Ante la pandemia por SARS-CoV-2 resulta fundamental conocer los aspectos claves de la infección: su origen epidemiológico, presentación, curso clínico, diagnóstico y los tratamientos empleados (aún experimentales en muchos casos). El conocimiento sobre el virus es limitado, pero a medida que progresa la pandemia y se conoce más su fisiopatología se está publicando nueva evidencia de forma masiva. Los especialistas quirúrgicos se enfrentan a una situación sin precedentes: deben colaborar en plantas médicas o urgencias atendiendo a estos pacientes, y además tomar decisiones sobre pacientes quirúrgicos con posible COVID-19. Esta revisión narrativa pretende resumir los aspectos más relevantes y sintetizar los conceptos básicos sobre COVID-19 para los cirujanos.
In view of the current pandemic by SARS-CoV-2 it deems essential to understand the key concepts about the infection: its epidemiological origin, presentation, clinical course, diagnosis and treatment (still experimental in many cases). The knowledge about the virus is still limited, but as the pandemic progresses and the physiopathology of the disease is understood, new evidence is being massively published. Surgical specialists are facing an unprecedented situation: they must collaborate in the ER or medical wards attending these patients, while still needing to make decisions about surgical patients with probable COVID-19. The present narrative review aims to summarize the most relevant aspects and synthetize concepts on COVID-19 for surgeons.
La pandemia actual por Severe Respiratory Syndrome -Corona Virus-2 (SARS-COV-2) supone una situación sin precedentes para los sistemas sanitarios. La saturación de los mismos por la alta incidencia de casos ha condicionado la reorganización de los centros hospitalarios y la disposición de todos los recursos para el tratamiento de los pacientes con COVID-19. En el ámbito quirúrgico esto ha tenido un impacto relevante, llevando a la suspensión de muchas intervenciones electivas, el cierre de quirófanos para la utilización de los respiradores en unidades de cuidados intensivos y la redistribución del personal quirúrgico a servicios médicos. Tanto el Ministerio de Sanidad como numerosas sociedades científicas han publicado guías y recomendaciones para orientar a los profesionales. La sección de Infección Quirúrgica de la Asociación Española de Cirujanos (AEC), junto al grupo de trabajo específico Cirugía-AEC-COVID-19, ha revisado la evidencia científica y guías disponibles para sintetizar algunos conceptos clave sobre la COVID-19 y facilitar su conocimiento a los cirujanos.
Material y métodosSe ha realizado una revisión de la literatura a través de PubMed y las plataformas con recursos específicos sobre COVID-19: LitCovid1, Cochrane Library2, Lancet Resource Center3, SpringerNature4, BioMed central5 y JAMA network6. Así mismo, para otros aspectos específicos se ha consultado la información y documentos actualizados del Ministerio de Sanidad de España, la Organización Mundial de la Salud (OMS), los Centers for Disease Control (CDC), así como las recomendaciones de algunas sociedades quirúrgicas: AEC, American College of Surgeons, Society of American Gastrointestinal and Endoscopic Surgeons, European Cancer Organization y la Association of Surgeons of Great Britain and Ireland.
La búsqueda bibliográfica, revisión de artículos seleccionados, adaptación y síntesis del contenido fue realizada por los investigadores firmantes. Se agruparon de forma ordenada los temas más relevantes para facilitar la accesibilidad y consulta en el presente documento. Los autores realizan una revisión narrativa de la literatura disponible sobre algunos de los aspectos clave en relación con la epidemiología, presentación clínica, diagnóstico y tratamiento de la enfermedad COVID-19 de especial interés para los lectores de la revista. Se incluyen además conceptos específicos en relación con la cirugía, basados en la evidencia disponible.
ResultadosEpidemiología y esquema temporal mundialEl nuevo coronavirus responsable del síndrome respiratorio agudo grave (SARS-CoV-2) fue detectado por primera vez en diciembre de 2019 en la ciudad de Wuhan (provincia de Hubei, China). Se detectaron varios casos de neumonía atípica de origen no aclarado. Se sospecha que la zona cero de la epidemia pudo ser el mercado de Huanan (Wuhan), por la relación de los primeros infectados con este lugar, que fue clausurado el 1 de enero de 20207. La enfermedad se considera una zoonosis; todavía se está investigando de qué animal proviene la enfermedad. Se ha especulado, basándose en la secuenciación genética del virus, en los murciélagos y en el pangolín como origen más probable8. El virus se secuenció por completo de forma precoz a principios de enero de 2020, identificándolo como un nuevo tipo de coronavirus9.
