Editado por: Yesica Quiroz Madarriaga
Fundació Puigvert, Barcelona, España
Lisette Aimee t'Hoen
Department of Pediatric Urology, Erasmus MC University Medical Center, Rotterdam-Sophia Children's Hospital, Rotterdam, the Netherland
Última actualización: Septiembre 2025
Más datosLas anomalías congénitas renales y urogenitales representan una parte importante de todas las anomalías congénitas. Estas varían desde afecciones leves y transitorias hasta formas graves que conducen a daño orgánico irreversible o mortalidad perinatal. La identificación prenatal oportuna es crucial para que los futuros padres y sus profesionales de salud puedan decidir sobre la continuación del embarazo o para una planificación cuidadosa de la atención perinatal y posnatal.
ObjetivoDescribir las indicaciones más comunes de derivación por malformaciones renales y urogenitales fetales, el proceso para realizar el diagnóstico diferencial basado en la ecografía prenatal y la coordinación entre la atención pre- y posnatal en un centro de atención terciaria en los Países Bajos.
ResultadosLas indicaciones más comunes para la derivación por malformaciones renales y urogenitales fetales son: 1)anomalías del parénquima renal; 2)dilatación de las vías urinarias; 3)aspecto vesical anormal, y 4)genitales anormales. En el diagnóstico diferencial, la evaluación ecográfica es fundamental para determinar la región específica del sistema urogenital afectada, su aparición durante el embarazo y su evolución a lo largo de la gestación. La atención pre- y posnatal integrada para este tipo de malformaciones se basa en un enfoque multidisciplinar para orientar la toma de decisiones parentales sobre la continuación del embarazo y optimizar los resultados. Algunos casos solo requieren la atención perinatal habitual en centros de atención secundaria, mientras que las malformaciones complejas se benefician de una planificación especializada en centros terciarios para mejorar los resultados.
ConclusionesLa evaluación ecográfica específica de las anomalías renales y urogenitales fetales en un centro de atención terciaria permite un diagnóstico preciso y una planificación individualizada del manejo, especialmente en los casos complejos. Este enfoque proporciona a los padres información oportuna, apoya la toma de decisiones y guía la atención perinatal individualizada.
Congenital renal and urogenital anomalies represent a major part of all congenital anomalies. These range from mild, transient conditions to severe forms leading to irreversible organ damage or perinatal mortality. Timely prenatal identification is crucial for expecting parents and their healthcare providers to decide about the continuation of a pregnancy or for careful planning of perinatal and postnatal care.
ObjectiveTo describe the most common indications for referral of fetal renal and urogenital malformations, the process of narrowing the differential diagnosis based on prenatal ultrasonography and the coordination between prenatal and postnatal care in a tertiary care center in the Netherlands.
ResultsThe most common indications for referral of fetal renal and urogenital malformations are: (1)abnormal renal parenchyma; (2)urinary tract dilatation; (3)abnormal bladder appearance, and (4)atypical genitalia. In the differential diagnosis, ultrasonographic evaluation is crucial to determine the specific region of the urogenital system affected, its onset during pregnancy, and its progression throughout gestation. Integrated prenatal and postnatal care for these types of malformations relies on a multidisciplinary approach to guide parental decision-making in continuation of the pregnancy and optimize outcomes. Some cases only require routine perinatal care in secondary care centers, while complex malformations benefit from specialized planning at tertiary centers to improve outcomes.
ConclusionDedicated ultrasonographic evaluation of fetal renal and urogenital anomalies in a tertiary care center enables accurate diagnosis and individualized care planning, particularly in complex cases. This approach provides parents with timely information, supports decision-making, and guides individualized perinatal care.
Las anomalías renales y urogenitales congénitas representan una parte importante de los defectos congénitos, con un impacto del 16% y el 8% de todas las anomalías congénitas, respectivamente, según cifras europeas1. Estas malformaciones varían desde afecciones leves y transitorias hasta anomalías graves que pueden provocar daños irreversibles en los órganos, la muerte del feto o morbimortalidad neonatal. La identificación prenatal precoz de estas afecciones permite tomar decisiones respecto a la continuación del embarazo o planificar cuidadosamente los cuidados perinatales y posnatales, con el objetivo de prevenir complicaciones y mejorar los resultados. Además, brinda la oportunidad de realizar pruebas genéticas fetales y ofrecer asesoramiento, incluyendo procedimientos como el muestreo de vellosidades coriónicas y la amniocentesis cuando estén indicados2.
