Introducción
El quilotórax es una entidad rara por su escasa frecuencia. Generalmente suele ocurrir como consecuencia de la lesión que presenta el conducto torácico o sus ramas en el transcurso de la cirugía cardiotorácica o abdominal, por traumatismos, tumores, o bien espontáneamente. El paciente suele presentar al inicio un cuadro clínico de disnea progresiva y una radiografía de tórax con la imagen de un derrame pleural uni o bilateral. Se sospecha si hubo algún antecedente de los descritos previamente y se confirma con el análisis bioquímico del derrame pleural: importante aumento del índice de triglicéridos y presencia de quilomicrones. El aspecto macroscópico suele ser lechoso, si hubo ingesta oral reciente, o bien de un color seroso-transparente, si el paciente está en ayunas. El quilotórax requiere un diagnóstico y tratamiento tempranos para evitar las alteraciones metabólicas y respiratorias que podrían provocar la muerte del paciente.
Caso clínico
Mujer de 28 años de edad que dio a luz por vía vaginal. El parto fue traumático debido a las maniobras de presión abdominal externa inducidas por el personal sanitario. Dos semanas después del alta, la paciente acudió a urgencias por un cuadro de disnea progresiva hasta hacerse notorio a mínimos esfuerzos. En la radiografía de tórax había un derrame derecho de dos tercios y en la exploración física, semiología de derrame pleural. Se le colocó un drenaje torácico y durante varios días se obtuvo un total de 7.000 ml de líquido con aspecto quiloso y un análisis bioquímico diagnóstico de quilotórax (triglicéridos: 863 mg/dl, colesterol: 68 g/dl y presencia de quilomicrones). Al séptimo día se le retiró el drenaje, se trató a la paciente con una dieta exenta de ácidos grasos de cadena larga y 15 días tras el ingreso se le dio el alta. Tres meses más tarde, al abandonar la dieta previa, acudió de nuevo a urgencias con el mismo cuadro clínico. En la exploración física y radiológica se evidenció una recidiva del quilotórax. Fue tratada de nuevo de modo conservador hasta que, 9 meses tras el parto, la paciente fue remitida al servicio de cirugía torácica por una segunda recidiva (fig. 1). A su ingreso se le pautó una dieta absoluta y nutrición parenteral total a través de un catéter venoso central. La intervención se llevó a cabo con anestesia local y sedación: videotoracoscopia del hemitórax derecho colocando un trocar sobre el 5.o espacio intercostal en la línea media axilar, se evacuó el quilotórax (1.400 ml), se tomó una muestra para cultivo (estéril) y otra para anatomía patológica (pleuritis crónica linfocitaria) y los hallazgos en la exploración fueron: pulmón libre de adherencias, pleura parietal y mediastínica inflamatoria difusa con placas nacaradas que se biopsiaron (pleuritis crónica fibrosa). Se le realizó pleurodesis con talco en aerosol (3 g) y se comprobó la imagen en nevada tras reintroducir el toracoscopio para observar la distribución más o menos homogénea del talco antes de colocar finalmente el drenaje pleural. La evolución posterior fue favorable, con débitos de 1.800 ml en el primer día postoperatorio hasta disminuir a 75 ml al cuarto día, cuando se le retiró el tubo torácico. Seis días después de la primera intervención se realizó la segunda videotoracoscopia sobre el hemitórax izquierdo con el mismo procedimiento. Se obtuvieron 1.200 ml de derrame pleural durante la intervención. Siguió una evolución adecuada en el postoperatorio y se le retiró el tubo torácico al tercer día con un drenaje inferior a 50 ml. La paciente fue dada de alta 13 días tras la primera intervención quirúrgica y acudió para seguimiento a la consulta externa en varias ocasiones durante un año. La radiografía de control a los 10 meses de la intervención mostró un leve pinzamiento de ambos senos costrofrénicos (fig. 2) y sin cambios de posición del líquido con el decúbito. Actualmente, 3,5 años después y tras contactar telefónicamente, la paciente se encuentra asintomática, realiza su vida normal y tuvo un segundo parto hace 8 meses sin ninguna complicación ni recidiva del quilotórax.
