Los pacientes con hernias gigantes con pérdida de domicilio requieren una adecuada planificación de la reparación quirúrgica, porque en la mayoría se asocia una elevada comorbilidad. La técnica del neumoperitoneo progresivo preoperatorio descrita por Goñi Moreno permite una adaptación más fisiológica del paciente y de la cavidad abdominal al reintegro de las vísceras al abdomen, lo que permite una reparación quirúrgica adecuada. El objetivo es analizar nuestra experiencia en el tratamiento de este tipo de hernias.
Materiales y métodosEstudio retrospectivo en que se analizan 11 pacientes portadores de grandes defectos de pared abdominal, con pérdida de domicilio, tratados mediante dicha técnica, en 2 centros entre los años 2005 y 2010.
ResultadosDel total, ocho pacientes presentaban eventraciones abdominales y los otros 3 tenían hernias inguinales. El tiempo medio de insuflación fue de 2 semanas y la cantidad total de aire varió entre 6,6 y 18 l. Dos pacientes presentaron descompensación de su enfermedad pulmonar y se debió posponer temporalmente la insuflación. Otros 2 presentaron enfisema subcutáneo durante los últimos días de insuflación, que se resolvió espontáneamente y sin secuelas. Se utilizaron técnicas de eventroplastia abierta con malla en los 8 casos de eventraciones y técnica preperitoneal para las hernias inguinoescrotales. En el seguimiento posterior se objetivó un caso de recidiva.
ConclusionesLa técnica de Goñi Moreno sigue siendo una técnica segura para preparar a los pacientes con hernias gigantes con pérdida de domicilio, pues consigue reducir la morbilidad ocasionada por la hiperpresión abdominal tras la reparación de la pared abdominal.
Patients with giant hernias with loss of domain require proper planning of surgical repair, because of the high associated comorbidity. The progressive preoperative pneumoperitoneum technique described by Goñi Moreno allows a more physiological adaptation of the patient and the abdominal cavity to the reinstatement of the viscera to the abdomen, enabling adequate surgical repair. The objective of this study was to analyze our experience in the treatment of this type of hernia.
Materials and methodsWe carried out a retrospective study that included 11 patients with major abdominal wall defects and loss of domain who were treated with this technique in 2 centers between 2005 and 2010.
ResultsEight patients had abdominal hernias and 3 had inguinal hernias. The average insufflation time was 2 weeks and the total amount of air was between 6.6 and 18 l. In 2 patients who showed pulmonary disease decompensation, insufflation had to be temporarily postponed. A further 2 patients had subcutaneous emphysema during the last few days of insufflation, which resolved spontaneously without sequelae. The open mesh repair technique was used in ventral hernias and the preperitoneal technique in all inguinal hernias. There was one recurrence during the 1-year follow-up.
ConclusionsGoñi Moreno's technique remains safe to prepare patients with giant hernias with loss of domain. This procedure can reduce the morbidity caused by the increase in abdominal pressure after abdominal wall repair.
Los pacientes con hernias gigantes con pérdida de domicilio tienen defectos crónicos de la pared abdominal, que van creciendo y alterando lenta y progresivamente la fisiología normal de la pared del abdomen y de todos sus sistemas adyacentes. La reparación de estos defectos puede conllevar varios problemas fisiopatológicos graves como el síndrome compartimental abdominal, producido al introducir súbitamente el contenido abdominal herniado en una cavidad que ya ha disminuido crónicamente de tamaño y no tiene espacio para albergar dicho contenido. Se produce entonces un compromiso respiratorio agudo secundario al aumento súbito de la presión intraabdominal. De ahí la importancia de una adecuada preparación, que favorezca la readaptación progresiva de todos los sistemas a la reintroducción del contenido visceral y a la reconstrucción de la pared abdominal1,2.
En 1940, Goñi Moreno1 publicó por primera vez la realización del neumoperitoneo progresivo preoperatorio para el tratamiento de las grandes hernias. Desde entonces, su técnica se ha ido modificando y mejorando poco a poco y es empleada actualmente en todo el mundo con buenos resultados2. Sin embargo, las series encontradas en la literatura son relativamente pequeñas todavía, haciendo que estos resultados sean difíciles de extrapolar a grandes poblaciones de pacientes.
El objetivo de este artículo es dar a conocer nuestra experiencia en la preparación de los pacientes con hernias gigantes con pérdida del domicilio, utilizando el neumoperitoneo progresivo preoperatorio.
