La incidencia de pólipos vesiculares es del 0,3-12%. Es importante diferenciar los seudopólipos (pólipos de colesterol, adenomiomatosis o pólipos inflamatorios) de los pólipos verdaderos (adenomas y adenocarcinomas). Los principales factores de riesgo de malignización son el tamaño superior a 6-10mm, crecimiento rápido del mismo, morfología sésil, etnia india y colangitis esclerosante primaria. La ecografía es el gold standard para su diagnóstico. Sin embargo, la mayoría de los pólipos diagnosticados por ecografía son seudopólipos. El objetivo del estudio es analizar si la ecografía es precisa para diagnosticar los pólipos verdaderos en los pacientes cuya indicación quirúrgica ha sido este diagnóstico ecográfico.
MétodosEstudio observacional retrospectivo de los pacientes intervenidos en nuestro centro, desde el año 2007 al 2019, de colecistectomía electiva por presentar pólipos vesiculares. La cirugía se indicó en pacientes sintomáticos y/o con factores de riesgo. El estudio fue aprobado por el Comité Ético de Investigación Clínica de nuestro hospital.
ResultadosSe han incluido 124 pacientes. En todos ellos se ha realizado colecistectomía laparoscópica. La edad media fue de 55,4 años y el 61% eran mujeres. El 65% tenían síntomas biliares. En nuestro estudio, solo 3 pacientes presentaron pólipos verdaderos (2,4%). Todos ellos, fueron adenomas tubulares. El resto de los pacientes resultaron falsos positivos (97,6%). El tamaño de los adenomas fue de 11, 6 y 5mm. La cirugía se indicó por tamaño o por clínica asociada.
ConclusionesLa ecografía no es precisa para el diagnóstico de pólipos vesiculares verdaderos. La validación de otras pruebas complementarias para el diagnóstico de pólipos en pacientes asintomáticos podría ser relevante para evitar cirugías innecesarias.
The incidence of gallbladder polyps is 0,3-12%. It is important to differentiate pseudopolyps (cholesterol polyps, adenomyomatosis, inflammatory polyps), which do not have the potential to become malignant, and true polyps (adenomas and adenocarcinomas). The main risk factors for malignancy are size>6-10mm, rapid growth, sessile morphology, Indian ethnicity and primary sclerosing cholangitis. Ultrasound is the gold standard for diagnosis. However, most polyps diagnosed by ultrasound are pseudopolyps. The main objective of this study is to analyze whether ultrasound is accurate for diagnosing true polyps in patients undergoing surgery for this reason.
MethodsWe conducted a retrospective observational study with prospective data entry of patients undergoing elective cholecystectomy for gallbladder polyps from 2007 to 2021. Surgery was indicated in symptomatic patients and in those with risk factors. The study was approved by the Clinical Research Ethics Committee of our hospital.
ResultsOur study included 124 patients who had undergone elective laparoscopic cholecystectomy. Mean age was 55.4 years, and 61% were women. In total, 65% were symptomatic at diagnosis. Only 3 patients had true polyps (2.4%), all of which were tubular adenomas. The remainig patients were false positives (97.6%). The adenoma sizes were 11, 6 and 5mm, respectively. The surgical indication was due to polyp size or due to associated biliary symptoms.
ConclusionUltrasonography is not accurate for the diagnosis of gallbladder polyps. The validation of other complementary tests for the diagnose gallbladder polyps in asymptomatic patients could be relevant to avoid unnecessary surgeries.
Los pólipos vesiculares se definen ecográficamente como una elevación de la pared de la vesÃcula que protruye hacia la luz, no móvil y sin sombra acústica posterior1–3. Se detectan de forma incidental en el 0,3-12% de la población a la que se le realiza una ecografÃa2,4–7. El mayor uso de la ecografÃa como instrumento diagnóstico durante los últimos años ha determinado un incremento de su diagnóstico5.
Es importante diferenciar los seudopólipos (pólipos de colesterol, focos de adenomiomatosis, pólipos inflamatorios y pólipos hiperplásicos) de los pólipos verdaderos (adenomas y adenocarcinomas)8,9. La gran mayorÃa de pólipos evidenciados por ecografÃa son pólipos de colesterol o adenomiomatosis, sin capacidad de malignizar4. No obstante, del 1 al 12% de las piezas de colecistectomÃa contienen pólipos verdaderos3,10. De estos, únicamente el 3-8% presentarán malignidad en el análisis histológico4.
El diagnóstico diferencial de las principales lesiones vesiculares se recoge en la tabla 17,9–12.
