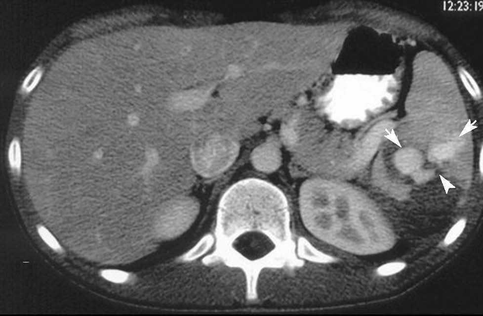
Fig. 1a.
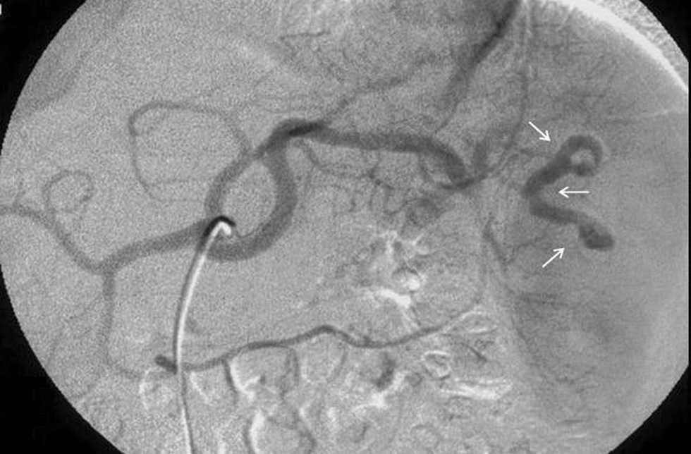
Fig 2.
Paciente varón de 16 años que, tras experimentar un accidente de moto, fue atendido por un dolor abdominal. La analítica demostró una disminución del hematocrito en un 35%. La tomografía computarizada (TC) en la primera hora del ingreso mostró una laceración esplénica y hemoperitoneo en cantidad moderada. La TC de control realizada a los 3 días reveló la presencia de contraste extravascular contenido en la lesión esplénica (cabezas de flecha en fig. 1), por lo que se estableció el diagnóstico de seudoaneurisma intraesplénico. En arteriografía se confirmó la presencia de un trayecto de depósito de contraste extravascular dependiente de una rama intraesplénica de la arteria esplénica (flechas en fig. 2), que fue selectivamente embolizada con éxito. El paciente evolucionó de manera adecuada y fue dado de alta sin complicaciones.
Hoy día se considera que el tratamiento conservador es de elección para pacientes con lesiones esplénicas secundarias a traumatismo cerrado que se mantienen hemodinámicamente estables, excepto, quizá, algún grupo de pacientes. El Departamento de Cirugía de la Universidad de Tennessee (Estados Unidos) ha propuesto un nuevo esquema de manejo diagnóstico-terapéutico. Se identificó a un grupo de pacientes que presentaban en la TC una colección intraparenquimatosa circunscrita de contraste, hiperdensa con respecto al parénquima esplénico circundante. Esta lesión se corresponde con un hematoma con flujo activo (por tanto, un falso aneurisma de alguna de las ramas intraparenquimatosas de la arteria esplénica) que tiende a crecer lentamente y en la mayoría de los casos acaba por romperse. Se ha demostrado que la vigilancia y la embolización selectiva de estos seudoaneurismas postraumáticos de la arteria esplénica mejoran la tasa de éxitos del tratamiento conservador de las lesiones traumáticas esplénicas. Cuando la embolización angiográfica no es posible o fracasa, el cirujano debe considerar la realización de una esplenectomía.






