La resección de las metástasis hepáticas (MH) de cáncer colorrectal incrementa la supervivencia, pudiendo alcanzarse cifras del 50% a los 5 años1–4. El gran problema es que solo un 20-25% de las MH son inicialmente resecables, habitualmente debido a un futuro volumen remanente hepático insuficiente4–8. En pacientes con MH inicialmente no resecables existen varias estrategias para incrementar la resecabilidad: partición in situ, quimioterapia neoadyuvante, combinación de cirugía y radiofrecuencia y la cirugía en 2 tiempos (two-stage [TS]) combinada con embolización portal ideada por Adam et al.1,4–8.
En el primer tiempo del TS las metástasis localizadas en el futuro remanente, habitualmente el hígado izquierdo, son resecadas1,5–9. Tras una embolización o ligadura portal se realiza una segunda cirugía efectuando hepatectomía mayor del lóbulo embolizado1,5–8. Habitualmente los TS se han realizado mediante abordaje laparotómico. Presentamos nuestra experiencia en abordaje laparoscópico del primer tiempo del TS.
Presentamos los resultados de los pacientes intervenidos con una estrategia TS en los que se haya realizado el primer tiempo por abordaje laparoscópico en el periodo comprendido entre enero de 2007 y diciembre de 2012. Se han intervenido 57 pacientes con MH, y 6 de ellos fueron intervenidos mediante una estrategia TS (10,5%). Todos eran pacientes con MH sincrónicas bilobares en los que tras volumetría en la TAC no había remanente suficiente para hacer cirugía hepática en un solo tiempo (<30%).
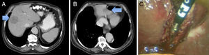
En 3 pacientes el primer tiempo de la cirugía fue realizado por abordaje laparoscópico. En los otros 3 pacientes fue realizado mediante laparotomía por la localización anatómica de las MH. Las características clínicas de los pacientes intervenidos por laparoscopia se presentan en la tabla 1. Todas las resecciones hepáticas fueron realizadas en posición de litotomía Trendelemburg invertido 20°. El abordaje fue mediante 3 trocares, uno de 5mm en el hipocondrio derecho, uno de 11mm en el ombligo y uno de 12mm en el hipocondrio izquierdo. Las cirugías realizadas fueron: 2 resecciones limitadas y una seccionectomía lateral izquierda parcial (fig. 1). Posteriormente se añadieron 2 trocares para efectuar la cirugía colorrectal.
Características clínicas de los pacientes intervenidos por laparoscopia
| Edad | Sexo | Tumor colon | pTpNpM | Número total MH | Tipo cirugía | Cirugía 1.ertiempo | Cirugía hepática | Tamaño pieza (cm) | Tamaño lesión (cm) | Peso (g) | Margen mm) | Morb. | Estancia |
|---|---|---|---|---|---|---|---|---|---|---|---|---|---|
| 53 | Varón | Recto | pT3pN2pM1 | 6: 2 izq+4 dcha | Inversa | Hepática | Wedge | 3,5×2,0×2,0 | 1,5/1 | 38 | 5mm | No | 2 |
| 62 | Mujer | Recto | pT3pN2pM1 | 7: 2 izq+5 dcha | Combinada | Hepática+colon (RA) | Wedge | 4,5×2,5×1,8 | 1,5/1,1 | 12 | 5mm | No | 5 |
| 68 | Varón | Ángulo esplénico | pT3pN1pM1 | 6: 2 izq+4 dcha | Combinada | Hepática+colon (hemi. izqda) | Resección parcial seg. 2 y 3 | 11×5 ×7 | 2/0,7 | 172 | 7mm | No | 6 |
dcha: derecha; izq: izquierda; MH: metástasis hepática.
En 2 pacientes se efectuó cirugía laparoscópica de la tumoración colorrectal combinada con la resección hepática laparoscópica (resección anterior y hemicolectomía izquierda) y en el tercero, que comenzó con un cuadro oclusivo por neoplasia rectal, se colocó una prótesis autoexpandible realizando cirugía inversa. La morbilidad fue del 0%. La estancia fue de 2 días en el paciente al que se le realizó únicamente cirugía hepática, y de 5 y 6 días en los que se combinó con resección laparoscópica de colon. En los 3 pacientes a los 10 días se les realizó la embolización portal percutánea y hepatectomía derecha laparotómica al mes. En el segundo tiempo el número de adherencias intraabdominales era mínimo y la disección hiliar fue dificultosa.
Se ha demostrado que en las hepatectomías laparoscópicas efectuadas en lesiones malignas hay menor sangrado, menor estancia, menos complicaciones y se obtiene mejor calidad de vida, con la misma eficiencia y seguridad oncológica que en las efectuadas por laparotomía1,3,4,10.
Existen muy pocos casos publicados de TS total/parcialmente laparoscópicos. Machado et al. y Jain et al. publican casi simultáneamente en 2010 un TS totalmente laparoscópico1,4. Posteriormente, en 2012, Robles et al. publican otros 2 TS más totalmente laparoscópicos8. La experiencia más larga comunicada es una serie de 8 TS parciales/totalmente laparoscópicos, 5 con un primer tiempo laparoscópico y un segundo laparotómico, una conversión a laparotomía y solo otros 2 casos totalmente laparoscópicos6.
El primer tiempo del TS se puede efectuar habitualmente por abordaje laparoscópico, ya que suele ser una hepatectomía menor del hígado izquierdo asociado o no a cirugía de colon y/o a la ligadura portal derecha2,6,11. La ligadura portal derecha laparoscópica, aunque factible y con buenos resultados, se ha realizado en pocos pacientes2. Las ventajas que aporta el primer tiempo laparoscópico son: disminución de las adherencias no en el hilio pero sí intraabdominales, correcta estadificación, menos dolor y estancia hospitalaria, rápida recuperación y mantener la integridad de la pared abdominal1,6,9. La segunda parte del TS (hepatectomía mayor) puede realizarse por abordaje laparoscópico o laparotómico, pero la realización de hepatectomías mayores requiere una alta destreza técnica, por lo que aún no se han popularizado3,6.
Otro punto de debate es la cirugía combinada laparoscópica hepática y colorrectal. Clásicamente, en los pacientes con MH sincrónicas no se efectuaba cirugía combinada, ya que se afirmaba que tenía mayor morbimortalidad que la secuencial, especialmente en tumores rectales o hepatectomías mayores8,9. La cirugía secuencial también presenta inconvenientes: mayor estancia, 2 anestesias, demora en la quimioterapia, etc.9. Múltiples series han demostrado que la cirugía combinada y la secuencial obtienen resultados similares. Además, en los pacientes que se realiza TS, si no se hace cirugía combinada se necesitan 3 cirugías5. En 2010 Karoui et al. publican una serie de 33 pacientes de cirugía combinada exclusivamente TS con buenos resultados (morbilidad del 21% y mortalidad del 0%)5,8,9. El abordaje laparoscópico combinado del tumor colorrectal y MH tiene ciertas ventajas (acceso más sencillo a ambas regiones intraabdominales, preservación de la pared abdominal, recuperación postoperatoria, estancia, estadificación...), sin incremento de la morbimortalidad y con menor estancia hospitalaria, pero no se ha popularizado5,8–10.
En conclusión, el abordaje laparoscópico del primer tiempo del TS es factible y aporta ciertos beneficios. La realización combinada de cirugía de colon y hepatectomías menores por vía laparoscopia es segura y también tiene ciertas ventajas.






