Introducción
La hidatidosis es una enfermedad parasitaria producida por Echinococcus en su forma larvaria que infecta al ser humano como huésped intermediario accidental.
Aunque es una infección muy poco frecuente, existen áreas endémicas como los países mediterráneos, Oriente Medio, India, Australia o Sudamérica. La mayoría de los quistes hidatídicos tienen una localización hepática (50-80%), seguida de la pulmonar (25%). El bazo se afecta en un 0,5-6% de los casos y generalmente unido a otras localizaciones1,2. Suelen ser quistes únicos y uniloculares. El tratamiento de elección de la hidatidosis esplénica ha sido la esplenectomía, si bien recientemente existe la tendencia a preservar todo o parte del bazo, cuando sea posible.
Se presenta un caso de hidatidosis esplénica única, gigante y multilocular.
Caso clínico
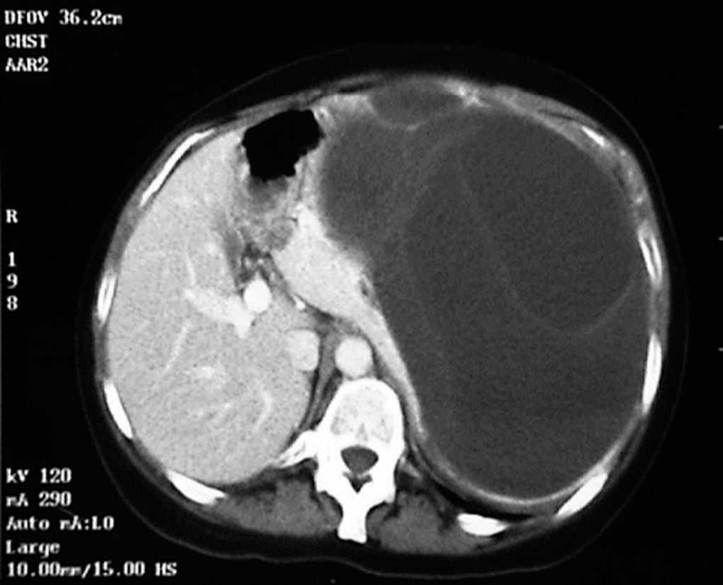
Mujer de 41 años, que consultó por dolor y distensión abdominal progresiva. En la exploración física destacaba la presencia de una tumoración abdominal elástica, no dolorosa, que ocupaba epigastrio, hipocondrio y vacío izquierdos. Las exploraciones complementarias revelaron la presencia de anemia y leucopenia leves y trombopenia. Cabe destacar que la serología de la hidatidosis (hemaglutinación indirecta) fue negativa. Se realizó radiología simple, ecografía y tomografía computarizada (TC) abdominal que demostraron la existencia de una tumoración sólido-quística de 24 cm de diámetro máximo que dependía del bazo (fig. 1), sin la presencia de quistes hepáticos, renales ni pulmonares.
Fig. 1. Tomografía computarizada en la que se observa el quiste hidatídico esplénico que contacta íntimamente con el estómago, el lóbulo izquierdo del hígado, la cola del páncreas y el riñón izquierdo. Destaca la presencia de septos dentro del quiste.
La paciente fue intervenida quirúrgicamente mediante una laparotomía media. Tras aislar el campo operatorio con suero salino hipertónico y liberar la tumoración de los órganos vecinos, se realizó esplenectomía total, sin evacuación previa del quiste y sin que existiera reacción anafiláctica.
En el período postoperatorio inmediato, la paciente presentó hidroneumotórax, que requirió drenaje percutáneo, y anemia, que requirió la administración de 4 unidades de concentrados de hematíes y otras 4 de plaquetas. Se vacunó a la paciente frente a Haemophilus influenzae y Staphylococcus pneumoniae. La paciente fue dada de alta al séptimo día tras la intervención quirúrgica.
El estudio anatomopatológico confirmó el diagnóstico de quiste hidatídico multilocular (fig. 2). Tras 1 año de seguimiento no hay evidencia de recidiva de la enfermedad.
