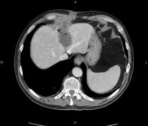
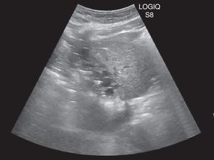
Varón de 70 años con antecedente de hidatidosis duodenal intervenida hace 30 años, que consulta por tumoración dolorosa en cicatriz de laparotomía. Durante una cura se abre espontáneamente y supura material seroso e hidátides. Una ecografía y una TC abdominal revelan una colección de contenido hipodenso en segmento hepático V, fistulizada a piel (figs. 1 y 2). Se explora quirúrgicamente la herida y se coloca drenaje multiperforado (fig. 3, flechas: hidatides). Se administra albendazol y se realizan lavados con suero salino hipertónico durante 2 semanas hasta la resolución clínico-radiológica del cuadro. El estudio microbiológico fue negativo y la anatomía patológica confirmó el diagnóstico de hidatidosis.
El factor de impacto mide la media del número de citaciones recibidas en un año por trabajos publicados en la publicación durante los dos años anteriores.
© Clarivate Analytics, Journal Citation Reports 2025
SJR es una prestigiosa métrica basada en la idea de que todas las citaciones no son iguales. SJR usa un algoritmo similar al page rank de Google; es una medida cuantitativa y cualitativa al impacto de una publicación.
Ver másSNIP permite comparar el impacto de revistas de diferentes campos temáticos, corrigiendo las diferencias en la probabilidad de ser citado que existe entre revistas de distintas materias.
Ver más






