The aim of this study was to present the effect of the peristaltic segment sign for the differential diagnosis between malignant, physiological and gastrointestinal focal fluorodeoxyglucose (FDG) uptakes as an alternative method to maximum standardized uptake value (SUVmax).
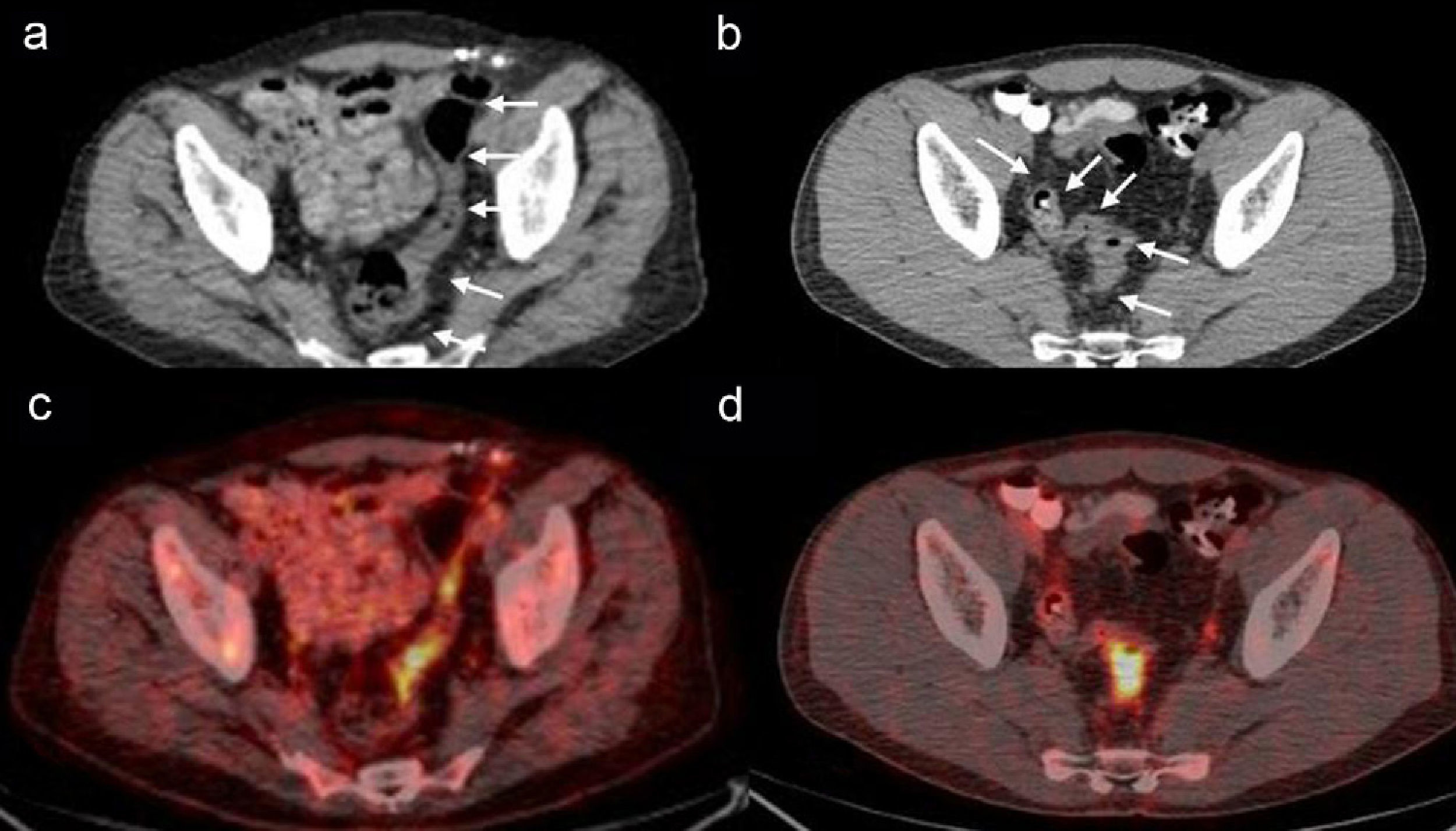
Materials and methodsGastrointestinal tract (GIT) sections of 823 FDG positron emission tomography/computed tomography (FDG-PET/CT) performed in our center were reviewed retrospectively. Images of these cases that have been reported for positive intestinal focal FDG uptake areas were included. Through the sectional images, any accompanying short segment expanded with air just after or before the uptake area was marked as “positive peristaltism sign”. The cases were confirmed with endoscopy plus biopsy (n:42), endoscopy (n:5), laparotomy (n:1), transabdominal biopsy (n:1), enteroclysis (n:1), CT-colonoscopy (n:5), rectal contrast enhanced CT (n:4). Distinguishing features of the sign were analyzed statistically compared to the conventional method for differentiation of malignity.
ResultsLocalized FDG uptake was reported in 59 of 823 cases. A SUVmax greater than 2.5 with intestinal wall thickening allowed the diagnosis of malignity with sensitivity 33%, specificity 65%, positive predictive value 69% and negative predictive value 46%. The peristaltic segment sign, considered as a benign finding, increased the statistical values to 68%, 80%, 82% and 65%, respectively.
ConclusionIn case of gastrointestinal increased focal FDG uptake, the new parameter of peristaltic segment sign may differentiate the physiologic uptakes from the malignant ones more accurately than the conventional SUVmax.
El objetivo de este estudio fue presentar el efecto del signo del segmento peristáltico en el diagnóstico diferencial, maligno o fisiológico, de las captaciones focales de FDG detectadas en el tracto gastrointestinal (GIT) como un nuevo parámetro alternativo al SUVmax.
Material y métodosSe revisaron retrospectivamente las secciones del GIT de 823 estudios PET/TAC con FDG en los que se informaron la presencia de una captación focal intestinal de FDG. Se identificó como “signo peristáltico positivo” cualquier segmento intestinal que contenía aire antes o después del área de captación de FDG. Los casos se confirmaron por endoscopia con biopsia (42), endoscopia (5), laparotomía (1), biopsia transabdominal (1), enteroclisis (1), colonoscopia virtual (5) y TAC abdominal con contraste rectal (4). Los rasgos característicos del signo se analizaron estadísticamente comparados al método convencional para diferenciar malignidad.
ResultadosLa captación localizada de FDG se informó en 59 de los 823 casos. Un SUV mayor de 2.5 con engrosamiento de la pared intestinal permitió el diagnóstico diferencial de malignidad con sensibilidad 33%, especificidad 65%, valor predictivo positivo 69% y valor predictivo negativo 46%. El signo del segmento peristáltico, considerado como un hallazgo benigno, aumentó significativamente los valores a 68%, 80%, 82% y 65%, respectivamente.
ConclusiónCuando se detecta un aumento focal de captación de FDG en el GIT, el signo del segmento peristáltico, como un nuevo parámetro, puede diferenciar la captación fisiológica de la captación maligna de forma más exacta que el SUV.
Article
If you experience access problems, you can contact the SEMNIM Technical Secretariat by email at secretaria.tecnica@semnim.es or by phone at +34 619 594 780.
Revista Española de Medicina Nuclear e Imagen Molecular (English Edition)






