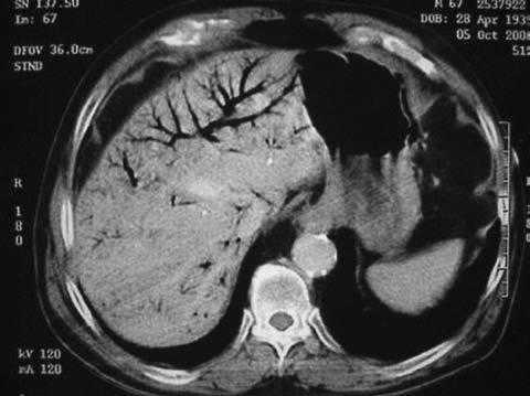
La isquemia mesentérica no oclusiva es una complicación grave con una importante morbilidad en los pacientes sometidos a programas de hemodiálisis1. Presentamos el caso clínico de un varón de 76 años sometido a un programa de diálisis desde hacía 5 años que acudió a urgencias por presentar tras diálisis un importante dolor abdominal difuso de 4 h de evolución; presión arterial, 80/43 mmHg; pulso cardíaco, 115, y temperatura, 37,3 °C; la exploración física reveló claros signos de irritación peritoneal. Se realiza una tomografía computarizada abdominal que muestra gas en las venas porta y mesentérica superior sin neumatosis intestinal (fig. 1). Con la sospecha de necrosis intestinal se realiza una laparotomía media exploradora en la que sólo se observa dilatación del intestino delgado y una pequeña cantidad de líquido ascítico claro en la pelvis, con el pulso de las arterias mesentéricas palpable, sin necrosis ni perforación intestinal.
Fig.1.Tomografía computarizada de un paciente de 76 años que presenta neumatosis portal tras una sesión de hemodiálisis.
Las causas por las que un paciente sometido a un programa de hemodiálisis sufre una isquemia mesentérica no oclusiva son la hipotensión, la hipovolemia y la vasoconstricción mesentérica asociada a arteriosclerosis. El daño mucoso es una consecuencia inevitable de las isquemias mesentéricas no oclusivas, lo que produce una importante alteración de la pared de los vasos mucosos y del tejido que los rodea, que impide su colapso y facilita la entrada de aire en la circulación venosa portal2.Por otra parte, los pacientes con insuficiencia renal crónica, especialmente los diabéticos, tienen un riesgo incrementado de infecciones producidas por bacterias formadoras de gas, como Escherichia coliy Clostridium;por lo tanto, hay una alteración en la mucosa intestinal y un intestino dilatado por la tensión del gas producido, y todo ello conlleva una entrada de gas en la vena porta a través de los vasos mesentéricos3. Nuestro paciente tiene una larga historia de diabetes con una marcada arteriosclerosis de las arterias intraabdominales, durante el último tratamiento con hemodiálisis se hipotensa durante un tiempo prolongado, lo que produce un episodio de isquemia mesentérica no oclusiva con neumatosis portal que desaparece rápidamente una vez que se corrigen los factores desencadenantes, ello indica que su presencia en un paciente sometido a un programa de hemodiálisis no es un predictor de mortalidad ni imperativo de cirugía, a diferencia de los hallazgos clínicos individuales en cada paciente.
Correspondencia: Dr. F.J. González Rodríguez. Servicio de Cirugía General y del Aparato Digestivo. Hospital Clínico Universitario. Santiago de Compostela. Arzúa, 8. 15704. Santiago de Compostela. A Coruña. España. Correo electrónico: fran.padroso@gmail.com
Manuscrito recibido el 21-2-2007 y aceptado el 23-4-2007.





