Mujer de 69 años a la que en julio de 2002 se le practicó una colecistectomía laparoscópica por un cuadro de cólico biliar. En la ecografía preoperatoria se apreció una vesícula biliar normal y una litiasis única de 4 cm. El estudio histológico demostró la presencia de un adenocarcinoma moderadamente diferenciado de vesícula (CV), con afección de los perineuros e infiltración del ganglio cístico (T3N1M0). Se realizó poscolecistectomía, tomografía coputarizada (TC) y tomografía por emisión de positrones (TEP) que descartaron la presencia de otras metástasis.
En agosto de 2002 se realizaron una bisegmentectomía IVb-V, una linfadenectomía regional y la resección de los puertos de entrada. El informe histológico reveló la presencia de metástasis en 2 adenopatías localizadas en la zona aorto-cava (T3N2M0). La paciente rehusó recibir quimioterapia y se optó por las revisiones periódicas.
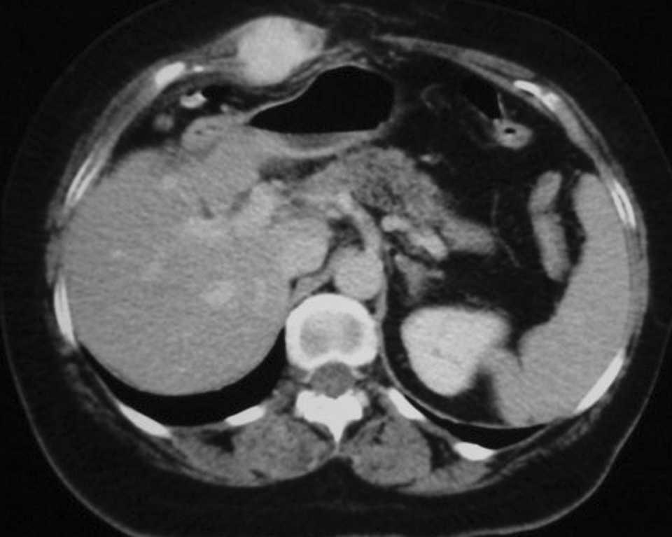
Fig. 1.
Fig. 2.
Fig. 3.
En agosto de 2003, la paciente acudió por molestias en la laparotomía. En la exploración se observaba una tumoración dura y dolorosa a la palpación. Se realizó una TC (fig. 1) en la que se observó un tumor extraperitoneal compatible con recidiva. Se practicó una pun-ción-aspiración con aguja fina, que reveló una metástasis de adenocarcinoma. La TEP mostró una área hipermetabólica en el epigastrio compatible con una recidiva única en la pared abdominal (fig. 2). Se realizó la exéresis de la lesión (fig. 3) y la colocación preperitoneal de malla de polipropileno. El estudio histológico reveló una metástasis de adenocarcinoma con márgenes libres de tumor.
La recidiva del CV suele producirse de forma temprana sin la presencia concomitante de enfermedad locorregional. El 14% de los pacientes intervenidos por CV presentan recidiva parietal a los 7 meses de media. La TEP puede ser útil para excluir una enfermedad diseminada que aconseje la abstención terapéutica.
Correspondencia: Dr. J.M. Ramia. Buensuceso, 6, 4D. 18002 Granada. España. Correo electrónico: jose_ramia@hotmail.com







