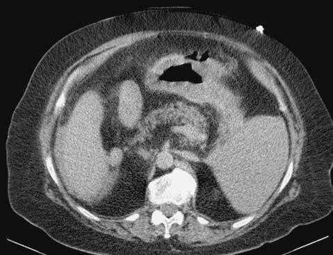
Se presenta una paciente de 66 años que acude a urgencias por disnea, falta de expulsión de gases y heces y dolor abdominal de 24-48 h de duración; además, náuseas y vómitos en posos de café. Presenta como antecedentes personales diabetes mellitus no dependiente de insulina, situs inversus totalis e intervenciones quirúrgicas previas de colecistectomía y apendicectomía. El estado general impresiona de gravedad: presión arterial, 140/58 mmHg; frecuencia cardíaca, 135 lat/min; temperatura axilar, 37,5 °C; SaO2 del 93,5%, y disminución del murmullo vesicular de base pulmonar derecha. Presenta defensa, peritonismo difuso y silencio abdominal. Los valores analíticos sanguíneos son: 30.700 leucocitos (el 93,2% neutrófilos); amilasemia, 367; glucosa, 354 mg/dl; dímero D de 1.343 ng/ml, y pH sanguíneo de 7.08; el resto, dentro de la normalidad. La tomografía computarizada muestra situs inversus totalis y pequeño neumoperitoneo que parece en continuidad con el aire del estómago (fig. 1).
Fig. 1. Tomografía computarizada sin contraste. Se muestra líquido libre periesplénico y pequeña imagen de neumoperitoneo cerca del estómago que indica perforación de esta víscera hueca. Obsérvese el situs inversus abdominus completo.
Se realiza laparotomía exploradora urgente y se observa situs inversus abdominus con hígado en el lado izquierdo, bazo en el derecho y eje craneocaudal del estómago en dirección hacia la izquierda. Se aprecia una necrosis completa del parénquima hepático, esplénico y gástrico, por lo que se llega al diagnóstico intraoperatorio de trombosis aguda del tronco celíaco (fig. 2). Se decide cerrar la laparotomía. La paciente ingresa en la UCI para tratamiento compasivo y fallece 6 h después de la intervención quirúrgica.
Fig. 2. Fotografía interoperatoria. Véase el bazo situado a la derecha y el hígado situado a la izquierda. Se muestra la necrosis completa del bazo, el hígado y el estómago.
La trombosis del tronco celíaco puede manifestarse clínicamente en sus formas más leves e incompletas, como incomodidad abdominal inespecífica posprandial y pérdida de peso, hasta dolor agudo abdominal junto con hemorragia digestiva y sepsis generalizada en las formas más graves. La dificultad diagnóstica reside en la inespecificidad de los síntomas4 y los hallazgos físicos que se confunden con síndrome de intestino irritable, enfermedad ulcerosa pancreática/biliar o desórdenes psiquiátricos. El diagnóstico del SI se puede hacer mediante estudios radiológicos. La resonancia vascular, la angiografía y los estudios de Doppler diagnostican la trombosis arterial y el grado de estenosis.
El tratamiento varía según el grado de obstrucción vascular. En las formas leves se ha descrito mejoría clínica con tratamiento anticoagulante e intravascular mediante angioplastia y endoprótesis incluso en estenosis del 90% en el tronco celíaco.
Las formas graves frecuentemente son fatales e incompatibles con la vida5.
Correspondencia: Dra. C. Rodero Astaburuaga. Servicio de Cirugía General y del Aparato Digestivo. Hospital Francesc de Borja.
P. Germanies, 71. 46702 Gandia. Valencia. España. Correo electrónico: roderoastaburuaga@hotmail.com
Manuscrito recibido el 21-5-2007 y aceptado el 10-10-2007.