Diagnóstico diferencial de las principales lesiones vesiculares
|  | HistologÃa | EcografÃa |
|---|---|---|
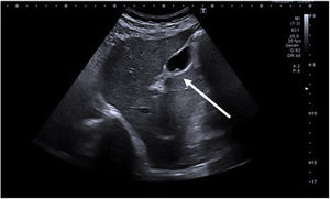
| Pólipo de colesterol | Depósitos de colesterol en el interior de los macrófagos en la lámina propia de la pared vesicular | Estructura hiperecoica, sin sombra acústica posterior y que no varÃa de posición con el movimiento del paciente (fig. 1) |
| Pólipo inflamatorio | Proceso de granulación y fibrosis del tejido, consecuencia de inflamación vesicular crónica | Presentación ecográfica muy variada |
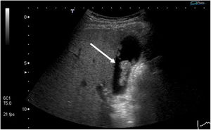
| Adenomiomatosis | Proliferación de epitelio con hipertrofia de la capa muscular con invaginaciones de mucosa hipertrófica a través de la capa muscular engrosada (sinusoides de Rokitansky-Aschoff). Puede ser difusa, segmentaria o focal | Engrosamiento de la pared con espacios quÃsticos y el artefacto «en cola de cometa» (foco hiperecoico con reverberación acústica posterior en forma de triángulo invertido, con disminución gradual de la ecogenicidad (fig. 2) |
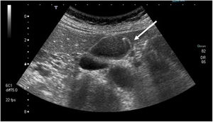
| Adenoma | Capacidad de degeneración malignaPuede ser sésil o pedunculadoHistologÃa más frecuente: tubular, papilar o tubulopapilar | Ecográficamente homogéneos, con ecogenicidad similar al hÃgado (fig. 3) |
| Adenocarcinoma | Lesión malignaPuede haber infiltración de estructuras adyacentes | Masas hiperecogénicas, heterogéneas, con vascularización visible mediante eco-Doppler y márgenes irregulares |
Debido al mal pronóstico del adenocarcinoma de vesÃcula, es de vital importancia identificar de forma precoz aquellos casos con mayor potencial de degeneración maligna.
Diferentes estudios han intentado establecer cuáles son los factores de riesgo de malignización de los pólipos vesiculares. Los más comúnmente aceptados son2,4,5,7,10:
- -
Tamaño mayor de 6mm (mayor de 10mm en algunos estudios2,7,12).
- -
Crecimiento del pólipo durante el periodo de seguimiento (especialmente si el crecimiento es acusado y rápido10).
- -
MorfologÃa sésil.
- -
Etnia india.
- -
Pólipos únicos.
- -
Colangitis esclerosante primaria.
Se han postulado otros posibles factores de riesgo, como la edad mayor de 50-60 años, presencia concomitante de colelitiasis, clÃnica compatible con cólicos biliares, entre otros, pero sin resultados concluyentes2,4–6.
La colecistectomÃa está indicada en aquellos pacientes con lesiones compatibles con pólipos que cumplen los criterios de riesgo anteriormente descritos.
La ecografÃa se ha considerado el gold standard para su diagnóstico, ya que es una prueba no invasiva, económica y fácilmente accesible. Sin embargo, esta es operador-dependiente y se ve limitada por varios factores, como el Ãndice de masa corporal, interposición de gas intestinal o vesÃculas intratorácicas.
Durante los últimos años se ha planteado si la decisión del manejo quirúrgico debe basarse exclusivamente en los hallazgos ecográficos, ya que se ha demostrado que la correlación que existe entre la ecografÃa y los hallazgos anatomopatológicos es pobre1,12.
La sensibilidad de la ecografÃa transabdominal no es muy alta para el diagnóstico de pólipos verdaderos (<70%), en cambio, su especificidad es elevada (96%)2,13. Su valor predictivo positivo es inferior al 15% y su valor predictivo negativo es cercano al 99%1,13. Estos resultados pueden condicionar numerosas cirugÃas innecesarias, teniendo en cuenta que la mayor parte de pólipos diagnosticados no serán realmente pólipos.
Como consecuencia de los datos previamente expuestos y a pesar de que la morbimortalidad de la colecistectomÃa laparoscópica es baja, hemos desarrollado este estudio, cuyo objetivo es analizar si la ecografÃa es precisa para diagnosticar los pólipos verdaderos en los pacientes cuya indicación quirúrgica ha sido este diagnóstico ecográfico.
MétodosSe trata de un estudio observacional retrospectivo con introducción de datos de forma prospectiva en la base de datos de nuestro servicio de CirugÃa General, de los pacientes intervenidos en nuestro centro, desde el año 2007 al 2021, de colecistectomÃa electiva por presentar pólipos vesiculares en ecografÃa.