En los Países Bajos la atención prenatal es altamente accesible, y se ofrece a las parejas embarazadas la prueba prenatal no invasiva, así como ecografías para la detección de anomalías a las 13 y 20semanas de gestación, todas cubiertas por el sistema sanitario3,4. La detección ecográfica de anomalías renales y urogenitales se ha convertido en una parte importante de este programa nacional de detección de anomalías fetales. Las ecografías de las semanas 13 y 20 se consideran las técnicas de imagen habituales para la detección de anomalías estructurales, ya que proporcionan información crucial de manera temprana, que puede orientar la toma de decisiones de los padres. Este último aspecto es especialmente importante en los Países Bajos debido a la restricción legal de la interrupción del embarazo, que se permite hasta las 24semanas de edad gestacional5.
Cuando se detecta una anomalía durante la exploración de anomalías de las semanas 13 o 20, las parejas embarazadas son remitidas a un centro de atención terciaria para una evaluación diagnóstica más exhaustiva. Los centros de atención terciaria desempeñan un papel esencial en el tratamiento de las malformaciones congénitas al proporcionar una atención especializada y multidisciplinar. En nuestro centro, Erasmus University Medical Center (Erasmus MC) de Rotterdam (Países Bajos), ofrecemos herramientas de diagnóstico avanzadas, como ecografía de alta definición y pruebas genéticas, junto con conocimientos especializados de varias disciplinas. La experiencia multidisciplinar disponible en Erasmus MC garantiza que los futuros padres que se enfrentan al diagnóstico de una malformación renal o urogenital del feto sean atendidos por un equipo de especialistas que incluye especialistas en medicina fetal, obstetras, genetistas, urólogos pediátricos, nefrólogos pediátricos y neonatólogos, dependiendo del diagnóstico.
Un diagnóstico diferencial preciso de la sospecha de malformaciones es fundamental para este enfoque multidisciplinar, pues permite a los clínicos adaptar su enfoque y proporciona a los futuros padres información clara y detallada sobre el pronóstico de su hijo.
ObjetivoCon esta perspectiva, nuestro objetivo es describir los motivos más frecuentes de derivación a un centro terciario en caso de sospecha de anomalías renales y urogenitales fetales, y los diagnósticos diferenciales realizados mediante el uso de la evaluación ecográfica. Además, describimos la coordinación entre la medicina pre- y posnatal con base en nuestras experiencias en el Erasmus MC.
Malformaciones renales y urogenitales fetalesPara esta revisión, clasificamos las anomalías renales y urogenitales fetales en función de los motivos más comunes de derivación. De este modo, se hace evidente el proceso de razonamiento del especialista en medicina fetal, particularmente en cómo se formula un diagnóstico diferencial. Es importante tener en cuenta que existe una diferencia crucial entre la evaluación prenatal y la posnatal al valorar el sistema urogenital fetal. La evaluación urogenital prenatal es principalmente estructural, mientras que la evaluación posnatal incluye tanto aspectos estructurales como funcionales. Prenatalmente, el volumen del líquido amniótico representa indirectamente la producción de orina y, por tanto, la función renal a partir de las 18semanas de gestación6, pero también depende de varios otros factores, como enfermedades maternas o uso de medicamentos, complicaciones en embarazos gemelares, patologías fetales distintas de las anomalías urogenitales, restricción del crecimiento fetal o rotura de membranas7.
Parénquima renal anormalLa derivación por patologías renales fetales puede deberse con frecuencia a hallazgos anómalos del parénquima renal, que indican condiciones con implicaciones pronósticas que van desde muy leves hasta graves. Por ejemplo, la ausencia de parénquima renal visible en la fosa renal y de la arteria renal indica agenesia renal, cuyo pronóstico depende críticamente de si se trata de un hallazgo unilateral o bilateral. La agenesia renal bilateral, asociada a oligohidramnios o anhidramnios según la edad gestacional, afecta gravemente el desarrollo pulmonar fetal y es una condición letal. Como se mencionó anteriormente, en las primeras etapas de la gestación el líquido amniótico tiene un origen placentario, y un volumen relativamente normal de líquido amniótico puede estar presente hasta aproximadamente las 16-18semanas de edad gestacional, incluso en fetos con agenesia renal bilateral8. Sin embargo, la agenesia renal unilateral puede tener un desenlace favorable si el riñón contralateral no presenta anomalías9. Si se sospecha agenesia renal unilateral, siempre debe considerarse la posibilidad de un riñón ectópico, ubicado con mayor frecuencia en la pelvis, lo cual es un hallazgo relativamente común en estos casos. Anomalías como el riñón en herradura son raras pero pueden ser visibles mediante ecografía prenatal, aunque su diagnóstico prenatal es menos frecuente debido a sus características ecográficas sutiles.
