Introducción
Los angiosarcomas de bazo son afecciones poco frecuentes y con mal pronóstico. Habitualmente presentan una clínica inespecífica y a menudo se llega al diagnóstico tras practicar una esplenectomía por un bazo patológico. La tomografía computarizada (TC) muestra imágenes generalmente múltiples, aunque en ocasiones son únicas, a menudo hipointensas o heterogéneas, pero pocas veces específicas. Algunos marcadores tumorales son bastante específicos, pero no siempre se estudian antes de la intervención. La quimioterapia y la radioterapia tienen una utilidad dudosa.
Caso clínico
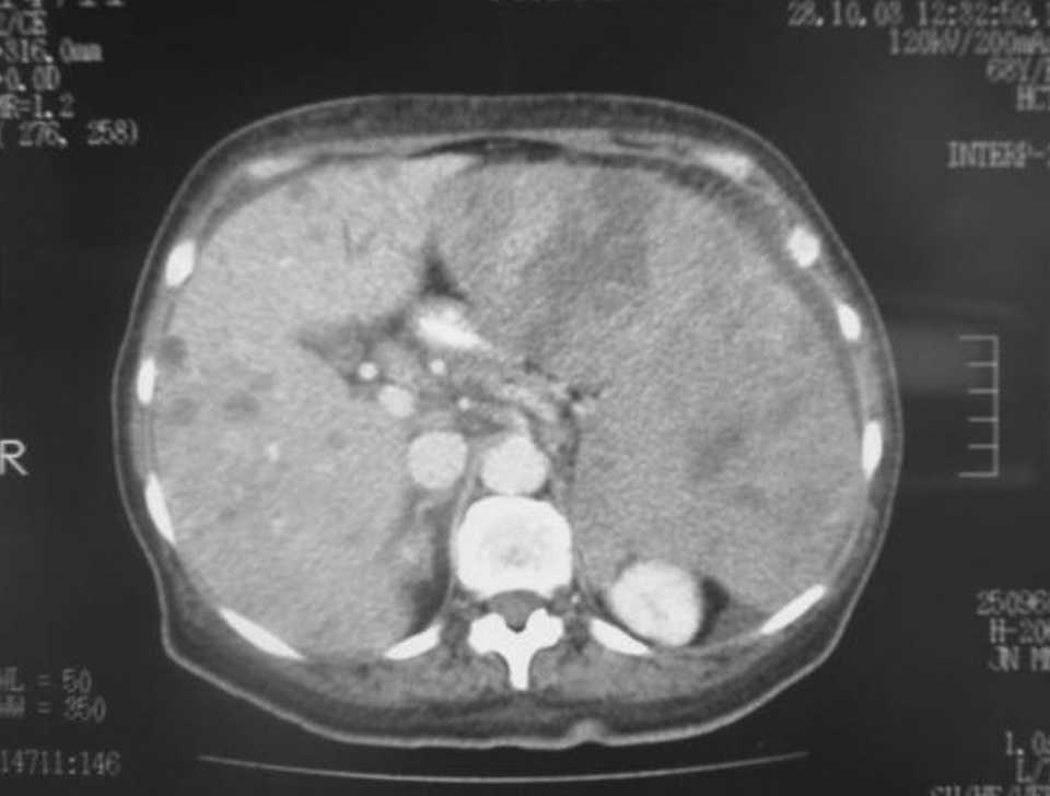
Mujer de 68 años de edad, sin antecedentes de interés, que consulta en junio de 2003 por un cuadro de anemia ferropénica no filiada desde hacía unos 2 meses, tratada mediante hierro oral, cambio de ritmo deposicional, discreto síndrome tóxico con pérdida de unos 3-4 kg y discreta molestia abdominal en la zona epigástrica. En la exploración física presenta fiebre de 38 oC, una tumoración dura, bien delimitada, que ocupa la mayor parte del epigastrio y el mesogastrio, así como una hepatomegalia de 2 traveses. Analíticamente sólo destaca una anemia. La primera exploración fue una colonoscopia que informó de una compresión externa del colon descendente sin evidencia de infiltración. La TC informó de una esplenomegalia gigante y una hepatomegalia, ambas con múltiples lesiones hipointensas e isointensas, algunas con captación anular, de morfología redondeada pero en el bazo bastante cuneiformes.
Las características de las lesiones esplénicas fueron:
Morfología cuneiforme o redondeadas mal definidas.
Estudio sin contraste: lesiones hipointensas o isointensas en el parénquima.