El 12 de enero de 2020 China compartió abiertamente la secuenciación génica del nuevo coronavirus en la plataforma gisaid.org. El 13 de enero se detectó el primer caso fuera de China, en Tailandia, de un individuo que había viajado a Wuhan. En los días siguientes comenzaron a detectarse casos en Japón, Corea y otros países asiáticos. El 20 de enero EE. UU. declaró su primer caso positivo en un viajero que llegó a Washington procedente también de Wuhan. El primer caso en Europa fue reportado por el Ministerio de Salud francés el 24 de enero.
El 30 de enero de 2020 la OMS declaró el Estado de Emergencia de Salud Pública de Importancia Internacional (ESPII) (Public health emergency of international concern) y el número de casos continuó aumentando en numerosos países, incluidos ya Irán, Italia y España. El 11 de marzo de 2020 la OMS declaró el estado de pandemia10.
Situación en EspañaLa tabla 1 recoge la cronología de los hechos más relevantes en España con respecto al inicio y la evolución de la epidemia.
Cronología de los hechos más relevantes en España con respecto al inicio y evolución de la epidemia
| Fecha | Incidencia |
|---|---|
| 31/01/2020 | Primeros casos importados. Canarias (La Gomera) |
| 24/01/2020 | Primeros casos en la península |
| 25/01/2020 | Primer caso en Madrid (Hospital La Paz)Primera comparecencia del director del Centro de Coordinación y Emergencias Sanitarias del Ministerio de Sanidad |
| 26/02/2020 | El Ministerio de Sanidad recomienda restringir los viajes, especialmente a zonas afectadas |
| 03/03/2020 | Eventos deportivos a puerta cerrada |
| 09/03/2020 | Se constata transmisión comunitaria no controlada |
| 11/03/2020 | Cierre de colegios, institutos, educación infantil y universidades |
| 14/03/2020 | Real Decreto 463/2020 por el que se declara el estado de alarma |
| 27/03/2020 | Real decreto 476/2020 por el que se prorroga el estado de alarma |
Con fecha 17 de abril de 2020 se han registrado en España 188.068, 19.478 fallecidos y 72.963 curados (cifras aún en aumento), sin embargo las estimaciones de casos no diagnosticados son mucho mayores. La Comunidad de Madrid ha sido una de las más afectadas con el mayor número de casos confirmados (> 51.993 a 17 de abril de 2020)11.
Características del virusLos coronavirus son una amplia familia de virus descrita por primera vez en los años 60. Son virus esféricos, encapsulados, que contienen ARN monocatenario rodeado por una cubierta proteica. La proteína S (spikes) produce unas estructuras características que le dan su aspecto de corona, y es la que determina el tropismo del virus y su fusión con las células del huésped. Existen múltiples coronavirus conocidos circulantes en animales y humanos. En ocasiones se produce un salto interespecies, como ya ocurrió con el SARS en 2002 (origen en civetas) o el MERS en 2012 (origen en dromedarios) que produjeron enfermedades respiratorias graves de nueva aparición en humanos; la principal diferencia de estos con el actual SARS-CoV-2 es la buena trasmisibilidad entre humanos que ha demostrado este último. El 11 de febrero de 2020 se estableció la nomenclatura oficial como SARS-CoV-2 el virus, y COVID-19 la enfermedad que produce12.
Es un virus altamente transmisible. La principal transmisión se produce por gotas (partículas grandes>5μm, que se desplazan 1-2metros) que se originan cuando una persona infectada estornuda o tose. También es relevante la transmisión por contacto con superficies o fómites contaminados por esas gotas, con posterior puerta de entrada de la infección al tocarse nariz, los ojos y la boca. La transmisión por aerosoles (partículas pequeñas<5μm, que se desplazan más de 1metro) es posible, y ha sido objeto de controversia. Resulta especialmente relevante en el ámbito sanitario. En quirófano resulta preocupante la posibilidad de aerosolización al realizar cualquier maniobra de intubación o relacionada con la vía aérea, y también parece que es posible al utilizar la electrocoagulación o la laparoscopia (si el paciente está infectado) al realizar estas técnicas sobre tejido infectado, principalmente del árbol respiratorio13.