En general, las patologías del parénquima renal suelen estar infradiagnosticadas intraútero, en parte por la falta de criterios estandarizados para la evaluación del parénquima renal. Aunque la ecogenicidad renal varía normalmente a lo largo de la gestación —hiperecogénica en comparación con el hígado fetal en el primer trimestre, isoecogénica en el segundo y hipoecogénica en el tercero10—, los riñones hiperecogénicos pueden ser motivo de derivación11.
En estos casos, puede considerarse el siguiente diagnóstico diferencial:
- 1)
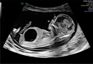
Enfermedad renal poliquística autosómica recesiva (ERPQAR) (fig. 1).
- 2)
Poliquistosis renal autosómica dominante (PQRAD).
- 3)
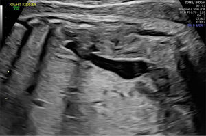
Displasia obstructiva (fig. 2).
Figura 2.Displasia obstructiva alrededor de las 20 semanas de edad gestacional. Este feto masculino mostraba una obstrucción del tracto urinario inferior con riñones ecogénicos e hidrouréter severo; en esta imagen se visualiza y mide el riñón derecho. Imagen ecográfica del Centro Médico de la Universidad Erasmus.
- 4)
Síndromes genéticos (como Bardet Biedl, Meckel Gruber y trisomía 18).
- 5)
Variación normal.
El pronóstico depende del origen de la hiperecogenicidad renal, y puede ser difícil de establecer en el segundo trimestre. Se requieren ecografías seriadas para evaluar la función renal (es decir, volumen de líquido amniótico) y el tamaño renal. El oligohidramnios y el anhidramnios son indicadores de mal pronóstico.
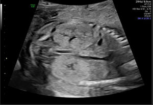
Otro motivo de derivación podría ser la presencia de uno o más quistes renales, cuyo diagnóstico diferencial ecográfico incluye riñón displásico multiquístico (RDMQ), quistes renales simples y riñones poliquísticos. La localización del quiste dentro del riñón, el tamaño renal y el índice de líquido amniótico pueden ayudar a distinguir entre los diagnósticos. El RDMQ se presenta con múltiples quistes, por lo general unilaterales, en la corteza renal, ausencia de pelvis renal y sin parénquima renal normal visible por ecografía (fig. 3). Puede confundirse con hidronefrosis cuando los cálices dilatados simulan quistes grandes; sin embargo, la presencia de parénquima normal y una pelvis renal (dilatada) indica hidronefrosis. Los quistes renales simples pueden aparecer en etapas tempranas de la gestación y la mayoría se resuelven durante el embarazo12.
Dilatación del tracto urinarioLa dilatación del tracto urinario (DTU) es un hallazgo frecuente en la etapa prenatal, ya que ocurre en el 1%-2% de todos los embarazos13,14. Un sistema colector renal dilatado se define como un aumento del diámetro anteroposterior (DAP) de la pelvis renal, lo cual depende de la edad gestacional. Los valores umbral para diagnosticar hidronefrosis son un DAP mayor de 7mm en el segundo trimestre y de 10mm en el tercer trimestre, acompañado de dilatación calicial14,15. Los uréteres no deben ser visibles en un feto en ninguna edad gestacional; por tanto, su visualización se considera siempre anormal y se clasifica como hidrouréter. La dilatación pélvica también puede ser leve, apenas por encima de los límites superiores para dilatación y sin caliectasia. En estos casos, se clasifica como pielectasia, una condición generalmente benigna que suele ser transitoria y no requiere seguimiento en un centro de atención terciaria16.
Es importante destacar que hasta aproximadamente el 60% de los casos de DTU se detectan durante las ecografías rutinarias del tercer trimestre17. Debido al aumento de la producción de orina en el segundo trimestre, la DTU suele identificarse en la ecografía morfológica de las 20semanas, y rara vez en la de las 13semanas. Además, los valores normales para la pelvis renal en el primer trimestre no están (aún) ampliamente disponibles en la literatura, y la evaluación de los riñones no forma parte del cribado ecográfico de las 13semanas en los Países Bajos. Para abordar esta laguna de conocimiento, nuestro centro está actualmente recopilando datos renales del primer trimestre con el objetivo de establecer valores de referencia para uso futuro, lo que podría permitir una identificación y manejo más tempranos de DTU18.
