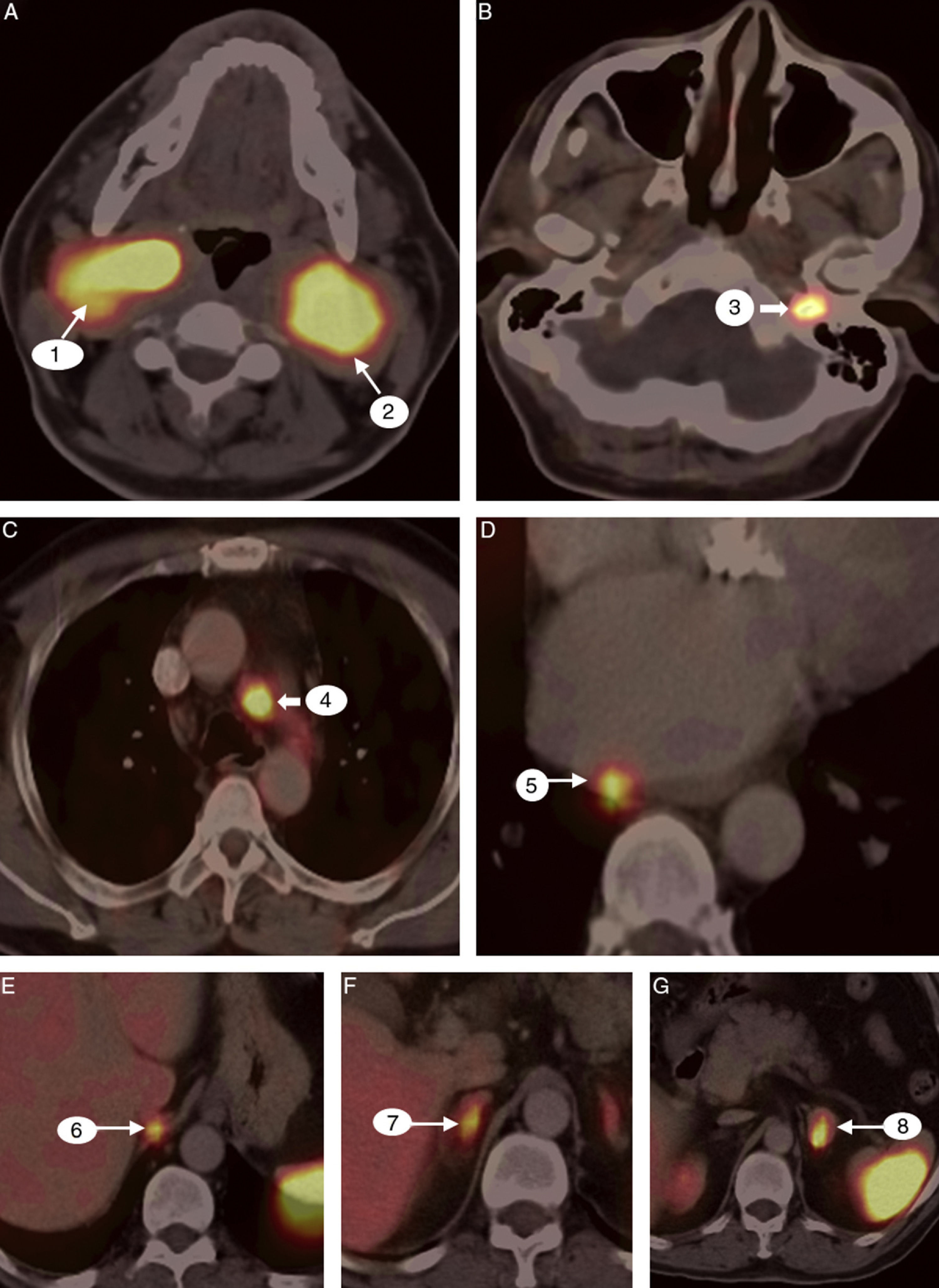
Paragangliomas, or glomus tumors, are neoplasms arising from extra-adrenal chromaffin tissue. They frequently cause symptoms by over-production of catecholamines with known predilection to multicentricity. We describe the case of a patient with bilateral carotid body tumor who underwent a preoperative 68Gallium labeled [1,4,7,10-tetraazacyclododecane-1,4,7,10-tetraacetic acid]-1-NaI3-Octreotide (68Ga-DOTANOC) positron emission tomography/computed tomography (PET/CT) imaging for staging. This is a unique case in which multiple paraganglioma and pheochromocytoma were demonstrated in a single patient using 68Ga-DOTANOC PET/CT.
Los paragangliomas o tumores de glomus son tumores derivados del tejido cromafín extraadrenal y con frecuencia causan síntomas por exceso de producción de catecolaminas con conocida predilección a ser multicéntricas. Se describe a un paciente con un tumor del cuerpo carotídeo bilateral al que se realizó un estudio PET/TC de extensión preoperatorio con 68Ga-DOTANOC. Este es un caso único en el que al mismo paciente se le diagnosticó un paraganglioma múltiple y un feocromocitoma con 68Ga-DOTANOC PET/TC.
Article
If you experience access problems, you can contact the SEMNIM Technical Secretariat by email at secretaria.tecnica@semnim.es or by phone at +34 619 594 780.
Revista Española de Medicina Nuclear e Imagen Molecular (English Edition)





