Paciente de 51 años con antecedente de bypass gástrico por obesidad mórbida hace 10 años (pérdida ponderal: IMC: 44-27kg/m2).
Acudió a urgencias por dolor abdominal epigástrico de inicio súbito y náuseas sin vómito.
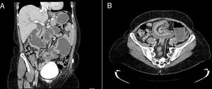
Analítica con colestasis y elevación de enzimas pancreáticas. Se realizó TC abdominal objetivando oclusión por invaginación yeyuno-yeyunal a nivel de pie de asa, dilatando de forma retrógrada el asa biliopancreática, vía biliar y remanente gástrico (fig. 1).
Intervenida por laparoscopia con resolución espontánea del cuadro (fig. 2), sin objetivar signos de isquemia ni hernias internas. Orificios mesentéricos cerrados correctamente.
Postoperatorio correcto.
Paciente asintomática tras 3 años de la intervención.