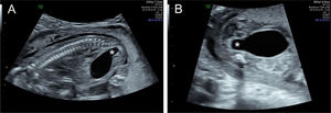
El diagnóstico diferencial de DTU depende en gran medida de la localización y del grado de dilatación dentro del tracto urinario. La hidronefrosis sin hidrouréter puede indicar una obstrucción de la unión pieloureteral (UPU) (fig. 4), mientras que la dilatación de la pelvis renal con hidrouréter sugiere más probablemente un reflujo vesicoureteral (RVU) o una obstrucción de la unión vesicoureteral (fig. 5). Además, una hidronefrosis severa puede, en ocasiones, simular RDMQ; por lo tanto, este último debe incluirse en el diagnóstico diferencial. Dado que un sistema colector renal duplicado puede asociarse con hidronefrosis en una o ambas porciones, se recomienda una evaluación detallada del aspecto renal y la búsqueda de un ureterocele en la vejiga. La dilatación de todo el sistema (riñón, uréter y vejiga) indica una obstrucción congénita del tracto urinario inferior (fig. 6), que puede tener diversas etiologías, como válvulas de uretra posterior (en fetos masculinos), atresia uretral o malformaciones cloacales (en fetos femeninos)19. Con excepción de la pielectasia transitoria, siempre se ofrece evaluación genética prenatal ante la sospecha de DTU fetal.
Hidronefrosis sin hidrouréter del riñón izquierdo alrededor de las 20semanas de edad gestacional. El riñón superior (izquierdo) muestra dilatación pélvica y caliectasia, mientras que el riñón inferior (derecho) presenta un aspecto normal. Imagen ecográfica del Centro Médico de la Universidad Erasmus.
Obstrucción del tracto urinario inferior alrededor de las 23 semanas de edad gestacional. Obsérvese la hidronefrosis bilateral, más prominente en uno de los dos riñones. La vejiga también está agrandada (no visible en esta imagen). Imagen ecográfica del Centro Médico de la Universidad Erasmus.
Cuando se confirma la DTU, se recomienda realizar ecografías de seguimiento en el tercer trimestre para evaluar su progresión o resolución. La reevaluación incluye la valoración del grado de dilatación, si involucra uno o ambos riñones, la cantidad de líquido amniótico y cualquier anomalía asociada con los uréteres, la vejiga u otras estructuras genitourinarias. El seguimiento en el tiempo es importante, ya que la DTU puede variar desde una condición leve y autolimitada hasta una forma grave que puede requerir intervención terapéutica temprana en el periodo posnatal. Al evaluar el grado y la localización de la dilatación, así como la posible implicación de estructuras asociadas, se puede determinar si es necesario un enfoque multidisciplinar con participación de nefrología o urología pediátrica.
Aspecto vesical anormalLa derivación de un feto con una vejiga de apariencia anormal puede deberse a diversas razones. La vejiga puede estar aumentada de tamaño, no ser visible o presentar un aspecto anormal de otro modo.
El agrandamiento de la vejiga es un diagnóstico típico del primer trimestre, definido como una vejiga con un diámetro longitudinal superior a 7mm. Desde el punto de vista ecográfico, la verdadera megacistis se caracteriza por la persistencia del aumento del diámetro vesical y su incapacidad para vaciarse con el tiempo (fig. 7). Una vejiga ligeramente agrandada puede ser transitoria y no siempre indicativa de una afección patológica. El diámetro longitudinal es un buen predictor de la resolución en la megavejiga diagnosticada antes de las 18semanas de gestación. En concreto, el punto de corte ideal para el diámetro longitudinal asociado a la resolución es de 12mm, por lo que el diámetro longitudinal puede informar sobre la probabilidad de resolución espontánea20. En la megacistis, la vejiga permanece marcadamente distendida, ocupando en muchos casos gran parte de la pelvis o el abdomen del feto, y este agrandamiento se observa en ecografías seriadas. También puede visualizarse la uretra posterior (conocido como «signo del ojo de cerradura», fig. 8)21. Este hallazgo ecográfico sugiere una patología obstructiva subyacente, como válvulas uretrales posteriores o atresia uretral, que provocan un vaciado deficiente de la vejiga. Por el contrario, en los fetos sanos puede observarse un agrandamiento transitorio de la vejiga, ya que el llenado y vaciado de la vejiga fetal es cíclico. Además, la presencia de oligohidramnios, un aumento del grosor de la pared vesical, hidrouréter o hidronefrosis en la ecografía pueden indicar aún más la afectación renal en los casos de megacistitis verdadera, reflejando la alteración del flujo urinario o de la función renal. El pronóstico depende de la presencia de anomalías asociadas, como displasia del parénquima renal, hipoplasia pulmonar por oligohidramnios o anhidramnios, y patología subyacente como anomalías cromosómicas como la trisomía 13 o18.