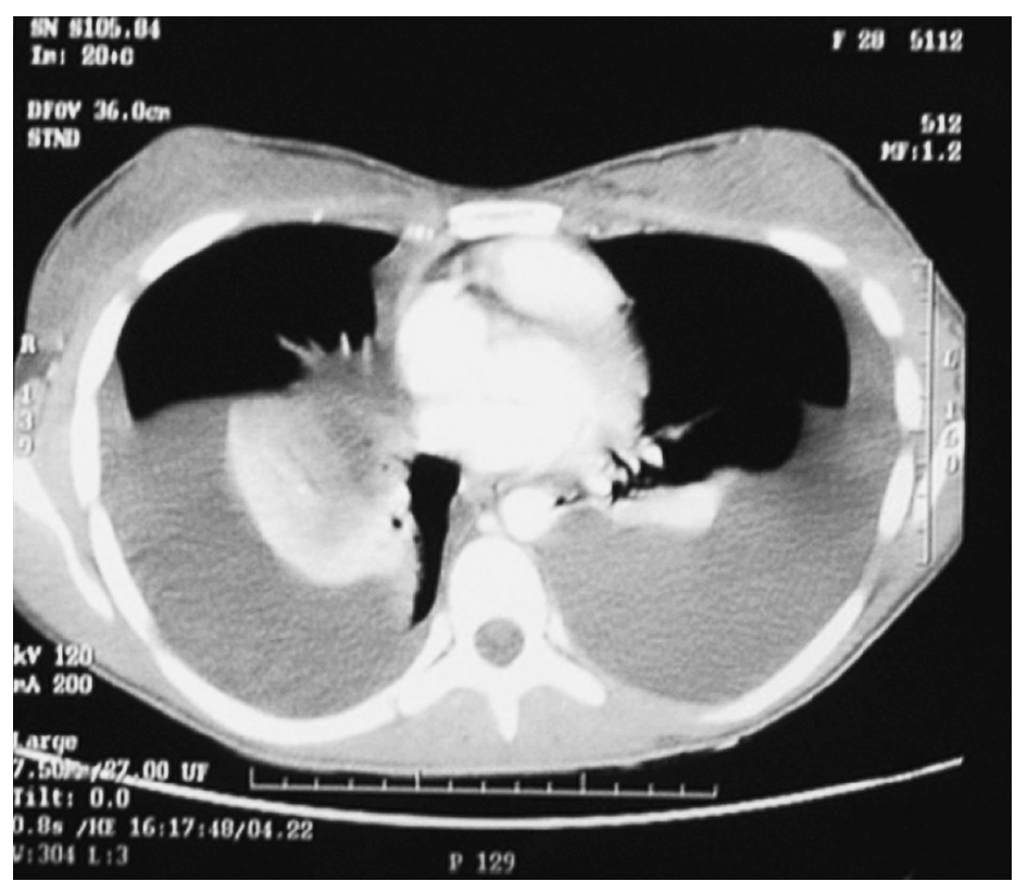
Fig. 1. Tomografía computarizada en la que se observa el derrame pleural del quilotórax bilateral antes de la intervención.