Pacientes y métodosEntre el año 2005 y el 2010 fueron tratados en nuestros centros 11 pacientes que tenían defectos gigantes de la pared abdominal con pérdida de domicilio. De ellos, 8 eran hombres y 3 eran mujeres, con edad media de 63 años (52-86 años). Ocho pacientes tenían eventraciones abdominales y 3 presentaban hernias inguinoescrotales gigantes. El 90% del total de las hernias eran recidivadas y habían tenido complicaciones previas locales como infección o dehiscencia de la herida. La comorbilidad más importante encontrada en todos los pacientes fue la obesidad, con un índice de masa corporal (IMC) medio de 33,5 (30-42). Otras comorbilidades comunes fueron bronquitis crónica obstructiva, diabetes e hipertensión arterial.
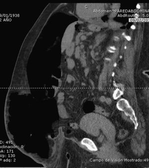
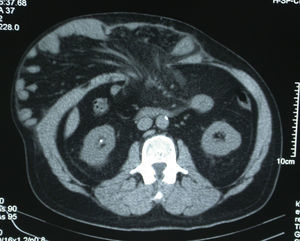
Se definió técnicamente una hernia o eventración abdominal con pérdida de domicilio como aquella en la cual más del 50% del contenido de la cavidad abdominal estuviera fuera de la misma (fig. 1). Esto fue determinado en casi todos los casos por la realización de una TAC abdominal preoperatoria (fig. 2). Una vez seleccionados los pacientes, se remitieron para valoración preanestésica y se programaron para ingreso hospitalario previo a la intervención quirúrgica.
La técnica consistió en la colocación inicial de un catéter dentro de la cavidad abdominal. Este procedimiento se realizó en el quirófano, bajo anestesia local y sedación, mediante la creación inicial de un pequeño neumoperitoneo con una aguja de Veress para colocar el catéter intraperitoneal (fig. 3); o bajo control radiológico por ECO o TAC. Todos los pacientes fueron ingresados previamente en el hospital y firmaron un consentimiento informado para la autorización del procedimiento del neumoperitoneo y de la intervención. Inmediatamente después de la colocación inicial del catéter, se inyectó la primera dosis de aire ambiente a través de un dispositivo con un filtro antibacteriano que fue utilizado diariamente para la insuflación (catéter de doble luz igual al usado en las punciones subclavias).
A 6 pacientes se les colocó el catéter para insuflación en quirófano. En los otros 5 pacientes se realizó la colocación del catéter bajo control ecográfico o por TAC. Se realizó una insuflación inicial de entre 0,5 y 1 l de aire ambiente, en función de la tolerancia del paciente. Las insuflaciones se llevaron a cabo durante un periodo medio de 15 días (8-24 días) introduciendo un volumen de entre 6,6 y 18 l de aire ambiente.
Durante la insuflación diaria, el paciente permaneció en decúbito supino en la cama y el procedimiento se monitorizó clínicamente, interrogando al paciente sobre la aparición de síntomas tales como dolor abdominal, dificultad respiratoria o sensación de náuseas. Se insuflaron diariamente entre 0,9 y 1,5 l de aire. Todos los pacientes permanecieron ingresados durante el procedimiento y recibieron terapia anticoagulante profiláctica.
Al cabo de 2 semanas de insuflación, se examinó la pared abdominal, evaluando la tensión que presentaba la musculatura en la parte lateral del abdomen, para constatar que esta se iba relajando adecuadamente. En algunos casos se realizó un control tomográfico del paciente (fig. 4), pero no de manera sistemática, ya que el seguimiento de la evolución fue principalmente clínico, considerando al paciente apto para la intervención cuando la musculatura lateral del abdomen se encontraba completamente distendida.
Posteriormente se procedió a la reparación quirúrgica, que fue planificada según la morfología del defecto de cada paciente. En todos los casos se realizó la colocación de un material protésico.
Se realizó eventroplastia abierta en 7 pacientes, colocando una malla de polipropileno en posición preaponeurótica (onlay) en 6 de los casos y una malla de sustitución intraperitoneal con refuerzo preaponeurótico (onlay) con malla bioabsorbible en un caso. Se realizó la técnica de separación de componentes (SAC) en 2 casos. La técnica de hernioplastia preperitoneal con malla de polipropileno fue utilizada en los 3 pacientes con hernia inguinoescrotal. En un caso se realizó la reparación herniaria por vía laparoscópica con malla de PTFE por presentar un saco gigante con contenido herniario de >50%, pero con un defecto de pared relativamente pequeño (<10cm).
Los pacientes permanecieron ingresados hasta tener buena tolerancia a la ingesta, adecuado control del dolor, estar sin drenajes y con la herida quirúrgica en tal estado que pudiera ser tratada de forma ambulatoria. El seguimiento postoperatorio se realizó a los 30 días, 3 meses, 6 meses y un año.