En contraste con los hallazgos evidentes de la megacistis, también puede observarse la ausencia de una vejiga visible, a pesar de exploraciones repetidas a lo largo del tiempo, ya que la vejiga no se encuentra dentro de la pelvis y/o no acumula orina. Ante la presencia de oligo o anhidramnios y escaso llenado gástrico, deben descartarse en primer lugar la agenesia renal bilateral, el RDMQ u otras anomalías renales que puedan impedir el llenado vesical por falta de producción de orina. El diagnóstico diferencial también incluye la extrofia vesical, especialmente cuando se observa una inserción baja del cordón umbilical. Esta es una malformación congénita grave en la que la vejiga queda expuesta fuera de la pared abdominal debido al cierre incompleto de la pared abdominal inferior y la vejiga22. La extrofia vesical se caracteriza además por un defecto de la pared abdominal anterior, una sínfisis púbica ensanchada, malformaciones genitales y anomalías de las extremidades inferiores. También debe sospecharse y descartarse una extrofia cloacal, que además implica compromiso intestinal.
Por último, puede observarse una estructura ecogénica anormal dentro de la vejiga, frecuentemente caracterizada por la presencia de una estructura membranosa fina, compatible con un ureterocele. Esta dilatación quística del uréter terminal en la vejiga se asocia con frecuencia al polo superior de un sistema colector renal duplicado, lo que justifica la evaluación exhaustiva de los riñones23.
Genitales atípicosLos genitales no forman parte obligatoria del cribado morfológico de la semana20, pero en la práctica suelen observarse, ya que la mayoría de los padres desea conocer el sexo del feto. Los padres pueden ser derivados en esta fase antes, durante la llamada «ecografía de sexo», realizada aproximadamente a las 15-16semanas de gestación, o más adelante en el embarazo durante una ecografía rutinaria en la que surja alguna duda sobre la morfología genital. En estos casos, ecografistas expertos realizan una ecografía detallada bidimensional (2D) y tridimensional (3D) específica para una evaluación detallada y sistemática del tracto urogenital con el fin de acotar el diagnóstico diferencial.
Para evaluar los genitales de la manera más sistemática posible, la figura 9 presenta un diagrama de flujo para la obtención de imágenes dirigidas del tracto urogenital. En principio, es útil que el ecografista comience por observar la presencia o ausencia de útero mediante la medición de la distancia entre la vejiga y el recto y la visualización de una masa que sobresalga hacia la vejiga24. A partir de esto, se puede concluir si los genitales internos indican un sexo femenino o masculino. A continuación, puede realizarse una evaluación sistemática de los genitales externos, en la que se valoran las siguientes estructuras: pliegues labioescrotales (es decir, distinción de labios menores o fusión de los pliegues labioescrotales y presencia o ausencia de un rafe), el falo (es decir, dimensiones, presencia de glande romo, curvatura, visualización de los cuerpos cavernosos y su curvatura, si es posible visualización del meato, presencia de tejido extra alrededor del falo); y, si el examen se realiza después de las 28semanas, la presencia y localización de los testículos. También se examina el complejo esfinteriano anorrectal y la inserción del cordón umbilical. La ecografía 3D solo se utiliza como herramienta complementaria a la 2D cuando la posición fetal es favorable y se pueden obtener imágenes de buena calidad.