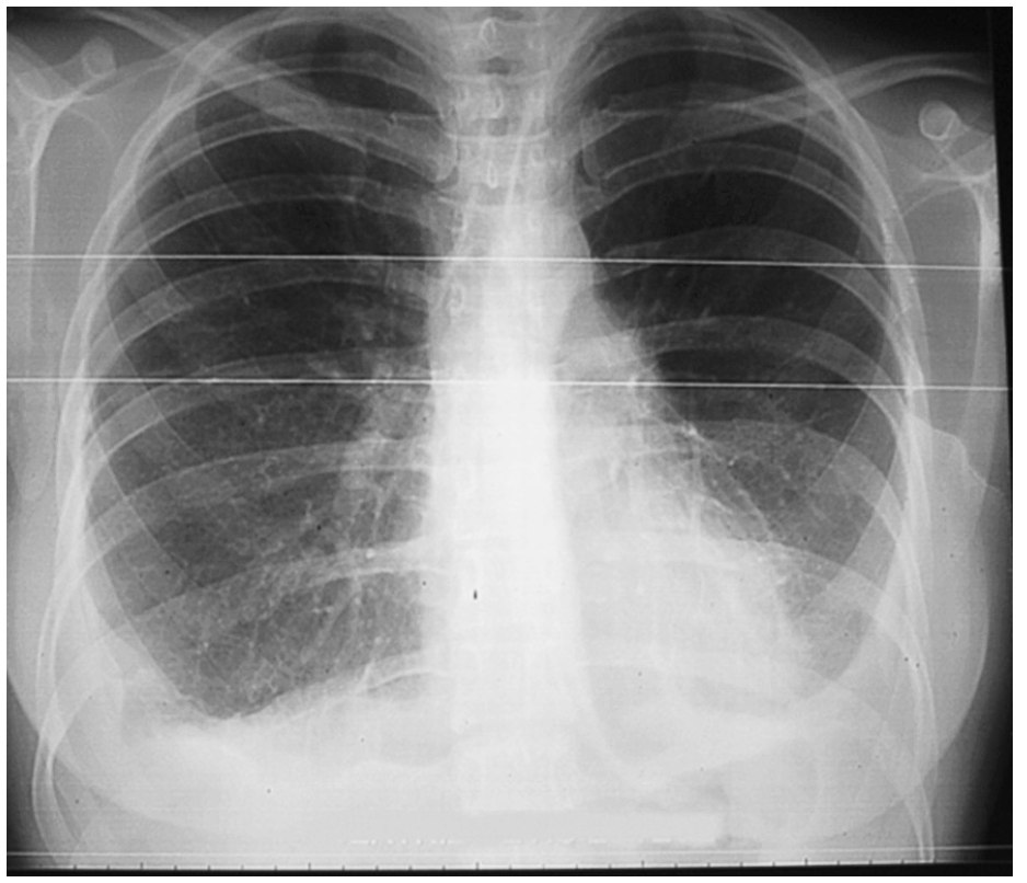
Fig. 2. Radiografía de tórax un año tras la intervención, en la que se observa un leve pinzamiento de ambos senos costofrénicos.
Discusión
El conducto torácico suele originarse a la altura de las 2 primeras vértebras lumbares en su cara anterior, penetra en el tórax atravesando el hiato aórtico del diafragma y se sitúa entre la vena ácigos y la aorta por el lado anterolateral de la columna vertebral. Sobre T4-T5 cruza al hemitórax izquierdo por detrás del esófago y asciende cruzando el cayado aórtico y la arteria subclavia izquierda hasta desembocar en la unión de la vena yugular interna con la vena subclavia izquierda. Además de este recorrido habitual, pueden existir variaciones.
El quilotórax ocurre generalmente como complicación iatrogénica de la cirugía, por traumatismos abiertos o cerrados, por tumores mediastínicos (principalmente el linfoma) o espontáneamente con maniobras que produzcan hiperpresión intraabdominal e intratorácica, como son la tos, el vómito o con los esfuerzos que la mujer realiza al "empujar" durante el parto1.
El derrame pleural en el quilotórax puede ser izquierdo o derecho, según esté afectado el conducto torácico craneal o caudal a T4, respectivamente, y cuando es sobre ese nivel vertebral será bilateral. Sin embargo, esta explicación parece demasiado sencilla y no se adapta muchas veces a la realidad. Cuando se rompe el conducto torácico se forma un quiloma extrapleural contenido por la integridad de la pleura, y al romperse ésta se verterá hacia uno o ambos hemotórax.
