To determine the precision and accuracy of intraoral sonography in assessing the depth of invasion in oral cancer.
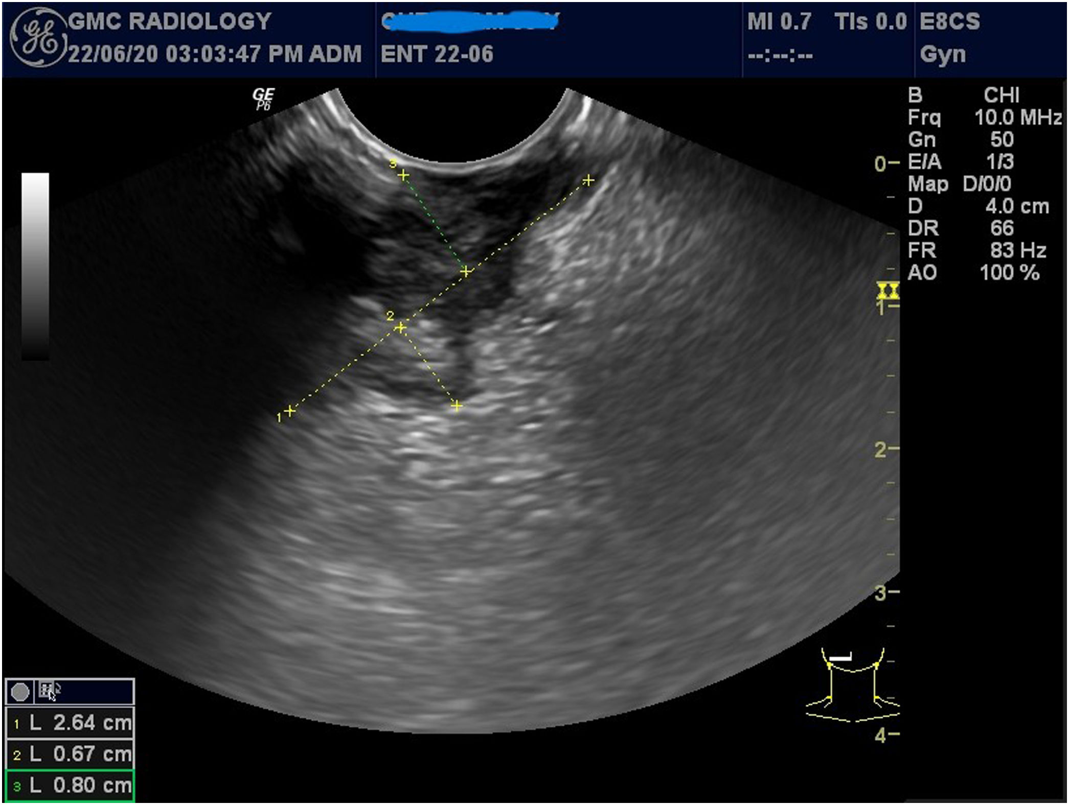
Material and methodsA prospective study was conducted in 30 cases of oral cancer. Subjects were subjected to computerised tomography and intraoral sonography before surgery. The depth of invasion assessed through clinical palpation and radiological tools was compared with surgical histopathology.
ResultsThe depth of invasion assessed on clinical palpation and computerized tomography had statistically significant difference with histopathology whereas intraoral sonography didn’t show any difference. The intraoral sonography and computerised tomography had comparable precision and accuracy, with a slight dominance of the computerised tomography in assessing the tumor's depth of invasion greater than 4 mm. However, intraoral sonography was more precise and accurate than computerised tomography in assessing the depth of invasion beyond 10 mm.
ConclusionIntraoral sonography was found to be a reliable tool in the assessment of the depth of invasion in oral cancer. It can prove beneficial during surgery in achieving tumour-free surgical margins.
Determinar la precisión y exactitud de la ecografía intraoral para evaluar la profundidad de la invasión en el cáncer oral.
Material y métodosSe realizó un estudio prospectivo en 30 casos de cáncer bucal. Los sujetos fueron sometidos a una tomografía computarizada y una ecografía intraoral antes de la cirugía. La profundidad de la invasión evaluada mediante palpación clínica y herramientas radiológicas se comparó con la histopatología quirúrgica.
ResultadosLa profundidad de la invasión evaluada mediante palpación clínica y tomografía computarizada tuvo diferencias estadísticamente significativas con la histopatología, mientras que la ecografía intraoral no mostró ninguna diferencia. La ecografía intraoral y la tomografía computarizada tuvieron precisión y exactitud comparables, con un ligero predominio de la tomografía computarizada en la evaluación de la profundidad de invasión del tumor superior a 4 mm. Sin embargo, la ecografía intraoral fue más precisa y exacta que la tomografía computarizada para evaluar la profundidad de la invasión más allá de 10 mm.
ConclusiónSe encontró que la ecografía intraoral es una herramienta confiable en la evaluación de la profundidad de la invasión en el cáncer oral. Puede resultar beneficioso durante la cirugía para lograr márgenes quirúrgicos libres de tumores.