Se han realizado estudios in vitro que muestran supervivencia del virus en múltiples tipos de superficies (metal, plástico o cristal) en las que puede permanecer hasta 9 días14. Es por ello fundamental la desinfección de las mismas para minimizar el contagio. Se recomienda exhaustivamente el lavado de manos (con agua y jabón) como medida de prevención (por la gran capacidad del jabón de desintegrar la cápsula lipídica viral) y el uso de soluciones hidroalcohólicas. Así mismo son altamente virucidas (en tiempos en torno a un minuto) las soluciones de alcohol (etanol) del 62-71%, el peróxido de hidrógeno 0,5% y el hipoclorito sódico al 0,1%, que se deben utilizar en la desinfección de superficies. Otros biocidas como la clorhexidina gluconato 0,02% o el cloruro de benzalconio 0,05-2% son menos efectivos15,16.
La OMS pone a disposición las formulaciones para producción propia institucional/local de soluciones alcohólicas en caso de necesidad por desabastecimiento o problemas de distribución17.
Prevención de trasmisión y contagioConocer el mecanismo específico de transmisión del virus es fundamental para establecer las medidas esenciales para su prevención. En el caso de la transmisión por gotas las medidas fundamentales incluyen18:
- -
Cubrirse la boca o nariz al toser/estornudar o hacerlo en un pañuelo desechable y tirarlo inmediatamente.
- -
En caso de pacientes sintomáticos cubrir nariz y boca con mascarilla sin filtro para evitar la dispersión de las gotas.
- -
Lavarse las manos con agua y jabón o solución hidroalcohólica.
- -
Mantener la distancia interpersonal (Algunos estudios recomiendan incluso 1,8-2metros).
- -
Evitar tocarse la cara (ojos, nariz y boca).
- -
Seguir las recomendaciones pertinentes de las autoridades sanitarias (local/nacional/internacional).
En el ámbito poblacional, ante una situación de epidemia, es fundamental tomar una serie de medidas de salud pública que dependerán de la evolución de la epidemia y del contexto local:
- -
Vigilancia: detección rápida y precoz de casos para establecer las medidas de aislamiento pertinentes lo antes posible, en la fase de contención.
- -
Despistaje en puntos de entrada: detección de casos importados e información adecuada a personas que provienen de áreas afectadas.
- -
Estudio de contactos de los casos confirmados para identificar precozmente los contagios y aislamiento (domiciliario) del paciente positivo para evitar nuevos contactos durante 2 semanas (en la fase de contención).
- -
Medidas de distanciamiento social: que pueden incluir desde evitar aglomeraciones o eventos públicos hasta cuarentena obligatoria de la población (en la fase de mitigación).
- -
Comunicación a la población por parte de las autoridades sanitarias de las medidas implementadas, de los casos y estado de la epidemia, así como medidas de educación para la salud.
La presentación clínica es muy variable y se han observado diversos cuadros, desde leves (con síntomas catarrales) hasta muy graves, con desarrollo de síndrome de distrés respiratorio del adulto. Existen pacientes asintomáticos, que suponen un problema a nivel epidemiológico por su capacidad de transmisión de forma desapercibida. El periodo de incubación medio es de unos 5 días (con un rango entre 0 y 14días), un 97,5% de los pacientes desarrollan la enfermedad en los primeros 12,5días de incubación19.
Los síntomas clínicos más frecuentemente descritos han sido fiebre, tos (con/sin expectoración) y malestar general. Se han descrito otros síntomas con frecuencias variables entre los que se encuentran disnea, cefalea, astenia, mialgias, odinofagia, congestión/secreción nasal, anosmia, ageusia, síncope, confusión, síntomas neurológicos, síntomas oftalmológicos (conjuntivitis y ojo seco) y cutáneos (rash y erupciones)20.
Un porcentaje de pacientes refieren como síntomas relevantes la presencia de diarrea, vómitos y dolor abdominal. Se ha identificado ARN de SARS-CoV-2 en muestras de heces de pacientes infectados, y se ha encontrado el receptor viral ACE2 con una alta expresión en las células epiteliales gastrointestinales, lo que indica que el virus podría infectar y replicarse con facilidad en el tracto gastrointestinal. También se ha observado que el virus se sigue eliminando por heces pasados los primeros síntomas21. Sin embargo, no se ha establecido la trasmisión fecal-oral por el momento.
