El lipoma suprarrenal es un tumor benigno sumamente infrecuente, compuesto por tejido adiposo maduro o monovacuolar1; generalmente se descubre de manera incidental, suele ser unilateral y mayormente del lado derecho, siendo considerado como hallazgo clínico aleatorio. Presenta una prevalencia del 4% y una incidencia del 8,7% mundialmente. Se asocia con morbilidades como hipertensión arterial, diabetes mellitus y obesidad, siendo frecuente mayormente después de los 50 años2.
En este rubro, los lipomas se caracterizan por no ser funcionales, lo que revela por qué la mayoría de ellos han sido detectados incidentalmente mediante investigaciones de estudios de imagen por otras patologías o en la autopsia3. Dentro de su etiología no se conoce con exactitud, pero existen hipótesis que sugieren ser el resultado de una metaplasia de las células adrenocorticales precipitada por estrés crónico, infección o necrosis4; además, la presentación clínica en los pródromos inespecíficos puede dificultar el diagnóstico oportuno.
Presentamos el caso de un paciente femenino de 50 años con antecedentes patológicos de hipertensión arterial, hipotiroidismo y obesidad tipo I (índice de masa corporal: 34,72kg/m2), quien refirió consulta asintomática y de rutina con ecografía en un hospital privado el cual mostró la presencia de quiste simple cortical renal izquierdo de 5mm; además de contar con antecedente de una ecografía abdominal realizada hacía 6 meses sin hallazgos a destacar.
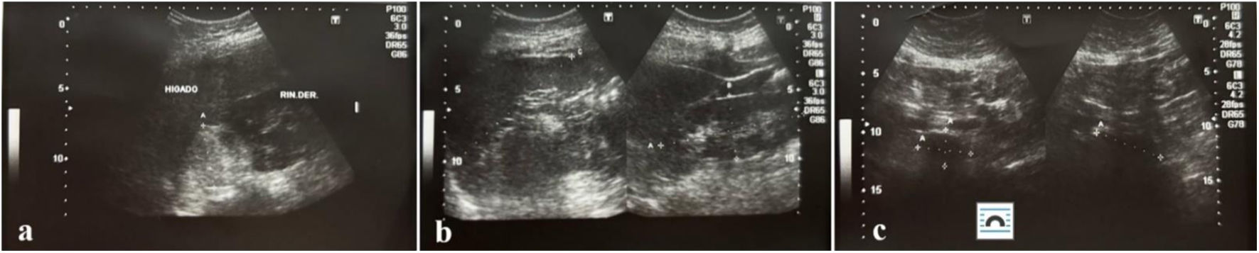
Posteriormente, a los 6 meses, se realizó una ecografía de rutina, en la cual se observó una masa redonda e hiperecoica de 44mm en el espacio hepato-renal, de etiología aún por determinar en la glándula suprarrenal derecha (fig. 1). Se recomendó realizar una tomografía computarizada (TC) abdominal con contraste, la cual describió una tumoración sólida, redondeada, bien definida, de 53×46mm, localizada en la glándula suprarrenal derecha (fig. 2), sin realce tras la administración del medio de contraste. Las estructuras vasculares se encontraron con trayecto y calibre normales, y no se evidenciaron lesiones en las estructuras óseas ni en el retroperitoneo.
Imágenes ecográficas renal y pélvica a los 6 meses de la evaluación inicial. a) Hígado y riñón derecho en forma y situación anatómica normal, bordes regulares y bien definidos, ecoestructura interna homogénea con ecogenicidad dentro de la normalidad b). Se observa en el espacio hepato-renal una masa redondeada a determinar. c) En el espacio hepato-renal, masa redonda hiperecoica de 44mm.
Tras informar a la paciente sobre las características benignas de esta tumoración y confirmar que no se requería tratamiento quirúrgico inmediato, se recomendó seguir una dieta balanceada que incluyese una variedad de alimentos nutritivos, bajos en grasas saturadas, entre otros; además, se destacó la importancia de las revisiones periódicas para monitorizar su estado de salud y prevenir futuras complicaciones.
En este caso, consideramos que la realización de estudios de rutina revela hallazgos que contribuyen de manera significativa a la preservación y mejora de la salud de las personas desde el primer nivel de atención en salud. Los estudios de imagen permiten identificar de manera temprana posibles anomalías o condiciones; es así como la ecografía logró realizar el hallazgo de una masa redonda, siendo la TC la confirmación del diagnóstico.
FinanciaciónEste trabajo no ha recibido ningún tipo de financiación.
Consideraciones éticasLos autores siguen los lineamientos éticos en cuanto a la privacidad de los datos personales de los pacientes, mediante un consentimiento informado previamente. El presente estudio cumple con los criterios de ética de la Declaración de Helsinki, además de los señalados en el Reglamento de la Ley General de salud en materia de investigación para la salud en México; siendo considerado como una investigación sin riesgo, debido a las técnicas empleadas.
Conflicto de interesesLos autores declaran no tener ningún conflicto de interés.





