La sarcoidosis es un proceso inflamatorio granulomatoso crónico de etiología desconocida que puede desarrollarse en cualquier órgano del cuerpo1. La afectación gastrointestinal ocurre en menos del 1% de pacientes con diagnóstico de sarcoidosis, siendo la localización pancreática inusual2. La clínica por la infiltración pancreática puede confundirse con episodios de pancreatitis o carcinoma pancreático y su diagnóstico preoperatorio es complicado1,2. Presentamos un caso de una masa pancreática sin claro diagnóstico preoperatorio con resultado final de sarcoidosis pancreática.
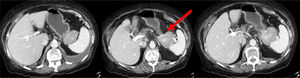
Mujer de 78 años con alergia a antiinflamatorios no esteroideos y antecedentes de hipertensión arterial, diabetes mellitus tipo 2 y fibrilación auricular. Consulta por dolor abdominal creciente de 3 meses de evolución localizado en epigastrio e hipocondrio izquierdo, que no cede con analgesia habitual, asociando anorexia, náuseas, vómitos y pérdida de peso de 4kg. Analítica sin alteraciones relevantes. La TC toracoabdominal muestra, como único hallazgo, una lesión de 60mm sólida y vascularizada en fase portal, entre curvatura mayor gástrica e hilio esplénico, al que desplaza sin infiltrar. La lesión presenta pequeñas adenopatías satélites y pericelíacas. Los hallazgos indican un posible tumor estromal (GIST) sin descartar dependencia del páncreas (fig. 1). Se realiza punción ecoendoscópica, evidenciándose tejido linfoide con agregados de histiocitos epiteliodes, CD68+ y marcadores GIST negativos (reacción inflamatoria crónica con granulomas histiocitarios no caseificantes). Ante la duda diagnóstica, la clínica de la paciente y la imposibilidad de descartar malignidad se decide intervención tras presentar el caso en comité multidisciplinar, accediéndose mediante abordaje laparoscópico y convirtiendo a laparotomía subcostal bilateral por inestabilidad hemodinámica y episodios de taquicardia ventricular sostenida, objetivándose un infiltrado difuso granulomatoso retroperitoneal y ascitis de 3,5l. Se toman biopsias intraoperatorias peritoneales negativas para malignidad, informadas como tejido fibroconectivo con inflamación crónica, linfoide y presencia de granulomas con células gigantes multinucleadas. Se realiza pancreatectomía corporocaudal y esplenectomía. Postoperatorio en UCI precisando fármacos vasoactivos y perfusión de amiodarona por episodio de fibrilación auricular. Evolución favorable siendo alta a planta al tercer día postoperatorio y domiciliaria al séptimo día sin más incidencias (Clavien-Dindo IVa). La histología mostró una tumoración lisa de 60×50mm, dependiente del páncreas y con foco de calcificación intratumoral. Microscópicamente se observan ganglios linfáticos peripancreáticos con granulomas ricos en células epitelioides, células gigantes multinucleadas e inflamación crónica sin necrosis. La morfología de la lesión indica sarcoidosis (fig. 2). La ampliación diagnóstica del estudio histoquímico de bacilos ácido-alcohol resistentes (Ziehl-Neelsen y Fite-Faraco), fueron ambos negativos, confirmando el diagnóstico final de sarcoidosis. Seguimiento posterior en consulta favorable, sin complicaciones quirúrgicas ni endocrinometabólicas.
La sarcoidosis es una enfermedad granulomatosa crónica de causa desconocida caracterizada por granulomas no caseosos epitelioides con acumulación de linfocitos T y fagocitos mononucleares. Puede manifestarse de forma sistémica o con afección de órganos específicos: pulmón, ganglios linfáticos, ojos, piel, sistema nervioso y corazón. En 1937, Nickerson publicó el primer caso de afectación pancreática tras la autopsia de un paciente con sarcoidosis sistémica3. La localización pancreática en la sarcoidosis es infrecuente, estimándose en un 1-4% de los pacientes con sarcoidosis sistémica sometidos a autopsia tras su fallecimiento, con cifras ligeramente superiores en mujeres de raza negra de 50-70 años. Se han descrito menos de 50 de casos con afectación exclusivamente pancreática en pacientes vivos4,5. La afectación pancreática sintomática es inusual y normalmente es debida a infiltración del parénquima o afectación ductal, produciendo cuadros clínicos de pancreatitis aguda, ictericia obstructiva y alteraciones bioquímicas hepáticas1,2,5. La presentación es variada, abarcando desde simples procesos inflamatorios o una lesión nodular hasta una masa pancreática, que en ocasiones pudiera enmascarar un carcinoma pancreático6. En más del 50% localizadas en cabeza pancreática con existencia de adenopatías abdominales7.
Pese a no tener diagnóstico histopatológico de certeza preoperatorio, la realización de TC, PET/TC o RMN abdominales, asociando a PAAF ecoguiada ayudan a orientar el diagnóstico1,2,8. Analíticamente, existe la posibilidad de presentar hiperbilirrubinemia con componente directo, elevación de amilasa, lipasa e hipercalcemia por aumento de calcitriol en los macrófagos del granuloma sarcoideo y por aumento de la proteína relacionada con la PTH, que favorece la conversión de la vitamina D en calcitriol activo9. Debido al diagnóstico diferencial con neoplasias pancreáticas, muchos pacientes obtienen el diagnóstico definitivo tras la cirugía1,2. Los granulomas no caseificantes pueden encontrarse en pacientes con neoplasias malignas tipo linfomas y carcinomas, representando una reacción inmune a algún antígeno tumoral9.
Si bien existe controversia en cuanto al tratamiento, la corticoterapia a largo plazo es el tratamiento de elección, produciendo mejoría bioquímica y reducción del tamaño de la masa tumoral sin mejorar la fibrosis. Es recomendable el empleo de corticoides asociados a ácido ursodesoxiólico en casos sintomáticos con marcada colestasis y/o alto riesgo de desarrollar complicaciones hepáticas10. El procedimiento quirúrgico se reserva para pacientes que presentan importante masa intraabdominal con afectación de órganos críticos, con clínica y repercusión sistémica asociada1,2. La afectación histológica aislada no obliga al inicio del tratamiento y los pacientes asintomáticos pueden ser observados.
Con todo ello, la sarcoidosis pancreática, aunque rara e infrecuente, ha de considerarse como potencial diagnóstico diferencial ante el hallazgo de masa pancreática. La valoración de este tipo de casos excepcionales en centros de referencia y por comités multidisciplinares puede evitar errores diagnósticos y tratamientos innecesarios.






