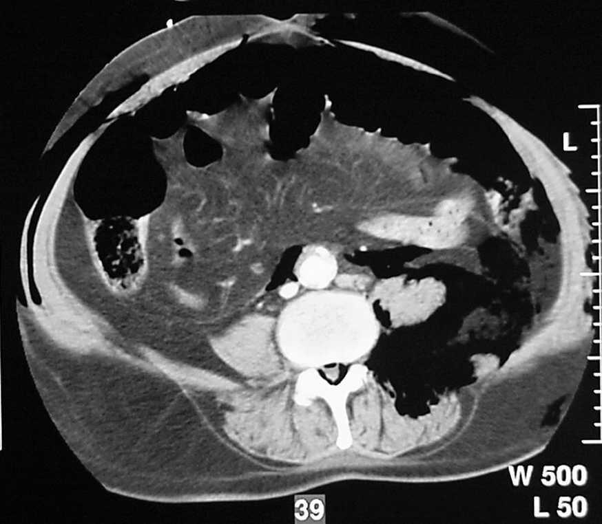
Paciente de 69 años, diabético de larga evolución con deficiente control de su glucemia y con arteriopatía periférica. A las 24 h de la amputación supracondílea del miembro inferior izquierdo debido a una isquemia crónica presentó un cuadro clínico de agitación psicomotriz importante, dolor intenso, fiebre, taquipnea, hipotensión y oligoanuria. En la exploración se observó edema, equimosis y crepitación desde la zona amputada hasta fosa ilíaca izquierda e incluso en el hipocondrio izquierdo, con un intenso olor fétido. En los datos de laboratorio destacaba: 44.100 leucocitos/ml (92% polimorfonucleares), hemoglobina 6,3 g/dl (descenso de 6 puntos en el hematócrito), creatincinasa 3.295 U y actividad de protrombina del 52%. Se realizó una tomografía computarizada urgente que mostró una tumefacción de partes blandas que afectaba a la totalidad del muslo izquierdo y al área genital, con la formación de bolsas de aire entre la fascia y los planos musculares (fig. 1) y presencia de aire en el espacio retroperitoneal izquierdo con desplazamiento anterior del riñón ipsolateral (fig. 2). Se practicaron varias incisiones de drenaje, con extirpación de tejidos necrosados y lavado de la zona con salida de exudado sanguinolento (se observaron gérmenes del género Clostridium en la visión directa). Ingresó en la unidad de cuidados intensivos y falleció 6 h después por shock séptico.
Fig. 1.
Fig. 2.
La gangrena gaseosa, en este caso con una evolución fulminante, es una enfermedad necrosante de partes blandas caracterizada por una amplia destrucción tisular. Es preciso sospechar su diagnóstico en presencia de un dolor súbito e intenso en la herida postoperatoria asociado con un aumento de la creatincinasa sérica.