ResultadosLas complicaciones más importantes presentadas durante la realización del neumoperitoneo tuvieron relación con la descompensación de enfermedades pulmonares de base en 2 pacientes, en los cuales fue necesario posponer las insuflaciones durante un mes y 2 semanas respectivamente, para estabilizar primero la función respiratoria. Posteriormente, dichos pacientes pudieron ser intervenidos sin incidencias. Como complicación del procedimiento, 2 pacientes presentaron enfisema subcutáneo durante los últimos días de la insuflación, que fue resolviéndose espontáneamente y sin dejar secuelas. La principal complicación postoperatoria fue el seroma que se presentó en 10 pacientes y la dehiscencia de sutura, con necesidad de terapia VAC, en 4 pacientes (tabla 1).
| Sexo | Edad (años) | IMC | Comorbilidad | Defecto y tamaño (cm) | Neumoperitoneo | Intervención | Complicaciones |
| Hombre | 52 | 34 | HTA, neoplasia de próstata, artrosis | Hernia inguinal directa 15 × 10 | Catéter subclavio en quirófano | Hernioplastia/malla preperitoneal de Kugel | Seroma |
| Hombre | 53 | 30 | HTA, IRC, DM, transplante renal | Hernia umbilical recidivada 20 × 15 | Pig-tail guiado por ECO | Eventroplastia Chevrel/malla de polipropileno | No |
| Hombre | 56 | 32 | HTA, EPOC, DM, pancreatitis | Eventración subcostal 14 × 13 | Pig-tail guiado por ECO | Eventroplastia Judd/malla de polipropileno | Necrosis piel-terapia VAC |
| Hombre | 61 | 33 | HTA, peritonitis apendicular | Hernia inguinoescrotal 20 × 13 | Catéter subclavio en quirófano | Hernioplastia/malla preperitoneal | Seroma |
| Hombre | 61 | 31 | HTA; EPOC, HPB, hiperuricemia | Hernia epigástrica recidivada 10 × 6 | Catéter subclavio en quirófano | Eventroplastia laparoscópica con PTFE | No |
| Hombre | 64 | 31 | HTA, DM, DLP | Eventración línea media 14 × 14 | Pig-tail guiado por TAC | Malla de sustitución con lámina de celulosa y malla onlay absorbible | Seroma, infección de herida |
| Hombre | 65 | 34 | HTA, DLP | Hernia inguinoescrotal 10 × 15 | Catéter subclavio en quirófano | Hernioplastia/malla preperitoneal de Kugel | Seroma |
| Hombre | 70 | 30 | EPOC, HPB, diverticulosis | Eventración en línea media 15 × 15 | Catéter subclavio en quirófano | SAC/malla polipropileno onlay | Descompensación respiratoria, enfisema subcutáneo, seroma |
| Mujer | 55 | 34 | HTA, EPOC, DM, cardiopatía | Eventración en línea media 25 × 20 | Pig-tail guiado por ECO | Eventroplastia Judd/malla de polipropileno | Necrosis piel-terapia VAC |
| Mujer | 72 | 42 | HTA, EPOC, DM, cardiopatía | Eventración línea media 24 × 23 | Catéter subclavio en quirófano | Eventroplastia/malla polipropileno onlay | Seroma-tratamiento con urocinasa |
| Mujer | 86 | 38 | HTA, EPOC, DM, DLP, depresión | Eventración en línea media 14 × 13 | Pig-tail guiado por TAC | SAC/malla polipropileno onlay | Infección de herida-terapia VAC |
DLP: dislipidemia; DM: diabetes mellitus; ECO: ecografía; EPOC: enfermedad pulmonar obstructiva crónica; HPB: hiperplasia prostática benigna; HTA: hipertensión arterial; IMC: índice de masa corporal; IRC: insuficiencia renal crónica; PTFE: politetrafluoroetileno; SAC: separación anatómica de componentes; TAC: tomografía axial computarizada; VAC: vacuum assisted closure.
La estancia hospitalaria postoperatoria media fue de 17,7 días, con un rango entre 6 y 60 días. En el seguimiento posterior ambulatorio se registró solamente un caso de recidiva de la eventración a los 12 meses de la intervención.
DiscusiónLa complejidad de los pacientes con hernias gigantes de la pared abdominal ha obligado a comprender mejor la fisiopatología de la desadaptación de múltiples órganos y sistemas, por la ausencia de una cavidad abdominal funcional. Esta desadaptación puede conllevar diversas complicaciones (insuficiencia respiratoria, déficit de irrigación visceral abdominal, etc.) en el momento de realizar una corrección quirúrgica que comporte reintegrar el contenido dentro del abdomen y, a su vez, reconstruir la pared abdominal.