La presentación de un quilotórax bilateral tras un parto vía vaginal es muy poco frecuente. Se han descrito en la literatura científica otros casos similares, pero con afectación de un solo hemitórax2,3.
Ante un quilotórax el tratamiento inicial debe ser conservador, ya que puede ser resolutivo en muchos casos1,4: toracocentesis evacuadoras para aliviar la disnea o colocación de un drenaje torácico (para cuantificar la cantidad de quilo drenado diariamente), instaurar una dieta absoluta y una nutrición parenteral total. Si al cabo de 7-10 días se obtienen cantidades de líquido por el tubo torácico superiores a 300-500 ml/día, hay que plantear un tratamiento quirúrgico. Algunos autores, tras el fracaso del tratamiento conservador optan por un tratamiento con fármacos como somatostatina u octeótrida con resultados esperanzadores antes de la cirugía5.
Hoy día, la vía de tratamiento quirúrgico es controvertida. Tradicionalmente consiste en toracotomía y ligadura del conducto torácico si se identifica, y si no es así, ligadura en masa sobre la proximidad superior del diafragma6. Recientemente se han desarrollado técnicas videotoracoscópicas para el cierre del conducto torácico con clips o electrocauterio.
Otra opción pueden ser los sellantes de fibrina que simulan el sistema fisiológico de la coagulación. Estas sustancias se han empleado como hemostásicos en diferentes cirugías (abdominal, urológica, torácica) y como aerostáticos en las resecciones pulmonares y neumotórax7. Sin embargo, en la bibliografía hay escasas referencias sobre su empleo en el quilotórax, aunque, en teoría, su mecanismo de actuación podría servir8.
Otros autores también han tratado el quilotórax por videotoracoscopia, y han realizado pleurodesis con talco con resultados satisfactorios9. En nuestro caso, optamos por este último procedimiento mediante pleurodesis con talco utilizado en nuestro servicio como tratamiento de los derrames pleurales malignos, por los buenos resultados en ciertas series9,10, y en los neumotórax espontáneos, por su escasa repercusión sistémica (fiebre y dolor torácico ocasionalmente). La videotoracoscopia es una intervención menos radical que la toracotomía y la realizamos con anestesia local y sedación. Las 2 toracoscopias se realizaron de modo secuencial y metacrónico con un intervalo de 6 días. La primera intervención fue en el hemitórax derecho, ya que en caso de fracaso se podría plantear la toracotomía derecha para la ligadura del conducto torácico. Tras el buen resultado, se practicó en un segundo tiempo la intervención en el hemitórax contralateral con igual eficacia. El talco es el agente más eficaz en la pleurodesis y un inconveniente en gente joven, y con enfermedad benigna puede ser la mayor dificultad en la liberación pulmonar en una futura toracotomía por la sínfisis pleural que provoca, por lo que es necesario un despegamiento más meticuloso, aunque la morbilidad postoperatoria no es excesivamente mayor en nuestra experiencia, y tras varias décadas de uso en los neumotórax no se han descrito procesos patológicos relacionados con el talco.
El quilotórax es una entidad poco frecuente y esto hace que las controversias de las técnicas quirúrgicas a emplear sean difíciles de unificar. Cada cirujano debe elegir, tras el fracaso del tratamiento conservador, la técnica quirúrgica con la que más familiarizado esté y más eficaz le resulte, según su experiencia.
Ante el fracaso del tratamiento conservador en un quilotórax bilateral posparto, nosotros consideramos como opción eficaz la pleurodesis videotoracoscópica bilateral con talco.
Correspondencia:
Dr. A.F. Honguero.
Correo elecrónico: tonyhonguero@yahoo.es
Manuscrito recibido el 12-9-2005 y aceptado el 20-10-2005.