Los datos preliminares obtenidos principalmente de los estudios realizados en la población china parecen indicar que los pacientes ancianos y con comorbilidades asociadas (HTA, cardiopatías, diabetes, cáncer, obesidad, etc.) tienen mayor riesgo de presentaciones graves22. Se estima que del total de casos más del 80% serán leves/moderados, pero un 14% serán graves y un 5% críticos23. Los pacientes con mayor mortalidad en los estudios retrospectivos chinos han sido varones con una media de edad 17 años mayor que los supervivientes (68 frente a 51 años), y con algún proceso patológico subyacente (HTA, diabetes, enfermedades cardiovasculares o EPOC), además la presencia de varias comorbilidades asociadas aumenta también el riesgo de mala evolución24. La tabla 2 muestra algunos de los factores de riesgo de gravedad y de las alteraciones analíticas que se han asociado con una peor evolución clínica.
Alteraciones analíticas y factores de riesgo de gravedad asociados con una peor evolución clínica
| Determinaciones analíticas (marcadores de gravedad) | Factores de riesgo de desarrollar enfermedad grave |
|---|---|
| Linfopenia (<1.000) | Edad>60años |
| D-dímero (>1.000) | HTA |
| PCR | Enfermedades cardiovasculares |
| LDH | Broncopatía |
| Ferritina | Diabetes |
| Creatinina | Obesidad |
| IL-6 (marcador de «tormenta de citoquinas») | Inmunosupresión |
| Aumento de transaminasas | Cáncer |
| Embarazo |
Se ha observado que en los casos que presentan mala evolución se produce un empeoramiento brusco, habitualmente en la segunda semana de enfermedad, con aparición de disnea e insuficiencia respiratoria que suelen llevar a la necesidad de oxigenoterapia y ocasionalmente intubación y UVI en torno al 10.°-12.° día25,26. La causa de muerte habitual es por sepsis no controlada e insuficiencia respiratoria. Esta peor evolución al 7.° día parece relacionada con el desarrollo de una «tormenta de citoquinas» ocasionada como consecuencia de la interacción del virus con el sistema inmunológico del paciente27.
DiagnósticoMicrobiologíaEl diagnóstico molecular se basa en técnicas de RT-PCR que estudian secuencias específicas del genoma del virus. Desde que se compartió abiertamente el genoma del SARS-CoV-2 diversos grupos comenzaron a trabajar para desarrollar test diagnósticos de RT-PCR basándose en zonas de su genoma. En general, se recomienda detectar una zona menos específica como cribado (el gen de la envuelta o gen E) y otra más específica para confirmación (gen de la ARN polimerasa RdRp)28. Existen distintas combinaciones de secuencias según el protocolo desarrollado por los distintos laboratorios. A pesar de presentar alta sensibilidad y especificidad, estos test pueden presentar falsos negativos29. Generalmente estos se deben a que la muestra sea insuficiente o no representativa, que se tome demasiado pronto o demasiado tarde en el curso de la enfermedad o que se degrade en el transporte o manipulación. En casos negativos en los que persiste la sospecha o la clínica se recomienda repetir la RT-PCR en unos días.
Aunque las muestras naso u orofaríngeas son las más sencillas de obtener, resultan más rentables a nivel diagnóstico las muestras bronquiales (por ejemplo de lavado broncoalveolar), pero estas son más complejas de obtener, y precisan mayor nivel de bioseguridad para el personal en su extracción. El virus ha sido también detectado en otras muestras biológicas (sangre, heces y saliva)30.
Las técnicas serológicas permiten detectar anticuerpos IgM e IgG. Existe evidencia de que estas pueden empezar a detectar anticuerpos a partir de los 5 días de inicio de los síntomas. Pueden resultar de utilidad para estudios poblacionales de seroprevalencia. Existen ya test comerciales serológicos (inmunocromatografía) que se realizan con sangre completa y podrían resultar útiles en el diagnóstico.
El cultivo celular se utiliza para investigación. Tarda varios días, por lo que no es útil para el diagnóstico clínico, pero permite estudiar el efecto citopático del virus sobre líneas celulares y obtener viriones. Son necesarias instalaciones de bioseguridad (mínimo BSL III) para realizarlo.