Estudio con contraste: lesiones hipointensas tanto en fase arterial como portal, presentando algunas captación anular en fase portal.
Los marcadores tumorales habituales (CEA, CA 19,9 y CA 125) fueron normales. No se analizaron otros marcadores.
En los días siguientes presentó un deterioro del estado general y disminución del tiempo de protrombina por debajo del 45%.
Dada la duda diagnóstica entre un proceso infeccioso o tumoral (linfoma o sarcoma) y el rápido deterioro general, se decidió su tratamiento quirúrgico previa transfusión de varias unidades de plasma.
Se halló un bazo con múltiples nódulos blancos, duros, practicándose una esplenectomía y la exéresis de un bazo accesorio. En el hígado se apreciaron múltiples dilataciones vasculares de aspecto angiomatoso, realizándose una biopsia.
Tras una transitoria mejoría postoperatoria, la paciente falleció a las 5 semanas de la intervención.
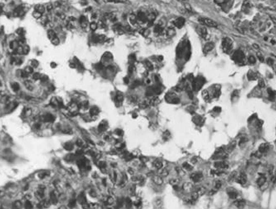
Microscópicamente se observó una tumoración constituida por canales vasculares, en ocasiones anastomosados, tapizados por células con una marcada atipia citológica y presencia de figuras de mitosis (CD34, factor VIII y vimentina positivas); también se observaron áreas sólidas, áreas papilares, así como abundantes áreas hemorrágicas y de necrosis. También se observaron metástasis hepáticas e incluso en el bazo supernumerario.
Fig. 1. Tomografía computarizada con contraste intravenoso (fase portal). Hepatomegalia con múltiples lesiones hipointensas, algunas con captación anular, y esplenomegalia con múltiples lesiones hipointensas mal definidas, algunas cuneiformes.
Fig. 2. Bazo gigante extirpado con lesiones blancas sólidas.
Fig. 3. Parénquima esplénico con múltiples lesiones nodulares y abundantes áreas necróticas.
Fig. 4. Canales vasculares irregulares tapizados por células endoteliales atípicas.
Discusión
Los angiosarcomas o hemangiosarcomas son tumores poco frecuentes. Representan el 1-2% de los sarcomas. En una revisión realizada por Geissler et al1 en 1997, sólo encontraron 140 casos descritos en la bibliografía. Posteriormente han aparecido otras descripciones; es especialmente interesante la aportación de Neuhauser et al2, con 28 nuevos casos y descripciones concretas sobre el diagnóstico inmunihistoquímico; el CD34, FVRAg, VEGFR3 y CD31 son los marcadores más útiles y últimamente el CD68 y/o lisozima.
La clínica suele ser un dolor abdominal inespecífico. Habitualmente se presenta una esplenomegalia. Un 25% de los casos presenta rotura espontánea del bazo1,3.
Suele presentarse a una edad mediana, aunque se ha descrito algún caso en niños4.
Las lesiones por TC no son características y pueden llegar a comportarse, tras el contraste por vía intravenosa, de forma parecida a los hemangiomas, aunque éstos no suelen ser múltiples.
Hallamos descripciones en la bibliografía de imágenes por TC que, sin contraste, suelen ser hipointensas, heterogéneas o hiperintensas (por hemorragia aguda o depósito de hemosiderina).
Tras la administración de contraste las lesiones suelen ser hipointensas con captación anular o incluso se ha descrito un progresivo realce centrípeto semejante a un hemangioma5,6.
Para algunos autores, ecográficamente se asemejan a los quistes hidatídicos, a menudo con calcificaciones7,8.
No realizamos ni hemos hallado ninguna descripción sobre la posible utilidad de la tomografía por emisión de positrones, que teóricamente podría ser útil.
En todos los casos presentados en la bibliografía, el tratamiento ha sido quirúrgico mediante esplenectomía.
El pronóstico es malo, con una supervivencia media de 14,4 meses tras su detección9.
Casi siempre se presentan metástasis, especialmente hepáticas1,2.
Algunos autores han intentado el tratamiento complementario con radioterapia o quimioterapia, sin que se haya podido demostrar su eficacia.
La mayoría de los pacientes evolucionan desfavorablemente y fallece en los primeros meses, sin relación con el tratamiento aplicado; una minoría alcanza una supervivencia de 5 años.
En conclusión, se trata de una afección poco frecuente, con mal pronóstico, con unos marcadores inmunohistoquímicos que nos pueden facilitar el diagnóstico preoperatorio, ya que las imágenes radiológicas y ecográficas son bastante inespecíficas.








