Introducción
El traumatismo duodenal es una rara entidad, sobre todo por la localización retroperitoneal de éste. Todavía resulta más excepcional que este traumatismo afecte a un divertículo, lo cual hace que apenas haya casos descritos en la literatura médica. La sintomatología y la analítica suelen ser inespecíficas, por lo que el apoyo diagnóstico fundamental lo obtenemos con los estudios radiológicos. Presentamos el caso de un paciente que presentó una perforación (estallido) de divertículo duodenal (DD) después de una caída accidental.
Caso clínico
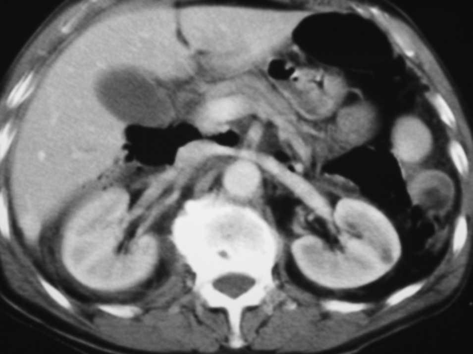
Varón de 73 años, que vive en un ambiente rural, sin alergias medicamentosas conocidas ni antecedentes clínicos de interés. Acude al servicio de urgencias con un dolor abdominal difuso, bastante intenso, tras haber tenido una caída accidental por las escaleras varias horas antes. A la exploración presentó un abdomen ligeramente peritonítico, doloroso, no distendido y sin hematomas visibles. La exploración neurológica, torácica y de las extremidades no reveló alteración alguna. En la analítica sólo destaca leucocitosis (13.500/μl) y el resto es normal. La radiografía abdominal mostró aire extraluminal en la zona superior derecha, y en la tomografía computarizada (TC) se confirma un neumoretroperitoneo (fig. 1), por lo que se procede a realizar una serie gastrointestinal con contraste hidrosoluble oral que demostró la existencia de varios divertículos a nivel de segunda y tercera porciones duodenales, con la extravasación de contraste en uno de ellos (fig. 2).
Fig. 1. Tomografía computarizada: se observa neumorretroperitoneo en la zona abdominal alta.
Fig. 2. Serie gastrointestinal: extravasación de contraste en uno de los divertículos duodenales.
El paciente fue intervenido de urgencia y se halló un divertículo roto en la segunda porción duodenal, por lo que se realizó diverticulectomía y sutura duodenal, con lavado abundante de la zona y colocación de drenaje. La evolución fue lenta, con exudado purulento mantenido y derrame pleural, y finalmente se resolvió de forma satisfactoria.
Discusión
Las lesiones traumáticas del duodeno son infrecuentes, ya que sólo representan el 4% de las lesiones abdominales. Su localización retroperitoneal desempeña un papel importante en la protección de este órgano frente a un traumatismo. Por otra parte, las lesiones duodenales no suelen ser aisladas, ya que a menudo se presentan de forma concomitante con lesiones de otras vísceras y estructuras vasculares mayores.
La región duodenal más afectada en un traumatismo es la segunda porción, seguida de la tercera y la cuarta.
Se producen más traumas penetrantes que contusos, y en éstos el mecanismo lesional es bastante más complejo. Generalmente hay 3 formas: a) primero, por una fuerza directa en la pared abdominal que se transmite al duodeno, el cual es proyectado contra la columna vertebral rígida (p. ej., en un accidente de tráfico con el volante impactado en el mesogastrio); b) segundo, por movimientos de aceleración y desaceleración en los que las porciones móviles cizallan respecto a las porciones fijas de esta víscera (esto puede ocurrir en caídas de grandes alturas), y c) por último, estallidos duodenales cuando se produce el cierre simultáneo del píloro y la cuarta porción duodenal en el ligamento de Treitz, por lo que se crea un segmento de víscera hueca cerrado1.
El DD es una anormalidad anatómica común. El colon ocupa el primer lugar, y el duodeno es la segunda localización más habitual donde hallamos divertículos intestinales: se encuentran hasta en un 5% de los pacientes en series de revisiones radiológicas con estudios baritados.
Lo más frecuente es que sea un hallazgo casual, ya que la mayoría de DD son asintomáticos, pequeños (menos de 5 cm de diámetro), adquiridos (los descritos en gente joven sugieren una etiología congénita), falsos y extraluminales. Un 70% de éstos se localiza en la proximidad o alrededor de la ampolla de Vater2,3. Entre las complicaciones pueden ocurrir hemorragia, diverticulitis, formación de bezoar, obstrucción, perforación, pancreatitis, compresión extrínseca de los conductos biliares con colelitiasis, colangitis, etc. La perforación espontánea es una de las complicaciones más raras, y resulta excepcional cuando esa perforación ocurre después de un traumatismo4,5.
El diagnóstico preoperatorio de un DD sintomático es dificultoso. Las técnicas de imagen radiológica pueden desempeñar un papel clave en este diagnóstico, ya que tanto la clínica (anodina, dolor en mesogastrio, peritonitis, etc.) como los datos de laboratorio (leucocitosis, amilasemia, etc.) son inespecíficos6. La radiografía simple abdominal puede darnos imágenes de sospecha: aire retroperitoneal, neumoperitoneo, aire en árbol biliar, obliteración de la silueta del psoas, fracturas/escoliosis de columna lumbar. La serie gastrointestinal puede revelar el hallazgo de divertículos y el lugar de la perforación, en caso de que exista. Deberá utilizarse contraste hidrosoluble dado por boca o a través de sonda nasogástrica de forma lenta. Solamente podría plantearse el uso de bario si con el contraste hidrosoluble no observamos perforación y, además, el paciente no está peritonítico. El aspecto típico descrito en la TC es de una colección más o menos redondeada de aire, con o sin líquido o contraste. Más raramente se observan burbujas de gas mezcladas con contenido intestinal, similar a cuando existe dilatación de intestino delgado por causa obstructiva7. La laparotomía exploradora es el último recurso para establecer el diagnóstico si a través de las pruebas anteriores no se descarta la lesión.
En cuanto al tratamiento de los DD, no está indicado realizar actuación alguna si el hallazgo es casual (asintomáticos). En los casos sintomáticos, a los divertículos extraluminales se les da solución quirúrgica, mientras que en los intraluminales se puede optar por la endoscopia (exéresis, realizada por endoscopistas expertos) o por la cirugía8. Sólo en el caso de pacientes de alto riesgo quirúrgico que estén en condiciones muy estables está justificado un tratamiento conservador, y es necesaria la cirugía definitiva si los síntomas persisten o se presenta alguna complicación9,10.
En la perforación de los DD por causa traumática, como el caso que hemos presentado, se establece la necesidad de realizar una intervención quirúrgica y evaluar la lesión y el estado de la zona a su alrededor. En general, se utilizan técnicas simples, como diverticulectomía más duodenorrafia, desbridamiento, lavado abundante y drenaje.
La incidencia de morbilidad es muy alta, y sobre todo destaca la infección/absceso de la zona y, de modo menos frecuente, la formación de fístulas duodenales. Sin embargo, la tasa de mortalidad es baja y está relacionada con el retraso en el diagnóstico y el tratamiento y con las complicaciones posteriores.
Correspondencia: Dra. M.J. Valenzuela Martínez.
Servicio de Cirugía General y Aparato Digestivo.
Hospital Comarcal de Alcañiz.
Avda. Dr. Repollés, 2. 44600 Alcañiz. Teruel. España.
Correo electrónico: mjvalenzuelam@hotmail.com
Manuscrito recibido el 26-4-2005 y aceptado el 12-9-2005.