Durante muchos años se ha utilizado y mejorado la técnica del neumoperitoneo preoperatorio progresivo, descrita por Goñi Moreno en los años 401 para el tratamiento de estos pacientes. Si bien es cierto que su uso no ha sido del todo generalizado en la mayoría de hospitales, aquellos equipos de cirujanos especializados que han incorporado esta técnica en el tratamiento de enfermedades complejas de pared abdominal han reportado buenos resultados bajo un riesgo aceptable2–13.
Técnicamente, el procedimiento presenta en la actualidad algunas mejoras significativas, como por ejemplo la utilización de un catéter de doble luz, igual al usado en las punciones subclavias, para la insuflación del neumoperitoneo2,11 sin necesidad de hacer punciones cotidianas, como describía la técnica inicial, y con la ventaja de disminuir la incidencia de infecciones en el sitio de punción. En los casos más recientes hemos instaurado la utilización de un catéter de pig-tail, que cuenta además con un filtro antibacteriano. La colocación de un catéter bajo guía ecográfica ha reemplazado en nuestros casos más recientes el procedimiento que se realizaba anteriormente para colocar el catéter con una aguja de Veress2,3. Con respecto al neumoperitoneo, en nuestro caso usamos aire ambiente, pues el CO2 y el oxígeno que se utilizaban inicialmente en esta técnica1,8 presentaban una absorción 4 veces más rápida en el espacio intraperitoneal que el aire ambiente4.
Para controlar el volumen de insuflación, algunos autores realizan mediciones de la presión intraabdominal2,5,9. En nuestro caso, colocamos diariamente un volumen de aire que puede variar entre 0,9 y 1,5 l limitándonos a la tolerancia del paciente, según presentara alguna sintomatología de malestar, dolor o náuseas, lo cual se correlaciona directamente con el incremento de la presión abdominal1.
Algunos autores consideran que, tras la monitorización de la circunferencia abdominal y la función respiratoria del paciente, no existe un beneficio del neumoperitoneo más allá de los 6-10 días de insuflación4. En nuestra experiencia el promedio de días de insuflación fue de 15, con una variabilidad individual en función de la tolerancia de cada paciente.
El grupo de Goñi Moreno finaliza las insuflaciones cuando se palpan los flancos abdominales suficientemente relajados y prominentes1,4. Se considera, en general, que un paciente que no tolera adecuadamente la insuflación progresiva preoperatoria tampoco tolerará bien la reparación quirúrgica definitiva12.
Uno de los efectos adicionales del neumoperitoneo es el aumento de la longitud de los músculos rectos abdominales, determinado mediante mediciones topográficas por TAC6. Este aumento podría facilitar la reparación fascial en las hernias y eventraciones gigantes, con cierres de mínima tensión.
La mayoría de los estudios describen el uso del neumoperitoneo progresivo para la reparación de las eventraciones gigantes, sin embargo, en nuestra experiencia y en la de otros autores5,7,10, esta técnica también puede utilizarse para resolver las hernias inguinales y umbilicales gigantes, con buenos resultados. En todos los casos se aconseja utilizar material protésico4.
Las complicaciones descritas para esta técnica son principalmente locales, como el enfisema subcutáneo y las infecciones de pared abdominal. Las complicaciones graves son poco frecuentes y se relacionan con la enfermedad cardiopulmonar de base. En nuestra serie, encontramos una frecuencia de complicaciones similar a las descritas en la literatura, al igual que una tasa más baja de recidivas que en los cierres primarios4,5,13.
Aunque no existen evidencias concluyentes en la literatura para el tratamiento de los pacientes con enfermedad compleja de la pared abdominal, si nos remitimos a las series publicadas en los últimos 10 años2,3,5,7,12, parece que la técnica descrita puede ser usada en el ámbito hospitalario, de una manera segura, proporcionando mejores resultados quirúrgicos que las técnicas de reparación primarias.
ConclusionesTras nuestra experiencia en el uso del neumoperitoneo preoperatorio progresivo, consideramos que se trata de una técnica segura y fácil de realizar, que puede complementar las técnicas de eventroplastia complejas como la SAC, aportando ventajas en la preparación de los pacientes con grandes defectos de pared abdominal y obteniendo buenos resultados, en cuanto a la técnica operatoria y la adaptación multisistémica del paciente.
Con este artículo queremos sumarnos al esfuerzo de los diferentes grupos especializados en la pared abdominal, con el fin de aportar nuestra experiencia en el uso de esta técnica y así poder llegar a conclusiones cada vez más aplicables a la población general.
Conflicto de interesesLos autores declaran no tener ningún conflicto de intereses.
Parte de este trabajo ha sido presentada en el 32.° Congreso Internacional de la Sociedad Europea de la Hernia, en Estambul, Turquía, el 8 octubre de 2010.









