El síndrome respiratorio agudo severo causado por el coronavirus SARS-CoV-2 lleva a padecer insuficiencia respiratoria e hipoxemia grave y requiere la implementación de ventilación mecánica invasiva, además de estrategias como la posición en decúbito prono para mejorar la oxigenación arterial. Las complicaciones extrapulmonares como neumotórax espontáneo, neumomediastino o derrame pleural complican su manejo, en especial en posición de decúbito prono. La toracostomía con colocación de sonda pleural es el tratamiento de primera línea; este procedimiento conlleva un riesgo elevado de contagio por la generación de aerosoles, además del riesgo de lesión pulmonar durante la inserción del drenaje pleural debido a la posición en decúbito prono. Informamos un caso de infección por SARS-CoV-2 con asistencia ventilatoria mecánica complicada con neumotórax espontáneo que requirió colocar drenaje pleural cuando el paciente se encontraba en posición de decúbito prono. Describimos la técnica, que no se encuentra descrita en la literatura.
The severe acute respiratory syndrome caused by the SARS-CoV-2 coronavirus, leads to respiratory failure and severe hypoxemia, and requires the implementation of invasive mechanical ventilation in addition to strategies such as prone position to improve arterial oxygenation. Extrapulmonary complications such as spontaneous pneumothorax, pneumomediastinum, pleural effusion complicate its management, especially in the prone position. Chest tube thoracostomy is the first treatment line. This procedure leads to a high risk of contagion by the generation of aerosols, in addition to the risk of lung injury during insertion of the pleural drain due to the prone position. We report a case of SARS-CoV-2 infection with mechanical ventilatory assistance complicated by spontaneous pneumothorax that required placement of pleural drainage when the patient was in the prone position. We describe the technique that is not described in the literature.
El síndrome respiratorio agudo severo es una enfermedad respiratoria viral causada por el coronavirus SARS-CoV-2, que ocasiona una insuficiencia respiratoria e hipoxemia grave, requiere la implementación de ventilación mecánica invasiva, además de estrategias como la posición en decúbito prono para mejorar la oxigenación arterial. El manejo se dificulta cuando aparecen complicaciones extrapulmonares como neumotórax espontáneo, neumomediastino o derrame pleural durante el momento en que se encuentra en posición de pronación. La toracostomía con colocación de sonda pleural es el tratamiento de primera línea; este procedimiento conlleva un riesgo elevado de lesión pulmonar durante la inserción del drenaje pleural debido a la posición en decúbito prono y riesgo de contagio para el cirujano cardiotorácico por la generación de aerosoles. Informamos un caso de infección por SARS-CoV-2 con asistencia ventilatoria mecánica complicada con neumotórax espontáneo que requirió colocar drenaje pleural cuando el paciente se encontraba en posición de decúbito prono, y describimos la técnica, que no se encuentra descrita en la literatura.
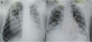
Se trata de un varón de 64 años con antecedentes de diabetes mellitus, quien presentó astenia, adinamia, odinofagia, fiebre y tos seca acompañada de disnea de medianos esfuerzos. Se realizó hisopado nasofaríngeo con resultado positivo para la infección por SARS-CoV-2, en la tomografía de tórax se observó parénquima pulmonar con múltiples imágenes en vidrio despulido y consolidaciones bilaterales indicativas de proceso infeccioso (COVID-19). Se encontraba en categoría 5 según la clasificación radiológica de afectación pulmonar por coronavirus COVID-19 Reporting and Data System ?CO-RADS?1. Fue hospitalizado para brindarle apoyo con oxígeno mediante cánulas de alto flujo, sin obtener respuesta adecuada. A los 5 días aumenta el trabajo respiratorio, presentando datos de hipoxemia, por lo que se decide intubación endotraqueal para apoyo ventilatorio mecánico. Los signos vitales en terapia intensiva fueron: temperatura 39°C, frecuencia cardíaca de 111lpm, presión arterial de 140/70mmHg, 24rpm y saturación de oxígeno del 84%. Los resultados de laboratorio más relevantes fueron los siguientes: hemoglobina 12,3g/dl, hematocrito 36,6%, plaquetas 584×103/ul, tiempo de protrombina 11,8s, INR 1,06, tiempo de tromboplastina parcial 36,9s. A pesar del tratamiento médico continúa con saturación 70-85% y acidosis respiratoria descompensada. Se decide colocar al paciente en posición de decúbito prono, con mejoría inmediata de la saturación de oxígeno al 92%. En la radiografía de tórax de control se visualiza neumotórax espontáneo derecho (60%), por lo que se realizó toracostomía con colocación de sonda pleural en posición de decúbito prono debido a la situación respiratoria crítica (PaO2/FiO2: 64mmHg, PEEP: 14cmH2O), que imposibilitaba cambiar al paciente a posición supina (fig. 1 a).
