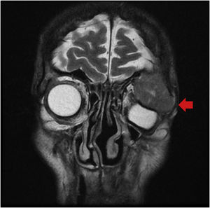
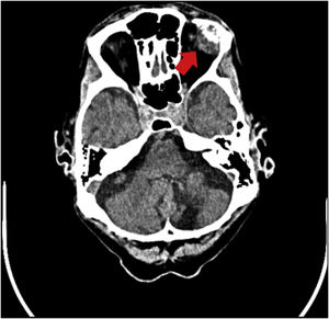
Paciente varón de 83 años sin antecedentes de interés que consulta por proptosis y diplopía en el ojo izquierdo de reciente comienzo. Se realiza tomografía craneal (fig. 1) y resonancia magnética (fig. 2) donde se objetiva masa heterogénea en la glándula lacrimal izquierda con invasión ósea del reborde orbitario supero-lateral. Se biopsia la lesión lacrimal descrita, evidenciándose datos compatibles con lesión metastásica de origen intestinal. Dados los hallazgos se realiza estudio de extensión, evidenciándose adenocarcinoma de recto superior avanzado (T3N2bM1c), asociado a metástasis hepáticas y óseas. Debido a lo avanzado de la enfermedad fue tratado con radioterapia paliativa orbitaria y quimioterapia paliativa.
FinanciaciónDeclaramos que para la elaboración de este artículo no hemos recibido financiación de agencias públicas de investigación ni de fundaciones privadas.