RadiologíaEn las fases iniciales de la enfermedad pueden no apreciarse alteraciones en la radiología simple, e incluso en la TAC si se realiza en los primeros 2 días de síntomas. Sin embargo, a medida que evoluciona el cuadro aumenta la sensibilidad de la TAC, sobre todo a partir del 6.° día, en el que casi todos los pacientes con COVID-19 presentarán alguna alteración.
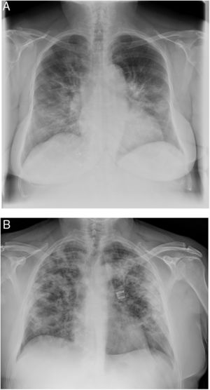
Cuando la imagen radiológica es anormal existen algunos patrones comunes31. En la radiografía simple de tórax se identifican zonas asimétricas de opacidad alveolar o intersticial, parcheadas o difusas. El patrón más habitual es el de neumonía bilateral, con opacidades en vidrio deslustrado subpleurales, con márgenes poco definidos y una ligera predilección por el lóbulo inferior derecho (fig. 1).
Ejemplos de radiología de tórax simple de pacientes con neumonía en contexto de COVID-19.
A. Neumonía moderada, con consolidaciones retículo-alveolares en campos medios e inferiores bilaterales. B. Neumonía grave, afectación extensa bilateral con opacidades alveolares, con tendencia la consolidación en la periferia de ambos campos pulmonares.
Los hallazgos más característicos en la TAC torácica son opacidades múltiples en vidrio deslustrado con consolidaciones en la periferia del pulmón32. Si se identifican estos hallazgos atípicos (incluso en pacientes asintomáticos) se debe considerar el diagnóstico de COVID-19. La estratificación por TAC se ha utilizado para evaluar la gravedad, y es la prueba diagnóstica más sensible, ya que detecta lesiones que a veces no se identifican en la radiografía simple de tórax. Esto puede ser especialmente relevante en la identificación precoz de casos, por ejemplo de forma preoperatoria en pacientes con sospecha que requiriesen intervención.
LaboratorioEn lo que respecta al ámbito analítico, son característicos el aumento de proteína C reactiva (PCR), con procalcitonina normal, y la linfopenia (<1.100cél/μl). Cabe destacar que los casos graves (comparados con los moderados) presentaron con más frecuencia linfopenia intensa, hipoalbuminemia y niveles más elevados de ALT, LDH, PCR, ferritina y D-dímero, así como de IL-2R, IL-6, IL-10 y TNF-α33. La evidencia actual sugiere que la respuesta inmune exagerada mediada por la tormenta de citoquinas lleva a la lesión pulmonar aguda y distrés respiratorio agudo, y sin tratamiento y soporte la muerte en gran proporción de pacientes.
Se recomienda en los casos graves descartar coinfecciones por otros patógenos respiratorios (Influenza A y B, neumococo y Legionella) y extraer hemocultivos. En las primeras series publicadas en China el 50% de los fallecidos presentaron una segunda infección durante el ingreso20.
TratamientoHasta la fecha no existe ningún tratamiento eficaz conocido para COVID-19, sin embargo son múltiples las moléculas que por haber demostrado alguna actividad in vitro frente a SARS-CoV2 se están investigando y usando fuera de ficha técnica.
Existen en este momento múltiples ensayos clínicos en marcha de distintas iniciativas, tanto públicas como privadas, nacionales e internacionales para tratar de establecer si existe algún tratamiento eficaz para COVID-19.
Desde la OMS se ha propuesto la realización de un ensayo clínico internacional (SOLIDARITY trial) en el que se evalúe la eficacia de las distintas modalidades terapéuticas propuestas en los países afectados, y que se han estado utilizando de forma empírica o basadas en evidencia limitada34. Se trata de un ensayo aleatorizado abierto adaptativo que permite la modificación de las ramas a estudio conforme se tengan más datos de eficacia. Actualmente las moléculas en evaluación son:
- 1)
Remdesivir (desarrollado inicialmente y evaluado previamente contra el virus del Ébola).
- 2)
Lopinavir/ritonavir (antirretroviral potenciado utilizado para el VIH).
- 3)
Lopinavir/ritonavir en combinación con interferón β.
- 4)
Cloroquina o hidroxicloroquina (CQ/HCQ) (fármacos antimaláricos que se han utilizado con éxito en China)35.
