El riñón en herradura (RH) es la anomalía congénita de fusión renal más común, con una prevalencia estimada del 0,25% en la población general1. Se produce por la fusión de los polos inferiores de ambos riñones durante el desarrollo embrionario, lo que impide su ascenso normal y provoca una ubicación más baja en el abdomen, con rotación anómala y vascularización variable2. En más del 90% de los casos la fusión ocurre en los polos inferiores, formando un istmo que cruza la línea media, generalmente por delante de los grandes vasos3.
Desde un punto de vista embriológico, esta fusión anormal se da entre la cuarta y la sexta semanas de gestación, antes del ascenso definitivo de los riñones. La posición baja resultante y la complejidad vascular del RH pueden generar dificultades quirúrgicas o predisposición a traumatismos abdominales. Aunque muchos pacientes permanecen asintomáticos a lo largo de la vida, el RH se detecta a menudo de forma incidental durante estudios de imagen solicitados por síntomas inespecíficos. En población pediátrica su hallazgo es común al investigar dolor abdominal, infecciones urinarias recurrentes o alteraciones en pruebas de laboratorio1.
Presentamos el caso de un niño de 10años con molestias abdominales difusas posprandiales. La exploración física fue completamente normal. La ecografía abdominal mostró ambos riñones en localización ortotópica, unidos por un istmo parenquimatoso retroperitoneal en la línea media, sin otras alteraciones estructurales. Este hallazgo fue compatible con un diagnóstico incidental de RH, sin evidencia de complicaciones asociadas (figs. 1 y 2 y vídeo).
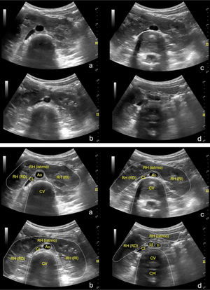
Cortes ecográficos donde se visualiza el RH (arriba) con identificación de las diferentes estructuras (abajo). a)Corte transversal del abdomen a nivel de la línea media de epigastrio inferior, donde se visualiza el istmo (RH [istmo]) del riñón en herradura (RH), que une a ambos riñones por sus polos inferiores (derecho: RH-RD; izquierdo: RH-RI). Inmediatamente debajo del mismo se visualizan dos estructuras anecogénicas, una de morfología circular, que corresponde a la aorta descendente (Ao), y otra fusiforme, de disposición oblicua y a la izquierda de la anterior, que corresponde a la vena cava inferior (CI). b)Corte similar al anterior, inmediatamente debajo del mismo, donde se expone un mayor espesor de ambos riñones. c)Corte similar a nivel de mesogastrio, donde la Ao comienza a dividirse en las dos arterias iliacas. d)Corte inmediatamente debajo del anterior, donde se visualiza la porción inferior del istmo y polo inferior del RD (más caudal que el contralateral) y las dos arterias iliacas (Id: derecha; Ii: izquierda) tras la bifurcación de la Ao.
CM: canal medular; CV: cuerpo vertebral.
a)Corte transversal del abdomen a nivel de la línea media de epigastrio inferior, con Doppler color, donde se visualiza el RH, la Ao (en rojo) y, a la izquierda, la CI (en azul y mezcla de azul y rojo). b)Imagen previa con delimitación del RH. c)Corte oblicuo a nivel de hipocondrio izquierdo donde se objetiva el riñón izquierdo y su vascularización, mediante Doppler color. d)Imagen previa con delimitación del RI.
El diagnóstico de RH tiene implicancias clínicas importantes. Hasta un 50% de los niños con esta malformación pueden desarrollar complicaciones urológicas como litiasis renal, obstrucción de la unión pieloureteral e infecciones del tracto urinario, que pueden comprometer la función renal si no se detectan y tratan oportunamente. Además, pueden coexistir anomalías extrarrenales, como cardiopatías congénitas, defectos del tubo neural y síndromes cromosómicos4.
Las técnicas de imagen como la ecografía, la tomografía computarizada (TC) y la resonancia magnética (RM) son fundamentales para una adecuada caracterización anatómica del RH y para la detección de complicaciones. La ecografía abdominal, al ser una prueba inocua, accesible y no invasiva, constituye la herramienta diagnóstica de primera elección en el ámbito de la atención primaria. No obstante, su sensibilidad puede verse limitada ante variaciones anatómicas complejas o en pacientes con sobrepeso, por lo que se recomienda complementar con estudios más específicos en caso de duda diagnóstica o hallazgos atípicos5.
El seguimiento de los pacientes con RH debe adaptarse al contexto clínico individual. En casos asintomáticos puede optarse por un manejo conservador con controles periódicos. Se sugiere una vigilancia nefrourológica regular mediante controles de función renal, análisis de orina y estudios de imagen de seguimiento. La derivación a nefrología o urología está indicada ante la aparición de síntomas urinarios, deterioro funcional o sospecha de complicaciones estructurales. La cirugía queda reservada para casos de obstrucción significativa, litiasis recurrente, infecciones de repetición o sospecha de neoplasias6.
En conclusión, el diagnóstico ecográfico incidental de RH en atención primaria representa una oportunidad para establecer un enfoque preventivo y multidisciplinar. El conocimiento de esta entidad permite al médico de familia y al pediatra anticiparse a posibles complicaciones, optimizar el seguimiento clínico y mejorar la calidad de vida del paciente a largo plazo.
FinanciaciónLos autores manifiestan que no han recibido financiación alguna para la elaboración del manuscrito.
Consideraciones éticasLos autores confirman que se han obtenido todos los consentimientos requeridos por la legislación vigente para la publicación de cualquier dato personal o imágenes de pacientes, sujetos de investigación u otras personas que aparecen en los materiales enviados a Elsevier, se han realizado todos los procedimientos éticos y se han respetado los derechos de privacidad de los sujetos humanos.
Los autores conservan una copia escrita de todos los consentimientos y, en caso de que Elsevier lo solicite, aceptan proporcionar las copias o pruebas de que de dichos consentimientos han sido obtenidos.
Conflicto de interesesLos autores declaran no tener conflicto de intereses alguno con respecto a los datos contenidos en el manuscrito ni en la publicación de los mismos.