El hipospadias es la anomalía urogenital más frecuente en los neonatos varones. Sin embargo, esta anomalía no suele detectarse antes del nacimiento. Los hallazgos ecográficos incluyen un glande romo, una curvatura anormal en el plano sagital y un tallo peneano corto (fig. 10a-c)25,26. Evaluar el escroto y, en caso de escroto bífido, también se incluye en el estudio. La micción, cuando se visualiza, puede aportar información adicional, ya que el chorro urinario ocurre en una dirección perpendicular al eje del pene desde su aspecto ventral27. La predicción de la gravedad del hipospadias, es decir, glandular, penoescrotal o escrotal/perineal, es limitada en el periodo prenatal. El denominado «signo del tulipán»28 (fig. 10c), que resulta de un pene doblado ventralmente y ubicado entre los dos pliegues escrotales, es un signo ecográfico de hipospadias grave. Otras anomalías genitales que pueden visualizarse prenatalmente son epispadias (con extrofia vesical), micropene, megalouretra o clitoromegalia. En una minoría de casos, se realizará el diagnóstico prenatal de «genitales ambiguos», lo que requerirá una evaluación posnatal integral y multidisciplinaria para especificar el diagnóstico29.
El papel de la genética y los marcadores bioquímicos en las anomalías renales y urogenitalesUna perspectiva exhaustiva de las posibles causas genéticas y bioquímicas de las anomalías ecogénicas en los sistemas renal y urogenital está fuera del alcance de este artículo. Por lo tanto, esta sección ofrece una perspectiva global concisa y destaca las consideraciones esenciales para la práctica clínica.
Ante la sospecha de una anomalía estructural en la ecografía prenatal, se ofrece a los futuros padres la realización de pruebas invasivas como la biopsia de vellosidades coriónicas o la amniocentesis. El muestreo de vellosidades coriónicas se realiza entre las 11+0 y las 14+0 semanas edad gestacional, y la amniocentesis se ofrece a partir de las 15+0 semanas edad gestacional. En el caso de que los padres rechacen las pruebas prenatales, podría ofrecerse la prueba genética posnatal, utilizando sangre del cordón umbilical o sangre periférica del bebé. Si la detección rápida de aneuploidías (DRA) es normal o ya se ha realizado una prueba prenatal no invasiva en el primer trimestre, los padres serán atendidos por un genetista clínico para recibir asesoramiento previo sobre las pruebas genéticas disponibles. Entre ellas se incluyen el análisis de variantes en el número de copias (VNC) mediante microarrays genómicos y el análisis de variantes de un solo nucleótido mediante la secuenciación del exoma completo (SEC) o la secuenciación del genoma completo (SGC)30.
Recientemente, Talati et al.31 han publicado una revisión exhaustiva que resume las consideraciones genéticas en las anomalías congénitas del riñón y del tracto urinario (ACRTU). Con respecto al análisis DRA y VNC, se ha informado de un rendimiento diagnóstico de hasta el 25% para aneuploidías o anomalías cromosómicas en las anomalías ACRTU31. Por ejemplo, la megavejiga en el primer trimestre se asocia fuertemente con aneuploidías, especialmente con las trisomías 18, 13 y 21, y solo en raras ocasiones con anomalías cromosómicas detectables mediante VNC20,32-34. Otra anomalía frecuente, como la DTU, se ha asociado con la trisomía 21 y aparece en el 11-17% de los fetos con esta condición14,35. En cohortes con anomalías ACRTU, el rendimiento diagnóstico general del SEC ha sido descrito en torno al 16%36. Un estudio más detallado encontró un rendimiento diagnóstico del 9,1% para ACRTU aislado y del 25% cuando ACRTU se asocia a otras anomalías en la ecografía fetal37. Las enfermedades renales quísticas, excluyendo el RDMQ, son causadas con mayor frecuencia por enfermedades monogénicas, como la enfermedad renal poliquística autosómica recesiva (ERPQAR), el síndrome de Bardet-Biedl y el síndrome de Meckel-Gruber31. Por tanto, cuando se detecta una enfermedad renal quística en la ecografía, debe ofrecerse asesoramiento genético. En cuanto a las anomalías genitales, en nuestro centro se ha encontrado un rendimiento diagnóstico del 24% en las pruebas genéticas prenatales, incluyendo tanto anomalías genitales aisladas como aquellas asociadas con otras anomalías estructurales38.
En resumen, en el caso de las anomalías renales y urogenitales, debe considerarse la posibilidad de realizar pruebas de panel específicas o SEC si existen anomalías asociadas o antecedentes familiares relevantes que sugieran una afección sindrómica39,40. Los marcadores bioquímicos, como el calcio o la beta-2-microglobulina, no se utilizan de forma rutinaria en la práctica prenatal en nuestro centro.
