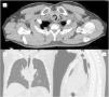
Los tumores glómicos de tráquea son lesiones de presentación inusual o rara, representan el 2% de los tumores de tejidos blandos, son benignos, y se generan en el tejido mesenquimal de las anastomosis arteriovenosas1. La presentación clínica es inespecífica y con frecuencia se diagnostican erróneamente con enfermedades respiratorias como asma bronquial, bronquitis, entre otras. Las manifestaciones clínicas severas se dan cuando se obstruye>70% de la luz traqueal y se dan con la presencia de disnea de mínimos esfuerzos2. Su diagnóstico puede ser incidental en estudio de imágenes, o con la presentación de síntomas respiratorios de larga evolución u obstrucción severa de la vía respiratoria superior. Continúa el debate respecto a su tratamiento y los resultados a largo plazo, teniendo en cuenta las diversas alternativas a la resección traqueal segmentaria, incluido el tratamiento endoscópico o la radioterapia. El tratamiento quirúrgico tiene como objetivo eliminar la obstrucción de la vía respiratoria, curación definitiva en lesiones de crecimiento lento y prolongar la supervivencia a largo plazo3. Informamos de un caso de tumor glómico de tráquea con obstrucción de la luz traqueal del 90%, que requirió plastia traqueal con la resección tumoral como tratamiento definitivo, describimos el manejo y actualización de la literatura. Hombre de 55 años con antecedentes de cirugías previas de herniorrafia umbilical, hemorroidectomía, septoplastia, covid 19 (enfermedad leve), quien presentó desde hacía 6 meses tos seca, ronquidos, acompañado de disnea de medianos esfuerzos, recibiendo tratamiento médico para asma bronquial sin disminución o remisión de los síntomas. En la tomografía de cuello y tórax se observó tumor de densidad definida ligeramente irregular, protruyendo desde la pared posterior y lateral derecha aproximadamente a 3,5cm subglótica, pediculada de 12 x 15mm de diámetro que se proyecta hacia la luz traqueal que mide 12,5 x 22 x 15mm, densidad ligeramente heterogénea con coeficiente de atenuación entre – 26 y 17 UH que condiciona estenosis de luz traqueal del 90%, sin compromiso esofágico y sin evidencia de adenopatías locorregionales (figs. 1 y 2). En la broncoscopia se evidenció una masa vegetante infiltrativa que se origina en porción posterior de la tráquea por debajo de primer anillo traqueal, vascularizada con membranas blanquecinas adheridas, que condiciona una obstrucción del 90% de la luz traqueal, por su alto riesgo de sangrado y asfixia se decidió tratamiento quirúrgico (fig. 3). Se realiza tratamiento quirúrgico de urgencia que consistió en la resección de masa tumoral de 12 x 20 x 15mm de diámetro de aspecto sólido, multilobulado a nivel de segundo anillo traqueal en la pared posterior traqueal (pars membranacea) y plastia traqueal.
Tomografía de cuello y tórax: a) corte axial, b) corte coronal y c) corte sagital. El tumor protruye de la pared posterior y lateral derecha de la tráquea, pediculada de 12 x 15mm de diámetro que se proyecta hacia la luz traqueal que mide 12,5 x 22 x 15mm, coeficiente de atenuación– 26 y 17 UH, que condiciona estenosis de luz traqueal del 90%, sin compromiso esofágico y sin evidencia de adenopatías locorregionales.
Procedimiento: la técnica anestésica y quirúrgica consistió en monitorización cardiopulmonar continua, inducción para anestesia general, colocación de mascarilla laríngea, posteriormente se procedió a posicionar en decúbito supino con hiperextensión de cuello mediante la colocación de bulto siliconado en región de la espalda, asepsia y antisepsia, colocación de campos quirúrgicos, colocación de anestésico local en región cervical anterior, diéresis de cervicotomía anterior. Con electrobisturí monopolar se realiza disección de plano muscular y desplazamiento ascendente de glándula tiroides obteniendo una adecuada exposición traqueal, se realizó traqueotomía transversa con bisturí frío n.° 20 a nivel de 3er anillo traqueal, respetando la pars membranacea, de forma inmediata en coordinación con anestesiología se introduce tubo endotraqueal 7 Fr por la luz distal a la incisión traqueal y se conecta a circuito estéril para continuar con ventilación mecánica. La anestesióloga retira la máscara laríngea, procedimos a exploración traqueal proximal identificando tumoración con características antes mencionadas, se realizó con disección roma (gasas - cánula de aspiración) y coagulación con electrobisturí de 5 – 10 watts, hasta lograr exéresis tumoral, se evidencia sangrado importante en lecho tumoral y se controla con sutura absorbible poliglactina 3-0, en coordinación con anestesiología y de forma sincronizada se introduce tubo orotraqueal proximal hacia luz distal, se retiró de tubo distal a incisión traqueal, dando continuidad a ventilación mecánica orotraqueal, la plastia traqueal consistió en anastomosis término terminal con puntos simple de seda 3-0. Se realizó revisión de aerostasia con solución fisiológica en sitio de sutura traqueal sin presencia de fuga aérea, colocación de drenaje de Jackson Pratt fijado con seda 0 en la piel, se inicia la síntesis con cierre de plano muscular y tejido celular subcutáneo con poliglactina 2/0, piel con poliamida 3/0, se procede a reversión anestésica y extubación en el intraoperatorio, procedimiento sin complicaciones, pasando a una sala de recuperación postoperatoria durante 4 h y luego paso a una sala de hospitalización (fig. 4). El estudio histopatológico reportó un tumor de células redondas pequeñas y azules, se realiza pruebas de inmunohistoquímica vimentina, actina, CK, AE1/AE3 y sinaptoficina positivos, KI 5%, bordes libres, negativo para malignidad concluyendo que se trata de un tumor glómico (fig. 5). El paciente evoluciona favorablemente, egresando al quinto día de hospitalización, con 9 meses de seguimiento encontrándose asintomático, se realizó control tomográfico de cuello y tórax, reportó luz traqueal permeable sin lesiones (fig. 6). Es valorado por departamento de oncología quienes determinaron que no requirió tratamiento oncológico debido a su etiología benigna.
