Presentamos el caso de un varón de 21 años de edad, el cual ingresa a nuestra institución a causa de disnea y descubrimiento fortuito de soplo continuo. Terminado el estudio correspondiente, diagnosticamos la presencia de una coronariopatía congénita del tipo nacimiento anómalo de la arteria coronaria izquierda con origen en el tronco de la arteria pulmonar (síndrome de Bland-White-Garland). El tratamiento elegido durante el acto quirúrgico fue la ligadura de la coronaria anómala en la parte exterior del tronco de la pulmonar, complementando con la anastomosis de la arteria mamaria interna izquierda a la descendente anterior. No se presentaron complicaciones en el procedimiento ni en el postoperatorio inmediato. Un año después, el paciente se encuentra asintomático. Teniendo en cuenta que se trata de una malformación de poca frecuencia en esta edad y que la experiencia quirúrgica actual no es suficiente, consideramos que el manejo quirúrgico elegido en este caso es una alternativa segura en aquellos pacientes en los que no sea posible una corrección anatómica total.
A 21-year-old man was admitted to our institution because of dyspnea and a cardiac murmur. Further analysis led to the diagnosis of Bland-White-Garland syndrome (anomalous origin of the left coronary artery from the pulmonary artery [AlCAPA]). Ligation of coronary anomaly outside of the pulmonary trunk and the anastomosis of the left internal mammary artery to the left anterior descending artery as a pedicled graft were uneventfully performed. One year later the patient is asymptomatic. Due to the low frequency of the case and the scanty experience with the surgical management of these abnormalities, we proposed this is a safe procedure in a young adult.
Las anomalías congénitas de las arterias coronarias son malformaciones a las cuales los cirujanos cardiovasculares de adultos nos enfrentamos en muy pocas ocasiones debido a que se presentan sólo en el 0,2-1% en este grupo etario1. Así, la detección y el manejo oportuno en pacientes adultos asintomáticos o levemente sintomáticos es de gran importancia debido a que es una enfermedad que puede ser potencialmente fatal. El cuadro clínico y el manejo es variable de acuerdo con la edad, por lo que se presenta el proceso diagnóstico y tratamiento quirúrgico seleccionado para la resolución de este síndrome en un paciente adulto joven.
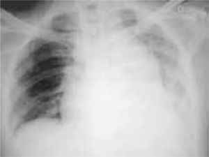
Caso clínicoPaciente varón de 21 años de edad que ingresa a nuestra unidad por el descubrimiento incidental de soplo continuo a nivel del foco pulmonar, además de disnea de moderados esfuerzos. Se inicia el estudio cardiovascular correspondiente con paraclínicos y gabinete propios al caso, obteniendo en la telerradiografía de tórax sólo un aumento considerable en el botón pulmonar del perfil izquierdo del corazón (Fig. 1). Al realizar el rastreo ecocardiográfico se identifica la ausencia de comunicación del tronco de la arteria coronaria izquierda al seno coronario correspondiente en la aorta, observándose un origen en el seno coronario izquierdo de la arteria pulmonar. La coronariografía confirma dilatación considerable de la arteria coronaria derecha, permitiendo ésta un llenado retrógrado del sistema arterial coronario izquierdo, el cual drena en la arteria pulmonar por un tronco anómalo de la coronaria izquierda (Fig. 2). Debido a la posibilidad de alteraciones en la perfusión cardíaca que se pueden presentar en las anomalías coronarias se realizó prueba de esfuerzo con protocolo de Bruce modificado, obteniendo cambios electrocardiográficos inespecíficos para isquemia.
Una adecuada y precisa identificación anatómica de una malformación de estas características es parte fundamental para su estudio y la corrección definitiva, por lo que se practicó angiotomografía coronaria, en la que se observó con mayor claridad el origen real del tronco anómalo (Fig. 3). Ello orientó para tomar una decisión acerca del plan quirúrgico inicial, ya que lo consideramos distante para realizar una corrección anatómica con reimplante del botón coronario o una tunelización, procedimientos de primera elección en esta enfermedad, dejando como posibilidad inicial la ligadura del mismo con la revascularización correspondiente.
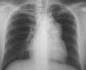
Realizamos el procedimiento a través de esternotomía media (Fig. 4); la aorta se observa en posición normal con una proporción de diámetro inversa respecto al tronco de la pulmonar, ya que prácticamente su diámetro es un 50% más pequeño; el arco aórtico se encuentra a la izquierda y las arterias coronarias a simple vista se perciben muy dilatadas y tortuosas pero con un trayecto normal. La arteria anómala se origina del seno de Valsalva izquierdo del tronco pulmonar, lográndose identificar desde su origen aparente en la parte posterolateral izquierda del tronco de la arteria pulmonar a 1,5cm de distancia de la unión ventriculoarterial. El tronco de la arteria pulmonar se observó dilatado (5,5cm), palpándose además un frémito correspondiente a la fístula ocasionada por el drenaje anómalo de la circulación coronaria izquierda hacia el tronco pulmonar. Se decidió realizar la ligadura del tronco de la arteria coronaria izquierda en el origen de la arteria pulmonar, así como la revascularización miocárdica de la arteria descendente anterior con injerto pediculado de arteria mamaria interna izquierda por el tamaño de la arteria pulmonar, que dificultaba la disección. Fue dado de alta después de un postoperatorio sin complicaciones. Un año después, el paciente se mantiene asintomático y con disminución radiográfica considerable del arco que representa a la arteria pulmonar (Fig. 5). Por otro lado, se ha reintegrado a sus actividades y sólo se mantiene en vigilancia médica.