Integración de la atención pre- y posnatalPara brindar la atención más adecuada a los fetos afectados y a sus padres, la integración de la atención pre-y posnatal mediante un enfoque multidisciplinar es fundamental en el caso de malformaciones renales y urogenitales. Una vez establecido el diagnóstico diferencial prenatal, en la mayoría de los casos se ofrecen pruebas genéticas adicionales para evaluar la etiología y el pronóstico de la anomalía. Sin embargo, las pruebas genéticas no se aplican a todas las anomalías urogenitales. En determinadas malformaciones con baja asociación con anomalías genéticas—como la pieloectasia leve, la agenesia renal unilateral aislada, el riñón pélvico o el RDMQ— generalmente no se considera necesario realizar pruebas genéticas prenatales. Por el contrario, cuando se sospecha un trastorno cromosómico o genético concomitante, este tiene un impacto considerable en el pronóstico y en la toma de decisiones de los padres. En estas situaciones, los padres son guiados mediante un proceso de toma de decisiones compartida por parte del obstetra y el genetista clínico, quienes pueden ofrecer una visión completa de los posibles resultados. En los casos complejos, tanto con una causa genética conocida como sin ella, se involucra también al neonatólogo, al urólogo pediátrico, al nefrólogo pediátrico o a especialistas en trastornos del desarrollo sexual en el proceso de asesoramiento prenatal. Esto proporciona a los padres una comprensión más completa de los posibles escenarios posnatales y del manejo perinatal.
El nivel de atención y el lugar del parto se determinan en función del tipo y la gravedad de la malformación. En malformaciones relativamente menores y aisladas, como la hidronefrosis unilateral o los quistes renales simples, el manejo puede llevarse a través de la atención prenatal habitual, con asesoramiento por parte de un especialista en medicina fetal u obstetra. Estos casos generalmente no requieren atención especializada al nacer, por lo que el parto puede planificarse en un hospital de atención secundaria. En tales casos, el pronóstico suele ser favorable y las malformaciones se resuelven espontáneamente o requieren solo una intervención mínima en el periodo posnatal.
En otros casos, cuando las malformaciones renales o urogenitales son más complejas —como malformaciones bilaterales, anomalías no aisladas, genitales ambiguos o RDMQ de gran tamaño que puedan comprometer la función respiratoria por compresión de estructuras como el diafragma—, la situación requiere un enfoque multidisciplinar. Estas malformaciones complejas se asocian con un mayor riesgo de complicaciones perinatales y neonatales, incluyendo dificultad respiratoria, insuficiencia renal y la posible necesidad de intervención quirúrgica poco después del nacimiento. En estos casos, se prefiere planificar el parto en un centro terciario que pueda ofrecer atención neonatal especializada inmediata, si es necesario.
Para garantizar una transición óptima de la vida prenatal a la posnatal, la colaboración multidisciplinar es esencial. En nuestro centro se realizan reuniones semanales que incluyen neonatólogos, urólogos pediátricos, nefrólogos pediátricos, cirujanos y otros especialistas que permiten desarrollar planes de atención individualizados adaptados a cada caso. Esta integración del cuidado pre- y posnatal no solo tiene como objetivo optimizar los resultados en salud, sino también ofrecer a las familias el apoyo y la información necesarios para afrontar los desafíos asociados con las anomalías urogenitales. Las opciones disponibles varían entre países, lo que también influye en la atención posnatal.
ConclusionesLas anomalías renales y urogenitales se identifican con frecuencia en la etapa prenatal y abarcan desde condiciones leves y autolimitadas hasta anomalías graves que pueden poner en riesgo la vida. Una evaluación ecográfica especializada en un centro de atención terciaria, seguida de consultas multidisciplinares, permite un diagnóstico preciso y una planificación individualizada de la atención, especialmente en los casos complejos. La colaboración entre especialistas en medicina fetal, obstetras, neonatólogos, urólogos pediátricos y nefrólogos garantiza que cada caso con malformaciones renales y/o urogenitales reciba una evaluación integral y una orientación personalizada, lo que facilita la toma de decisiones informadas por parte de los padres durante el embarazo y después del nacimiento.
FinanciaciónNo se obtuvo financiación para este estudio.
Conflicto de interesesLos autores declaran no tener ningún conflicto de intereses.
















