Introducción. La detección de aire libre en la cavidad abdominal refleja generalmente la perforación de una víscera hueca y, en consecuencia, establece la necesidad de cirugía urgente1.
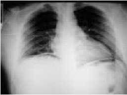
Caso clínico. Un varón de 38 años consultó por dolor súbito abdominal desde hacía 3 h. El dolor era continuo, localizado inicialmente en epigastrio e hipocondrio derecho y generalizado a todo el abdomen al cabo de 1 h. Se acompañaba de náuseas y vómitos. El paciente era fumador y 6 años antes fue diagnosticado mediante una endoscopia de úlcera péptica, pero no tomó fármacos antisecretores. En la exploración destacaba un aspecto de gravedad y signos de irritación peritoneal, pero estabilidad hemodinámica. Tanto la radiografía de abdomen en bipedestación como la de tórax evidenciaron una colección de gas con morfología de media luna en la región infradiafragmática derecha, que sugería neumoperitoneo (NP) (fig. 1). El paciente fue intervenido con urgencia, demostrándose una úlcera gástrica perforada, que requirió gastrectomía parcial. El postoperatorio cursó sin complicaciones.
Figura 1. Radiografía de tórax: colección de gas con morfología de media luna en la región infradiafragmática derecha.
Discusión y conclusiones. En el diagnóstico diferencial de una abdominalgia aguda difusa se deben considerar las siguientes entidades: gastroenteritis aguda (la más frecuente), obstrucción intestinal, isquemia mesentérica aguda y perforación de víscera hueca1. En el último supuesto, la salida de aire hacia la cavidad peritoneal se conoce como NP. El 85-95% de los casos de NP no inducido por cirugía se deben a una perforación visceral2. El gas que se libera al perforarse una víscera hueca abdominal no sólo se puede extender al espacio peritoneal, sino también al mediastino (neumomediastino) o a los tejidos blandos (enfisema subcutáneo)3. Cuando la víscera afectada es el estómago o duodeno, como en el caso expuesto, la anamnesis evidencia en muchas ocasiones una historia de úlcera péptica, y el paciente puede discriminar el dolor que ocasiona esta última del producido por el NP, que es más intenso y agudo, y se generaliza rápidamente al resto del abdomen cuando se desarrolla la peritonitis4. El NP se suele confirmar con una radiografía simple de tórax o abdomen en bipedestación, que mostrarán gas infradiafragmático. La tomografía computarizada es más sensible que la radiografía simple para detectar pequeñas cantidades de aire intraperitoneal5.
Aunque la presencia de NP establece la necesidad de cirugía, en ocasiones, la acumulación de gas en el peritoneo responde a su filtración (microperforación) desde la pared gástrica, útero o trompas de Falopio, un mecanismo que también puede estar presente después de una resucitación cardiopulmonar1,6. En esta pequeña proporción de pacientes, inferior al 10%, sin signos clínicos de irritación peritoneal ni datos biológicos de infección, la observación clínica puede ser suficiente, hasta la reabsorción completa del NP en varias semanas1,2.