DiscusiónComo la mayor parte de las anomalías coronarias, el síndrome de Bland-White-Garland tiene una baja incidencia en la población general, sin embargo, cuando se hace referencia a la edad adulta ésta es aún menor. La corrección quirúrgica ha sido objeto de múltiples variaciones y tendencias; de hecho, la experiencia actual, en la mayoría de los grupos quirúrgicos a nivel mundial, para la resolución definitiva de esta enfermedad es en pacientes pediátricos. Esto se puede observar en trabajos realizados desde 1953, cuando Mustard comunicó una anastomosis terminoterminal entre la arteria carótida común y una coronaria anómala emergente del tronco de la arteria pulmonar, o bien, como en 1974, cuando Neches, et al. describen por primera vez el reimplante directo de la arteria coronaria izquierda anómala en la aorta con un botón de la arteria pulmonar2.
La creación de dos sistemas coronarios es el objetivo principal del tratamiento quirúrgico de esta anomalía; a partir de que Takeuchi, et al. publicaron su técnica propuesta para la formación de un sistema doble3, ésta ha sido utilizada con excelentes resultados como tratamiento de primera línea de esta anomalía en gran parte de los pacientes pediátricos intervenidos, como lo podemos observar en los trabajos hechos por Cochrane, el cual emplea la técnica en la mayor parte de sus casos4. Lo complejo de la anatomía de algunos enfermos ha hecho que la técnica para la formación de dos sistemas coronarios sufra modificaciones, tal como describe Ando5, quien realiza el reimplante de la coronaria con una técnica con colgajo posterior.
En niños y en personas jóvenes, la técnica que ha ofrecido mejores resultados es el reimplante de la arteria coronaria anómala por medio de la transferencia de un botón de la arteria pulmonar hacia la aorta6 aun en casos en que la anatomía de la arteria no permite un reimplante de manera sencilla, tal y como Turley lo describe en su revisión de casos7. Para lograr este objetivo, se han propuesto varias opciones para realizar dichos implantes, esto debido a las variaciones anatómicas que se presentan, como lo propone Amanullah8, que utiliza una elongación del tronco anómalo para poder realizar el reimplante.
La situación quirúrgica cambia radicalmente en la edad adulta, ya que la anatomía de la arteria pulmonar y de la coronaria anómala se modifican de manera importante por el cortocircuito existente durante el transcurso de los años, lo que reduce las posibilidades quirúrgicas en estos pacientes por la dificultad técnica que éstos ofrecen. Por otro lado, la baja incidencia de estos casos en este grupo etario hace que no exista amplia experiencia en la resolución de los mismos, por lo que las comunicaciones son escasas8. Sin embargo, hasta el momento existen dos posibilidades quirúrgicas en el adulto: 1) la ligadura del tronco de la arteria coronaria anómala y la revascularización del lecho, y 2) el reimplante de la arteria coronaria de manera directa o indirecta. Inclusive, en el consenso de la ACC/AHA de 20089 para el manejo de las malformaciones con-génitas en el adulto, se plantea como una recomendación quirúrgica la resolución de la enfermedad con cualquiera de estas dos alternativas de manejo, siendo el objetivo principal la revascularización y formación de dos sistemas coronarios para la mejora en la sobrevida.
El reimplante de la arteria anómala en pacientes adultos es una alternativa técnicamente difícil, ya que la anatomía desfavorable de los grandes vasos, aunado a la disminución de la elasticidad de los vasos coronarios a esta edad, hace que la técnica pueda ofrecer malos resultados y comprometer la vida del paciente10. En el caso del paciente que nos ocupa, consideramos difícil el reimplante o la tunelización por el tamaño de la arteria pulmonar y la distancia para dichas acciones, teniendo un alto riesgo de fracaso a corto o mediano plazo. El resultado obtenido en este caso sugiere que una alternativa en el manejo quirúrgico del nacimiento anómalo de la arteria coronaria izquierda con origen en la arteria pulmonar, en el paciente adulto, es la ligadura del origen de la arteria coronaria anómala seguida de la anastomosis de la arteria mamaria interna izquierda pediculada hacia la descendente anterior, considerando ésta una alternativa segura en aquellos pacientes en los que por alguna razón no sea posible una corrección anatómica total.