- 5)
Todos ellos se compararán con tratamiento de soporte estándar sin ninguna molécula con potencial acción antiSARS-CoV2.
El Ministerio de Sanidad actualiza con frecuencia los fármacos propuestos para el tratamiento, según se van registrando datos y nuevas opciones terapéuticas. En la actualidad algunos de los fármacos que se consideran en el protocolo son: CQ/HCQ, lopinavir/ritonavir, remdesivir, tocilizumab, sarilumab, interferón beta 1B e interferón alfa 2B36.
La CQ/HCQ posee efecto antiviral in vitro, se ha considerado posible candidata para el tratamiento y ha sido utilizada ampliamente de forma empírica. Sin embargo, otros experimentos in vivo con un modelo de ratones y SARS-CoV-2 no han demostrado que la CQ/HCQ consiguiese inhibir la replicación viral. A raíz de un reciente estudio francés de tipo observacional, sin rama de control ni aleatorización, con un número muy reducido de pacientes, se planteó que el tratamiento combinado con CQ/HCQ y azitromicina podía reducir más rápido la carga viral37. Por el contrario, otro ensayo (con 11 pacientes) no encontró beneficio (clínico ni antivírico) de esta terapia combinada en pacientes con COVID-19 grave38. Aún no se ha establecido con claridad la utilidad real de esta pauta, aunque existen otros múltiples ensayos clínicos en desarrollo (sobre todo en China)39.
Es fundamental evaluar las interacciones farmacológicas con la medicación de base del paciente y la toxicidad, a la hora de pautar cualquiera de estos tratamientos fuera de ficha técnica. Se pueden presentar interacciones graves (como alargamiento QT con HC/HCQ)40 y en ocasiones existen contraindicaciones relevantes (en pacientes cardiópatas, positivos para el VIH, etc.). Existen portales web para consulta rápida de interacciones, como www.hiv-druginteractions.org.
Se está ensayando la utilidad del plasma de pacientes convalecientes para el tratamiento de pacientes críticos con COVID-1941, y múltiples laboratorios a nivel mundial están investigando el desarrollo de una posible vacuna.
Implicaciones para los cirujanosLa AEC, así como otras sociedades nacionales e internacionales, han emitido recomendaciones y guías clínicas para intentar estandarizar las prácticas en este momento crítico, con el objetivo de proteger tanto a los pacientes como a los profesionales42–44.
Mundialmente, se ha utilizado la evidencia disponible para actualizar de forma dinámica las pautas de tratamiento en pacientes moderados y críticos, el uso de test diagnósticos, el estudio de contactos, así como las medidas de protección necesarias para el personal sanitario dependiendo del tipo de atención o procedimiento a realizar45. Cualquier procedimiento con mayor exposición a secreciones respiratorias (intubación, traqueotomía, exploración ORL, etc.) se considera de alto riesgo. También se consideran de riesgo otros fluidos corporales que puedan presentar carga viral, como la saliva, las heces y la sangre, en los que se ha detectado en mayor o menor medida carga viral46.
Con respecto a la posibilidad de aerosolización en procedimientos quirúrgicos (bisturí eléctrico y otros dispositivos de energía, humo de la laparoscopia, etc.) se han realizado diversos estudios al respecto por parte de equipos quirúrgicos, así como propuestas específicas para la reducción de esta aerosolización (filtros de humo con sello de agua y lejía, aspirado de humo del bisturí eléctrico, etc.). En todo caso, y ante la posibilidad de esta vía de contagio, es fundamental que todo el personal de quirófano posea equipo completo de protección adecuado, especialmente de protección facial (mascarillas FFP2/FFP3/N95, gafas cerradas y pantallas si procede).
Tras la experiencia en China e Italia se plantean algunas medidas importantes en relación con la laparoscopia47: reducir al máximo la dispersión de aerosoles, evitando la salida no controlada de gas/fluidos por trócares o incisiones, utilizar sistemas cerrados de filtro y aspiración para el humo, utilizar la menor presión de gas posible y los programas más bajos de intensidad de electrocoagulación. Es también fundamental formar e instruir adecuadamente al personal de quirófano a este respecto.
