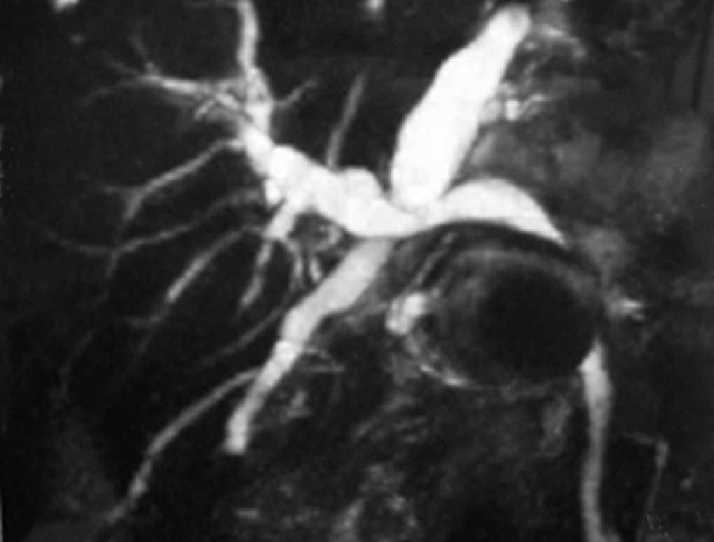
Mujer de 76 años que ingresa por cuadro clinicoanalítico de ictericia obstructiva de 15 días de evolución y fiebre > 38 °C en las últimas 48 h. Una colangiorresonancia magnética (fig. 1) evidencia un único cálculo vesicular que ocupa toda la vesícula, que comprime y obstruye el colédoco, y dilata la vía biliar. Intraoperatoriamente se comprueba una colelitiasis única de 5 x 3 cm enclavada en la porción infundibular de la vesícula, lo que da lugar a una fístula por decúbito colecistocoledociana con un orificio en el colédoco en su tercio medio de 1,5 cm (fig. 2). Se realiza colecistectomía, resección de 2,5 cm del colédoco y hepaticoyeyunostomía en "Y" de Roux.
Fig. 1.
Fig. 2.
El síndrome de Mirizzi tipo 2 se produce como consecuencia del enclavamiento de un cálculo en el infundíbulo o conducto cístico, que erosiona la pared del colédoco y produce una fístula colecistocoledociana. Cuando existe una afección mayor del colédoco, se puede optar por la colecistectomía, la resección de colédoco y la hepaticoyeyunostomía en "Y" de Roux.