Fig. 2. Corte longitudinal del quiste hidatídico esplénico. Se observan las múltiples cavidades y el desplazamiento del parénquima sano a la periferia.
Discusión
La hidatidosis, si bien es una enfermedad benigna, puede tener consecuencias fatales. En áreas endémicas, como España, se debe tener presente la hidatidosis como diagnóstico diferencial de una tumoración quística abdominal, torácica e incluso de partes blandas. Entre el 50 y el 80% de los quistes esplénicos en estas áreas son hidatídicos3.
El aspecto más controvertido de la hidatidosis esplénica es su tratamiento.
Se ha intentado controlar la enfermedad de forma conservadora con el empleo de benzimidazoles solos o asociados a punción percutánea guiada con ecografía4, pero el alto número de recidivas y complicaciones lo desaconsejan. Tampoco se ha observado un beneficio evidente con el empleo de esta medicación de forma peroperatoria5.
El tratamiento de elección es el quirúrgico. Sólo estaría indicado el tratamiento conservador en casos inoperables por patología asociada o rechazo del paciente a la intervención, y en quistes pequeños5. La discusión se centra hoy en día en el tipo de resección: ¿cirugía conservadora o esplenectomía?, ¿abierta o por laparoscopia?
Al igual que otros autores, creemos que el mejor tratamiento es el que erradica la enfermedad con el menor riesgo posible.
Muchos autores defienden la esplenectomía parcial, la enucleación del quiste o la quistectomía parcial con omentoplastia como tratamiento de elección, sobre todo en edad pediátrica1,3,5,6. Se estima que para mantener la función normal del bazo en el adulto, es necesario que sea viable el 50% del parénquima esplénico sano y el 20-30% en la población infantil5.
Aunque la preservación parcial del bazo disminuye la incidencia de sepsis, es una intervención laboriosa, hemorrágica y sólo realizable en quistes superficiales, polares o irresecables debido a las adherencias a órganos vecinos. Además la compresión del parénqima esplénico sano por el quiste, mayor cuanto más grande es éste, dificulta su preservación de forma viable.
Otros autores recomiendan la esplenectomía como tratamiento de la hidatidosis esplénica porque evita la presencia de cavidades residuales que puedan sobreinfectarse, elimina la posibilidad de quistes esplénicos múltiples y es técnicamente más sencilla. Además, una correcta vacunación y el tratamiento antibiótico disminuyen la incidencia de sepsis postesplenectomía2,5,7,8.
La morbilidad es semejante en ambos tipos de intervención (0-25%) al igual que la mortalidad (0-7%), pero la recidiva es significativamente menor con la cirugía radical5.
En los últimos años se ha propuesto el abordaje laparoscópico para esta patología en quistes superficiales. Puede realizarse la esplenectomía en quistes pequeños o la resección parcial de éste con omentoplastia, pero existe un riesgo apreciable de diseminación de su contenido (10%), reacción anafiláctica (2%) y recidiva de la enfermedad (18%)9,10.
En los quistes grandes, como el que se presenta, con septos o multiloculares, se deben tener en cuenta varias consideraciones antes de decidir el tratamiento a realizar.
En primer lugar, es probable que no se pueda aspirar gran parte del contenido del quiste, por lo que la opción laparoscópica queda limitada a la esplenectomía. En segundo lugar, el parénquima esplénico viable es escaso y reducido a una lengüeta periférica, por lo que su conservación no garantiza la función del bazo. En tercer lugar, el tamaño complica mucho su movilización, más aún por laparoscopia, y su extracción por una minilaparotomía.
Por todo ello, creemos que el tratamiento de elección en los quistes hidatídicos esplénicos grandes es la esplenectomía por vía abierta.
Correspondencia: Dr. J.I. González-Muñoz.
Servicio de Cirugía. Hospital Ciudad de Coria.
Cervantes, 75. 10800 Coria. Cáceres. España.
Manuscrito recibido el 5-11-2004 y aceptado el 4-1-2005.