Consideraciones específicas dentro del ámbito quirúrgicoCirugía electivaEn las circunstancias de pandemia el alto número de pacientes afectados a la vez satura los servicios sanitarios. En el caso de la afectación COVID-19 (por su capacidad de producir síntomas respiratorios graves), aumenta la demanda de ventiladores y camas de hospitalización o UVI para estos pacientes. Por ello, en previsión de la necesidad de estos recursos, se ha planteado demorar todas las intervenciones quirúrgicas electivas si es posible, siempre considerando la situación epidemiológica local y los recursos de cada centro hospitalario. Los pacientes con proceso patológico benigno y/o con bajo riesgo de complicación podrán ser pospuestos sin problema. En otros casos electivos en los que exista algún riesgo de complicación por no realizar la intervención se valorará la urgencia de cada caso individualmente (considerando el beneficio/riesgo), pero recomendándose retrasar la misma todo lo posible hasta que se normalice la situación epidemiológica actual48,49.
Pacientes oncológicosLos pacientes oncológicos pueden verse especialmente afectados durante el periodo de pandemia por varios motivos50:
- -
Mayor susceptibilidad a la infección por su enfermedad de base o secundaria a la inmunosupresión por tratamientos adyuvantes (quimioterapia).
- -
Alteración de sus esquemas de tratamientos (quimioterapia y radioterapia) o imposibilidad de realizar intervenciones quirúrgicas programadas, que puede afectar el curso de su enfermedad y/o pronóstico.
- -
Complicaciones de la enfermedad oncológica que requieran actitud urgente o ingreso y aumenten el riesgo de contagio por SARS-CoV-2 (sangrado, perforación u obstrucción por tumores estenosantes no intervenidos, trombosis, otras infecciones, etc.).
En caso de sospecha y clínica compatible con COVID-19 múltiples sociedades internacionales, como la European Cancer Organization, abogan por la priorización de las pruebas de detección de SARS-CoV-2 en estos pacientes51.
Las decisiones de si proceder o no con la cirugía electiva en pacientes oncológicos dependen en este momento de la situación epidemiológica local, la disponibilidad de quirófanos y UVI del centro correspondiente, el estado de la enfermedad y el riesgo de progresión o complicaciones (individualizado), la valoración del riesgo quirúrgico y potenciales complicaciones de la intervención. Se debe realizar además una valoración específica de la posibilidad de infección COVID-19 pre/postoperatoria y su riesgo personalizado según las comorbilidades del paciente, que debe ser informado de todo ello52. Se promueve la toma de decisiones individualizada por comités multidisciplinares53, y en zonas de alta incidencia se plantea la creación de hospitales «limpios» a los que puedan ser derivados los pacientes oncológicos. En algunos casos, y dependiendo del tipo de tumor, se proponen incluso tratamientos alternativos (como ciclos extra de quimioterapia) para permitir controlar la progresión y/o demorar la cirugía54.
Cirugía urgenteLa enfermedad quirúrgica urgente es la única que no se puede demorar o cancelar a pesar de la situación de pandemia. Ante procesos patológicos quirúrgicos no demorables (apendicitis, peritonitis, etc.) deben ser evaluados varios aspectos a la hora de tomar decisiones:
- -
Estado COVID-19 del paciente ¿presenta infección vírica concomitante a la enfermedad quirúrgica? Esto es fundamental tanto para el pronóstico y riesgo quirúrgico del paciente como para los equipos quirúrgicos, que deben protegerse adecuadamente.
- -
¿Existe material de protección (equipos de protección individual [EPI]) suficiente e instalaciones adecuadas para realizar la intervención en condiciones de seguridad?
- -
¿Existe algún tratamiento alternativo a la intervención que sea seguro para el paciente?
Por ello, sociedades como la AEC55 y el American College of Surgeons56 plantean determinar el estatus COVID-19 del paciente antes de proceder a la intervención quirúrgica para poder actuar de la forma más segura. Se utilizarán todos los medios disponibles para realizar esta determinación, idealmente RT-PCR y radiología torácica (preferiblemente TAC). Ante la imposibilidad de determinar el estatus COVID-19 o la duda se procederá como si el paciente fuese positivo, asegurando la protección adecuada del personal de quirófano con EPI completos.
Se han sugerido también algunas medidas extra, como demorar la entrada del personal a quirófano todo lo posible, que la intervención sea realizada por el cirujano con más experiencia disponible y que salga del quirófano todo el personal no imprescindible antes de la extubación.