Estudio histopatológico: tinción HE 40 X. Tumor de células redondas pequeñas y azules se realiza pruebas de inmunohistoquímica vimentina, actina, CK, AE1/AE3 y sinaptoficina positivos, KI 5%, bordes libres, negativo para malignidad concluyendo que se trata de un tumor glómico. El color de la figura solo puede apreciarse en la versión electrónica del artículo.
Los tumores glómicos son lesiones benignas que se generan en el músculo liso a nivel de las anastomosis vasculares arteriovenosas responsables de la regulación de la temperatura. Estas neoplasias pueden presentarse en cualquier parte del cuerpo, su localización más frecuente es a nivel cutáneo en región subungueal, siendo extremadamente raro e inusual su presentación a nivel de la tráquea, y a nivel endobronquial, sin embargo, se han descrito también tumores glómicos extracutáneos en esófago, pulmones, aorta abdominal, riñón, vejiga urinaria4–6.
Su presentación clínica puede variar entre asintomático 6,5% a 10%, y según diferentes reportes de casos los sintomáticos se presenta con tos 51 a 54,55%, disnea 52,86 a 54,55% y hemoptisis 44,16% a 45,71%. Los pacientes presentan dolor torácico entre un 7,9 a 8,57% y opresión en el pecho, fiebre y ronquera 7,14%3,7.
La ubicación más común es la tráquea distal 35 a 54%, seguida de la tráquea proximal 20 a 24%, luego la tráquea media (22%) y bronquial en el 20,78%. Además, el tamaño medio del tumor era de 2,0cm (rango 1,2-3,0cm), estas distribuciones proponen que en su mayoría los tumores glómicos se presentan en el segmento inferior de la tráquea, secundario a las numerosas glándulas y vasos mucosos2,3.
Los tumores glómicos tienen diferentes comportamientos y están en relación con los subtipos patológicos (benigno, potencial maligno incierto, maligno), la mayoría son benignos y solo un 5% muestra histología maligna8,9.
En la evaluación histológica las células tumorales tienen núcleos redondos u ovalados y citoplasma eosinófilo y están dispuestas en láminas que forman collares alrededor de vasos del tamaño de capilares que están muy alineadas, la tinción positiva para actina del músculo liso, vimentina, y colágeno tipo IV, pero sin tinción positiva para tumores carcinoides, incluidos cromogranina, CK, desmina y proteína S-1008,10.
La resección segmentaria con reconstrucción mediante plastia traqueal es el tratamiento de elección para el tumor del glomus traqueal, permitiendo una extracción completa con márgenes libres de tumor (R 0), es curativa, sin requerir tratamientos adyuvantes y con un pronóstico excelente. El abordaje endoscópico mediante broncoscopia tiene indicaciones limitadas, debiéndose utilizar como manejo de primera línea en urgencias donde es imperativo el restablecimiento de la permeabilidad de las vías respiratorias; o el paciente no está apto o no está dispuesto a someterse a una resección quirúrgica. La biopsia tumoral por broncoscopia se recomienda, debido a su origen en tejidos vasculares el riesgo de sangrado es muy alto y condiciona elevada probabilidad de asfixia durante el procedimiento intervencionista. Las técnicas intervencionistas como la fotocoagulación con láser, electrocoagulación de alta frecuencia, reducción mecánica de volumen con el borde biselado, coagulación con plasma de argón o radioterapia se utilizan para tratar la recurrencia del tumor3,8.
El tumor glómico es un tumor benigno raro e inusual en el tracto respiratorio traqueobronquial. La sospecha clínica de tumor glómico debe apoyarse en la ubicación y el estudio histopatológico e inmunohistoquímica. El tratamiento de elección es la resección segmentaria y plastia traqueal con el objetivo de evitar la recurrencia del tumor y el sangrado; el intervencionismo con broncoscopio en urgencias se utiliza para restituir la permeabilidad de la vía respiratoria.
Consideraciones éticasSe obtuvo el consentimiento informado por escrito del paciente para la publicación del artículo.
Conflicto de interesesLos autores declaran no tener ningún conflicto de intereses.









