metricas
covid
Revista Española de Medicina Nuclear e Imagen Molecular (English Edition) A rare case of synchronous multicentric paragangliomas detected using [⁶⁸Ga]...
Journal Information
Interesting images
Available online 9 October 2025
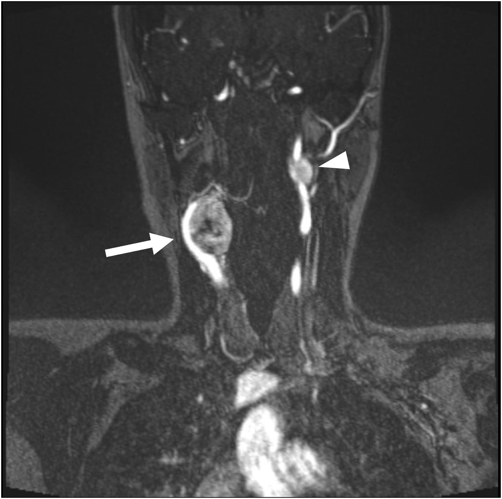
A rare case of synchronous multicentric paragangliomas detected using [⁶⁸Ga]Ga-DOTATATE PET/CT
Un raro caso de paragangliomas multicéntricos sincrónicos detectado mediante PET/TC con [⁶⁸Ga]Ga-DOTATATE
Visits
46
N. Aydinbelge Dizdara,
Corresponding author
fnuraydinbelge@gmail.com

Corresponding author.
, A. Dursuna, M. Samsuma, O. Ozmenb
a Department of Nuclear Medicine, Ankara Etlik City Hospital, Ankara, Turkey
b Department of Nuclear Medicine, University of Health Sciences, Ankara Etlik City Hospital, Ankara, Turkey
This item has received
Article information
Full Text
Bibliography
Download PDF
Statistics
Figures (3)
Show moreShow less

Article

These are the options to access the full texts of the publication Revista Española de Medicina Nuclear e Imagen Molecular (English Edition)
Member
If you are a member of the Spanish Society of Nuclear Medicine and Molecular Imaging (SEMNIM), you can access the full text of the contents of the Revista Española de Medicina Nuclear e Imagen Molecular through the journal links published on the SEMNIM website (link: http://socios.semnim.es/?ir-a=remnim), after logging in as a member.

If you experience access problems, you can contact the SEMNIM Technical Secretariat by email at secretaria.tecnica@semnim.es or by phone at +34 619 594 780.
Subscriber
Subscriber

If you already have your login data, please click here .

If you have forgotten your password you can you can recover it by clicking here and selecting the option “I have forgotten my password”
Subscribe
Subscribe to

Revista Española de Medicina Nuclear e Imagen Molecular (English Edition)

Purchase
Purchase article

Purchasing article the PDF version will be downloaded

Purchase now
Contact
Phone for subscriptions and reporting of errors
From Monday to Friday from 9 a.m. to 6 p.m. (GMT + 1) except for the months of July and August which will be from 9 a.m. to 3 p.m.
Calls from Spain
932 415 960
Calls from outside Spain
+34 932 415 960
E-mail