Los drenajes ventriculoperitoneales son de uso frecuente para el tratamiento de las hidrocefalias y otros trastornos cerebrales que requieren la eliminación de líquido cefalorraquídeo. En ocasiones se han realizado derivaciones ventriculoauriculares que comportan una mayor morbimortalidad; la derivación ventriculoperitoneal es la más común, segura y con una menor tasa de complicaciones.
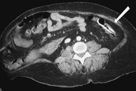
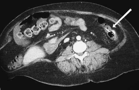
Presentamos el caso de una paciente de 39 años, portadora de una válvula de derivación ventriculoperitoneal por una hidrocefalia normotensiva, que presentó un cuadro de dolor abdominal progresivo, de 24 horas de evolución. La paciente refería cefalea y, en la exploración, presentaba dolor en el hipocondrio y el flanco izquierdo. La analítica evidenció leucocitosis con desviación izquierda. Una tomografía computarizada mostró el catéter situado en la luz del colon, así como peritonitis local con infiltración de la grasa pericolónica (figs. 1 y 2). Se instauró tratamiento antibiótico de amplio espectro y se decidió retirar el catéter de derivación ventriculoperitoneal, y colocar un drenaje externo. La paciente evolucionó satisfactoriamente, y se reimplantó una nueva válvula y un catéter de derivación ventriculoperitoneal.
Fig. 1. Imagen de tomografía computarizada donde se visualiza catéter intraluminal con infiltración de grasa pericolónica.
Fig.2.Corte de tomografía computarizada en el que se observa el catéter dentro de la luz del colon.
Las complicaciones de los catéteres de derivación ventriculoperitoneales son infrecuentes, y las intestinales, aún menos frecuentes. Entre ellas destacan la perforación intestinal y la oclusión. La peritonitis suele acompañar el cuadro clínico y cabe la posibilidad de presentar una ventriculitis por infección ascendente del catéter1.Se han descrito algunos casos de extrusión del catéter por el recto, así como algún caso de perforación intestinal2-5. El manejo suele requerir el recambio valvular y la cobertura antibiótica de amplio espectro. Aunque las complicaciones de las válvulas de derivación ventriculoperitoneales son raras, se debe tenerlas en cuenta en pacientes portadores con una clínica de dolor abdominal y peritonitis localizada.
Correspondencia: Dr. R. Vilallonga. Servicio de Cirugía General. Hospital Vall d’Hebron. Pg. de la Vall d’Hebron, 119-129. 08035 Barcelona. España. Correo electrónico: vilallongapuy@hotmail.com Manuscrito recibido el 20-3-2007 y aceptado el 17-4-2007.