Durante el procedimiento, las medidas de protección personal utilizadas fueron: mascarilla N95, cubrebocas con careta plástica, guantes de látex estériles, goggles, overol, bata estéril y botas desechables. Se indica la presencia de 3 profesionales de atención sanitaria en el cuarto de aislamiento (2 cirujanos, una enfermera), paciente en posición de decúbito prono, flexión del antebrazo sobre el brazo, protección de hiperextensión del hombro, con elevación a 45° con rollo debajo del hemitórax derecho. Teniendo como referencia anatómica la punta de la escápula, se realiza la demarcación del sitio quirúrgico (línea axilar anterior, media, posterior, quinto y sexto espacio intercostal derecho), asepsia y antisepsia, se infiltra anestésico local (lidocaína al 2%), se prepara la unidad de drenaje torácico (kit de drenaje pleural Drentech™ Compact), sello de agua 40ml, solución salina al 0,9% más 10ml de hipoclorito de sodio. Se realiza una incisión de 1cm en el sexto espacio intercostal, línea axilar media derecha, se diseca de forma roma por planos y se realiza pausa espiratoria al ventilador mecánico. Mediante la técnica de la pinza se accede al espacio pleural a la altura del quinto espacio intercostal, utilizando una pinza uterina Bozeman para direccionar el drenaje torácico con mayor seguridad (opciones: Thoracoport™ 10,5mm, pinzas Kelly o Kocher). Se introduce una sonda pleural 32Fr pinzada en su extremo distal dirigida hacia el ápex o el vértice posterior del espacio pleuropulmonar; es conectada a la unidad de drenaje torácico, con un sistema aspiración continua que llega a un tanque de vacío exclusivo para el área COVID con motores que generan temperaturas de 100°C (fig. 2). Se realiza una radiografía de tórax de control, que evidencia la adecuada reexpansión pulmonar (fig. 1 b). Continúa el tratamiento y el seguimiento del paciente.
El síndrome respiratorio agudo severo causado por el SARS-CoV-2 fue declarado una pandemia por la OMS el 11 de marzo de 2020. Los síntomas generalmente son respiratorios, como tos, fiebre y dificultad para respirar, siendo el 20% de los casos graves o críticos2. Una parte de los pacientes hospitalizados desarrollan insuficiencia respiratoria grave. Tanto la asistencia mecánica ventilatoria como la posición en decúbito prono constituyen la línea de tratamiento para combatir el rápido desarrollo de la hipoxemia severa, permitiendo aumentar la oxigenación arterial durante la ventilación mecánica convencional, estrategia que incluso podría aplicarse en pacientes con respiración espontánea con hipoxemia profunda antes del inicio de la ventilación mecánica y la oxigenación extracorpórea, y de esta forma reducir la tasa de morbimortalidad3. Se han descrito varias complicaciones extrapulmonares asociadas a la infección por SARS-CoV-2 (neumomediastino 12%, neumotórax 1,7%, derrame pleural [raro]) relacionadas con la ventilación mecánica y la intubación, que conllevan una mortalidad alta (60%) cuando la detección y el tratamiento no son oportunos4–7. El tratamiento de primera línea para neumotórax espontáneo es la toracostomía con colocación de sonda pleural. Al cirujano cardiotorácico este procedimiento le supone un riesgo elevado de contagio por la generación de aerosoles, y para el paciente también existe el riesgo de lesión pulmonar durante la inserción del drenaje pleural debido a la posición de decúbito prono, incluso en manos experimentadas8,9. Las técnicas de colocación de drenaje pleural descritas en la literatura, sea mediante técnica de pinza o con trocar, se realizan en posición sentada, semisentada, decúbito supino y decúbito lateral, y el sitio más apropiado para la colocación del tubo torácico es el cuarto o quinto espacio intercostal en la línea axilar anterior o media tomando como referencia el triángulo de seguridad10. Las complicaciones asociadas al drenaje torácico oscilan entre un 3 y un 18%; estas incluyen hemotórax, fuga aérea, enfisema subcutáneo, laceraciones pulmonares y lesiones en los órganos de la cavidad torácica o abdominal, y están relacionadas con la experiencia del operador11.
ConclusiónEl neumotórax espontáneo es una complicación potencialmente mortal que se debe tener presente en el diagnóstico diferencial de los pacientes con COVID 19, con el objetivo de brindar su detección y un tratamiento oportuno. La colocación de una sonda pleural en posición de decúbito prono es un método desafiante para el cirujano por el riesgo de lesión de parénquima pulmonar, estructuras adyacentes y riesgo de contagio por la generación de aerosoles. La colocación de drenaje pleural en decúbito prono es una técnica es segura, rápida y reproducible. A medida que los casos de COVID 19 continúan aumentando en todo el mundo, existe una necesidad de aplicar nuevas técnicas seguras en el tratamiento de las complicaciones extrapulmonares de esta enfermedad.
Conflicto de interesesLos autores declaran no tener ningún conflicto de intereses.