En nuestro centro la cirugÃa electiva de colecistectomÃa se indica en pacientes con sintomatologÃa biliar y en los pacientes asintomáticos que presentan factores de riesgo de malignización, como son un tamaño del pólipo mayor a 10mm, crecimiento significativo del mismo entre 2 pruebas de imagen consecutivas y/o colelitiasis concomitante1,7,8,10. Adjuntamos el algoritmo de manejo de pólipos vesiculares en nuestro centro(fig. 4).
En los pacientes que no cumplen criterios de cirugÃa, el seguimiento se realiza con ecografÃas semestrales durante el primer año, anuales desde el primer al quinto año y, posteriormente, bianuales, siguiendo las recomendaciones de la mayor parte de autores1,7,10.
Este estudio ha sido aprobado por el Comité Ético de Investigación ClÃnica (2022/5058) de nuestro hospital y, en todo momento, se han seguido los principios éticos para la investigación ética en seres humanos de acuerdo con la Declaración de Helsinki14. Se han seguido las guÃas STROBE15 para estudios observacionales.
Las variables recogidas en el estudio han sido:
- -
Sexo.
- -
Edad.
- -
SintomatologÃa de origen biliar.
- -
Método de diagnóstico del pólipo.
- -
Tamaño del pólipo por ecografÃa.
- -
Colelitiasis concomitante.
- -
Resultado histológico de la pieza (incluyendo tamaño de la lesión).
El análisis estadÃstico se ha realizado mediante el programa SPSS versión 25. Las variables continuas se presentan como su media±desviación estándar. Las variables categóricas se han expresado en forma de porcentaje.
ResultadosDurante el periodo de tiempo estudiado, se han incluido en el estudio 124 pacientes con diagnóstico ecográfico de pólipo vesicular que cumplÃan criterios quirúrgicos. En todos ellos se realizó una colecistectomÃa laparoscópica electiva.
La edad media de los pacientes fue de 55,4 años (42,6-68,2), observándose una mayor prevalencia en mujeres (76 pacientes, [61%]). Un 65% de los pacientes tenÃan sÃntomas compatibles con cólicos biliares en el momento del diagnóstico.
De los 124 pacientes incluidos, únicamente 3 presentaban en el análisis histopatológico pólipos verdaderos (2,4%), siendo los 121 restantes falsos positivos (97,6% de los pacientes). En los 3 casos, el resultado histopatológico fue de adenoma tubular.
El tamaño de los adenomas hallados fue de 11, 6 y 5mm. En el primer caso, la indicación quirúrgica fue por la dimensión del pólipo y en los otros 2 por clÃnica biliar asociada.
El resto de los resultados histopatológicos se recogen en la tabla 2.
Diagnóstico histopatológico de pólipos diagnosticados por ecografÃa
| HistopatologÃa | Pólipos por ecografÃa | |
|---|---|---|
| Â | n (124)Â | %Â |
| Colelitiasis | 30 | 24,2 |
| Pólipo de colesterol | 76 | 61,3 |
| Adenomiomatosis | 8 | 6,5 |
| Pólipo inflamatorio | 4 | 3,2 |
| Adenoma | 3 | 2,4 |
| Heterotopia hepática | 1 | 0,8 |
| Páncreas ectópico | 1 | 0,8 |
| Pólipo de glándulas fúndicas | 1 | 0,8 |
La prevalencia de pólipos verdaderos detectados en nuestro estudio es similar a la descrita en la bibliografÃa (<8%)3. Una posible limitación de nuestro estudio es el sesgo de selección, ya que solo se han podido analizar los pacientes intervenidos.
La ecografÃa presenta una alta tasa de falsos positivos en el diagnóstico de pólipos vesiculares, incluso cuando esta prueba la realizan radiólogos expertos3. Esto plantea la necesidad de estudiar alternativas para aumentar la precisión diagnóstica, entre ellas el uso de la tomografÃa computarizada, la resonancia magnética (RM), la ecografÃa con contraste o la ecoendoscopia2,3.
La realización de una tomografÃa computarizada comporta irradiación del paciente y no ofrece beneficios respecto a la ecografÃa en el diagnóstico de estas lesiones, por lo que se reserva su uso para la estadificación en sospecha de lesiones malignas2,8,11.
