Los hemotórax masivos postraumáticos son típicamente frecuentes después de traumatismos de gran energía, asociándose a lesiones abdominales o cerebrales. El traumatismo torácico más frecuente es la fractura costal, que puede asociarse a hemotórax, neumotórax o a ambos, según el número de fracturas o su intensidad1. Presentamos el caso de un hemotórax masivo que requirió tratamiento quirúrgico asociado a 2 fracturas costales simples en paciente con trombocitemia esencial (TE).
Paciente de 43 años, fumador habitual y diagnosticado de TE a los 30 años, sin tratamiento dada la ausencia de sintomatología y de factores de riesgo cardiovascular, con controles cada 6 meses, acude a urgencias por dolor costal, después de una caída sobre el hemitórax derecho durante un partido de fútbol. A su llegada al hospital el paciente presenta PA de 130/70 mmHg, FC de 65lpm y saturación de oxígeno del 98% basal. En la exploración física destaca la presencia de crepitación ósea a la altura de la parrilla costal derecha baja, la radiografía de tórax es normal. A las 48h el paciente consulta nuevamente a urgencias por aumento del dolor torácico asociado a dificultad respiratoria y empeoramiento del estado general. La PA fue de 90/60 mmHg, la FC de 105lpm y la saturación basal del 89%. La radiografía de tórax demuestra derrame pleural importante (fig. 1) y el estudio analítico muestra los siguientes valores: Hto del 26% Hb de 7 g/l, plaquetas de 657.000/mm3. Estudio de coagulación: normal.
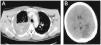
Inmediatamente se coloca drenaje torácico, se obtienen 1.500cm3 de sangre que presenta anemización progresiva a pesar de la transfusión de 4 concentrados de hematíes. La TC de tórax (fig. 2A) evidencia abundantes coágulos y sangre fresca sin hemorragia activa asociada a fracturas costales del 10.0 y 11.0 arco costal.
Después de varias toracocentesis sin obtener sangre y progresiva anemización (Hto 26%, Hb: 8 g/l, plaquetas 643.000/mm3), se realiza toracotomía posterior amiotómica y se evacuan abundantes coágulos observándose las fracturas costales desplazadas con hemorragia difusa a esa altura, sin lesiones pulmonares, diafragmáticas ni mediastínicas asociadas. Se procede a la evacuación de coágulos, costotomía de los extremos costales fracturados y hemostasia, se consigue la reexpansión pulmonar tras la colocación de 2 drenajes torácicos. A los 2 días presenta hemianopsia derecha con disartria por lo que se realizó TC craneal (fig. 2B) que demuestra infarto establecido de la arteria cerebral posterior izquierda. La ecografía de los troncos supraaórticos y la ecocardiografía son normales y se inicia tratamiento con 300mg de ácido acetilsalicílico.
A los 5 días se procedió a retirar los drenajes torácicos y el control radiológico es correcto. La recuperación neurológica es completa decidiéndose alta a domicilio con tratamiento antiagregante y control ambulatorio.
La incidencia de fracturas costales postraumáticas oscila entre el 7 y el 40%. Entre la 4.a y la 9.a costillas son las más frecuentemente fracturadas, asociándose a lesiones pleuropulmonares, la fractura de las primeras costillas se asocia a traumatismos de alta energía con posible lesión de grandes vasos, mientras que la fractura de costillas bajas (9.a a 12.a) se asocia frecuentemente a lesiones intrabdominales2,3.
La morbilidad y mortalidad asociada a las fracturas costales se incrementa en función del número de costillas fracturadas así como de la edad y el mecanismo de acción del traumatismo. La asociación entre fracturas costales y lesiones pleuropulmonares, como neumotórax, hemotórax o contusión pulmonar parece ser proporcional al número de fracturas costales3, aunque existen otros estudios que no identifican dicha relación2.
El tratamiento del hemotórax postraumático es, principalmente, mediante la colocación de drenaje torácico, siendo poco frecuente la necesidad de toracotomía de urgencia. La situación clínica del paciente, el débito del drenaje y la radiografía de tórax son claves para dicha indicación4.
La TE es un síndrome mieloproliferativo caracterizado por la presencia de un número elevado de plaquetas y por el hallazgo de megacariocitos aumentados a nivel de la médula ósea. Para el diagnóstico de la misma es imprescindible descartar cualquier causa reactiva de trombocitosis, a la vez que se debe descartar cualquier otro síndrome mieloproliferativo que pudiera asociar una cifra elevada de plaquetas. Dicha entidad es el síndrome mieloproliferativo más frecuente y aparece con una media de edad de 60 años. La TE confiere un riesgo aumentado de fenómenos trombóticos, tanto arteriales como venosos, a causa del elevado número de plaquetas a la vez que está también incrementado el riesgo de fenómenos hemorrágicos secundariamente al consumo plasmático de los multímeros del factor de Von Willebrand. Habitualmente, en la primera década tras el diagnóstico de dicha entidad, aparecen episodios trombóticos entre el 10 y el 50% de los pacientes mientras que los episodios hemorrágicos aparecen minoritariamente en un 4% de los pacientes, motivo por el que nuestro paciente contrastaría con lo que se observa habitualmente5.
En nuestro caso, la presencia de TE, asociada a un traumatismo torácico cerrado “menor”, entendiéndose como 2 fracturas costales simples, produjo una hemorragia masiva con inestabilidad hemodinámica y presencia de anemia aguda que obligó a toracotomía de urgencia, aunque es muy poco frecuente en fracturas costales simples sin hemorragia activa de vaso intercostal, por todo esto, ante pacientes con alteraciones hematológicas deben ser valorados repetidamente a pesar de lesiones mínimas o de poca intensidad.