Como ya se ha comentado, el tema del abordaje laparoscópico ha suscitado gran controversia ante la posibilidad de aerosolización con el uso del neumoperitoneo. La Sociedad de Cirujanos de Reino Unido e Irlanda llegó a recomendar evitar esta vía, y realizar solo cirugía abierta urgente en el contexto de la pandemia, rectificando posteriormente57. Otras han debatido que privar al paciente de las ventajas de la laparoscopia (acceso menos invasivo, menor estancia hospitalaria y por tanto menor probabilidad de contagio en pacientes COVID negativos, etc.) no está justificado. En el momento actual se debe individualizar el tratamiento todo lo posible, considerando la presentación del cuadro quirúrgico del paciente, su situación de gravedad, su situación COVID-19, las alternativas terapéuticas disponibles y los medios de los que dispone el hospital (EPI, quirófano, unidades de cuidados intensivos, etc.).
Personal sanitario y protección individualLa disponibilidad de material adecuado y EPI suficientes ha sido uno de los temas más relevantes desde el inicio de la pandemia, debido al desabastecimiento a nivel mundial y las numerosas bajas (y muertes) acaecidas entre el personal sanitario de primera línea58. La experiencia en Italia ha resultado especialmente importante a este respecto, ya que se detectó un número mucho mayor de contagios entre personal sanitario que en China, llevando incluso al cierre de hospitales por falta de personal y la muerte de 25 médicos59,60.
Desafortunadamente en España la situación se ha desarrollado de forma similar a Italia, siendo en este momento el país con más personal sanitario contagiado (en torno al 14%), y en muchas ocasiones secundariamente a la falta de protección adecuada.
Es fundamental la disponibilidad de EPI suficientes y de calidad ante cualquier actuación del cirujano relacionada con COVID-19.
ConclusionesLa actual pandemia por coronavirus SARS-CoV-2 constituye el mayor reto que la medicina contemporánea haya vivido, afectando de manera directa a todos los cirujanos, al requerir por su parte una redefinición de su rol dentro de las instituciones sanitarias, el replanteamiento de sus estrategias terapéuticas habituales y la adaptación a unas condiciones de trabajo desfavorables en las que pueden resultar seriamente afectados.
La elevadísima incidencia de la infección por SARS-CoV-2 obliga al cirujano a conocer en profundidad todos los aspectos de la enfermedad, incluyendo los quehaceres diarios y los tratamientos médicos con los que no está familiarizado. Asimismo, hace que deba adaptar su ejercicio a una situación crítica, de modo que debe priorizar la seguridad en el entorno de trabajo y la atención de los pacientes más graves y plantearse opciones que habitualmente no contempla, fundamentalmente en urgencias. La necesidad de conocer e implementar estrategias dirigidas a pacientes no demorables, especialmente los oncológicos, es indispensable para para evitar lo que se denominan segundas y terceras víctimas de la pandemia: profesionales infectados y, sobre todo, pacientes que terminan recibiendo tratamientos subóptimos.
Es fundamental destacar que la situación actual ha hecho necesaria la toma de decisiones en un escenario lleno de incertidumbres, donde la evidencia científica acerca de las bases de las mismas es escasa. Así, si bien el esfuerzo de la comunidad sanitaria está siendo ímprobo, la constante reevaluación de cada una de las medidas que se adopten es indispensable. Ser cirujano en tiempos de COVID-19 exige la máxima versatilidad y supone aceptar que las decisiones de hoy puede que no sean las de mañana. De nuevo, una oportunidad de renovar el aforismo de Deaver por el que señalaba que el cirujano era siempre «algo más que un médico, nunca algo menos».
Conflicto de interesesLos autores declaran no tener ningún conflicto de intereses.
Los autores desean dedicar este artículo científico in memoriam al Dr. Joaquín Diaz Domínguez, Jefe de Servicio de Cirugía General del Hospital Universitario La Paz, Madrid. DEP.
Esteban Martin-Antona, Estíbaliz Álvarez Peña, Alejandra Garcia-Botella, Elena Martín Pérez, Mario Álvarez Gallego, Sagrario Martínez Cortijo, Isabel Pascual Migueláñez, Lola Pérez Díaz, José Luis Ramos Rodríquez, Eloy Espín-Basany, Raquel Sánchez Santos, Xavier Guirao Garriga, José Manuel Aranda Narváez y Salvador Morales-Conde.







