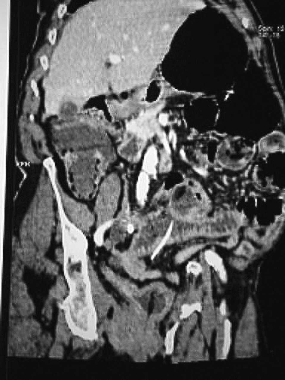
Mujer de 87 años, hipertensa, que consulta en urgencias por distensión abdominal y vómitos de 4 días de evolución. En la exploración física se aprecia un abdomen distendido y timpánico, doloroso a la palpación difusa, sin tumoraciones. La analítica mostraba 13.800 leucocitos/ml con neutrofilia. En la radiografía simple de abdomen se observaban asas de intestino delgado y colon dilatadas. Con la orientación diagnóstica de oclusión intestinal se realizó una tomografía computarizada (TC) abdominal con enema de gastrografín que mostró buen paso de contraste hasta el ángulo esplénico del colon. Ante la agravación del cuadro clínico se decidió realizar una intervención quirúrgica en la que se encontró una peritonitis localizada, secundaria a una doble perforación yeyunal por cuerpo extraño (fig. 1), por lo que se realizó una resección segmentaria de intestino delgado. Tras el hallazgo operatorio, se realizó una reconstrucción sagital de la TC que permitió la detección de ese cuerpo extraño (fig. 2).
Fig. 1.
Fig. 2.
En general, la ingestión de cuerpos extraños, voluntaria o accidental, cursa sin complicaciones, pero hasta en un 10 % de los casos se asocia a perforación intestinal. La realización de estudios radiológicos puede ser de gran ayuda para la identificación del cuerpo extraño, así como para identificar las posibles complicaciones. Sin embargo, pueden ser necesarias proyecciones poco comunes para detectar el agente causante.






