Paciente de 62 años con antecedente de absceso perianal drenado 1 año antes del ingreso. Acude a urgencias por proctalgia aguda y febrícula de 48 h de evolución.
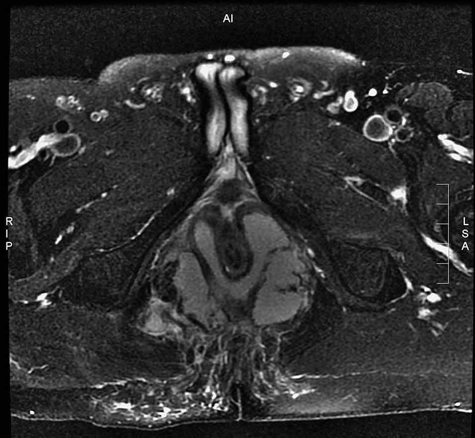
En la exploración física perianal no se apreciaban signos claros de absceso perianal. La resonancia magnética mostró un absceso perianal con componente interesfinteriano y transesfinteriano en herradura que ocupaba prácticamente la totalidad de ambos espacios isquiorrectales y con extensión craneal hasta el músculo elevador del ano sin sobrepasarlo (figs. 1 y 2).
Fig.1.
Fig.2.
Se realizó drenaje quirúrgico del absceso con contraberturas en ambas fosas isquiorrectales y el paciente evolucionó satisfactoriamente.
Diagnóstico: Absceso perianal en herradura.