La RM puede ser de utilidad en casos de duda diagnóstica, aunque se trata de una prueba costosa y larga. Presenta alta resolución y permite la valoración anatómica y funcional de la vesÃcula y la vÃa biliar16. El coeficiente de difusión de los pólipos verdaderos es menor que el de los seudopólipos, aunque se precisarÃa de un mayor número de estudios para poder estandarizar el uso de la RM en el diagnóstico de los pólipos vesiculares2,8,12.
La ecografÃa-Doppler permite visualizar la existencia de flujo sanguÃneo en el tejido y cuáles son sus caracterÃsticas. Sin embargo, en la mayorÃa de los casos, solo permite evaluar los vasos de mayor calibre17,18. El uso de contraste (Contrast Enhanced UltraSound, CEUS) permite realizar un estudio dinámico, continuo y en tiempo real sobre el flujo sanguÃneo de la lesión, aumentando asà la sensibilidad de la técnica y la precisión diagnóstica de las lesiones malignas2,12,18,19. Debido a la gran variabilidad descrita entre estudios, no existe un consenso claro sobre cuáles son los signos de malignidad, aunque los más aceptados son: morfologÃa sésil, realce heterogéneo y rápido de contraste en fase arterial con lavado rápido en fase venosa, vasos ramificados, dilatados e irregulares e infiltración del parénquima hepático12,17–20. No obstante, todavÃa se requieren más estudios para estandarizar el uso de CEUS en el diagnóstico de estas lesiones.
Finalmente, se ha postulado la ecoendoscopia como herramienta útil para disminuir el número de colecistectomÃas innecesarias. Esta es una prueba cara e invasiva, que no está disponible en todos los centros, pero que permite la realización de una biopsia en los casos que se precise2,18,21. Hay estudios que le atribuyen una mayor sensibilidad y especificidad para diferenciar los tipos de pólipos respecto a la ecografÃa. Permite diferenciar correctamente las capas de la pared vesicular, siendo la pérdida de este patrón uno de los principales signos de malignidad. No obstante, hay un metaanálisis que compara estadÃsticamente los resultados de ambas técnicas, sin observar diferencias significativas entre ellas18. Tampoco se han realizado estudios sobre la precisión diagnóstica de la combinación preoperatoria de ambas pruebas9.
En las últimas recomendaciones de la Sociedad de RadiologÃa en EcografÃa (Society of Radiologists in Ultrasound, SRU) se establece que en caso de evidenciar por ecografÃa una lesión intravesicular>10mm sin signos claros de malignidad (ausencia de invasión hepática ni desestructuración vesicular), se deberá optar por repetir la ecografÃa en 1-2 meses mediante eco-Doppler y una escala de grises optimizada; o bien realizar CEUS o RM para una mejor caracterización de la lesión12.
Otro tema de discusión en el manejo de estos pacientes es la frecuencia del seguimiento en los pacientes tributarios de manejo conservador y hasta cuándo debe realizarse, ya que la tasa y el tiempo en el que los adenomas pueden evolucionar a adenocarcinomas no está claro. En la gran mayorÃa de estudios, el control se hace ecográficamente cada 6 meses durante el primer o los 2 primeros años y, posteriormente, de forma anual hasta completar 5 años de seguimiento. No obstante, hay estudios que concluyen que la transformación de adenoma a adenocarcinoma puede tardar hasta 10 años, apoyando asà seguimientos más largos en estos pacientes. Por otra parte, en la revisión de Wennmacker et al. se indica que el seguimiento ecográfico de estas lesiones, especialmente de aquellas de pequeño tamaño, podrÃa no ser clÃnicamente rentable ni costo-efectiva debido al bajo riesgo de malignización descrito en los estudios incluidos en el análisis. Sin embargo, la evidencia disponible hasta ahora proviene de estudios de baja calidad, por lo que se requiere más investigación para establecer la rentabilidad clÃnica y económica del seguimiento ecográfico de estas lesiones9. Por esta razón, la decisión de finalizar el seguimiento de estos pacientes dependerá del juicio clÃnico del médico responsable2,5,9.
Como conclusión podemos afirmar, basándonos en los resultados de nuestro estudio, que la ecografÃa es útil para el diagnóstico inicial de pólipos vesiculares, pero es poco precisa, ya que muchas de las lesiones diagnosticadas como tales no son pólipos verdaderos.
En un futuro, serÃan recomendables estudios que validen y comparen la utilidad y precisión del CEUS y la RM en el diagnóstico diferencial de las lesiones polipoideas vesiculares, con el objetivo de evitar cirugÃas innecesarias, asà como sus posibles complicaciones.
Conflicto de interesesNinguno.
A todo el personal de los servicios de cirugía general y del aparato digestivo, radiología y anatomía patológica de nuestro centro.












