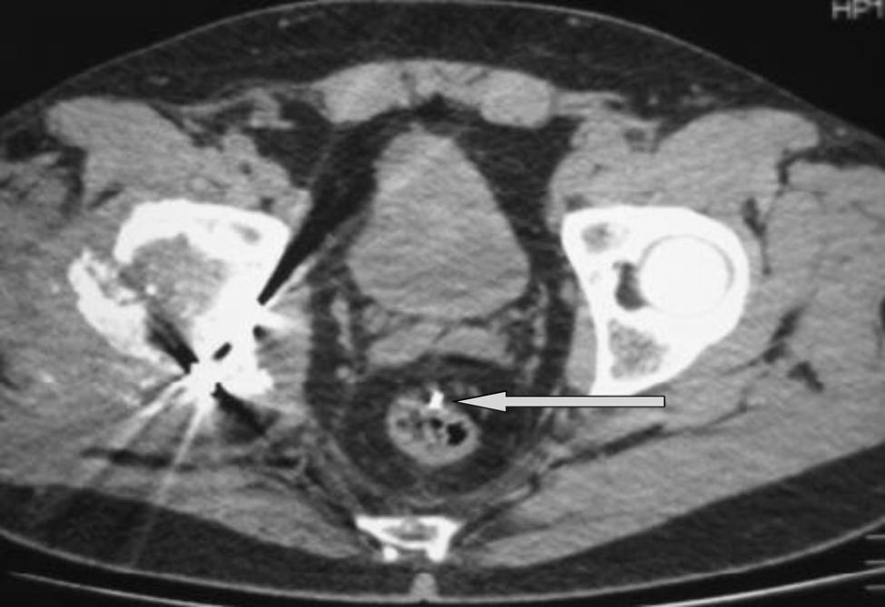
Paciente varón de 42 años acude a Urgencias por dolor anal a la defecación y dolor en la fosa ilíaca izquierda. Como antecedentes patológicos destaca una fractura de acetábulo con luxación de cadera derecha seis meses antes. Sobre dicha fractura se realizó una osteosíntesis con placa-tornillos y dos agujas de Kirschner (AK).
Se realiza una radiografía de abdomen y posteriormente una TC, diagnosticando la migración intraperitoneal a pelvis izquierda contralateral de la AK (fig. 1), en contacto con la pared del recto-sigma sin existir perforación (fig. 2).
Mediante una pequeña incisión de Pfannestield se procede a extracción de la AK sin incidencias.






