metricas
covid
Gastroenterología y Hepatología (English Edition) Cerebral thrombosis as a manifestation of poor control in inflammatory bowel dis...
Journal Information
Vol. 48. Issue 1.
(January 2025)
Scientific letter
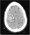
Cerebral thrombosis as a manifestation of poor control in inflammatory bowel disease
Trombosis cerebral como manifestación de mal control en enfermedad inflamatoria intestinal
Visits
171
Marta Fernández Carrasco
Corresponding author
mfcarrasco16@gmail.com

Corresponding author.
, Ana Delgado Maroto, Álvaro Hernández Martínez
Servicio de Aparato Digestivo, Hospital Universitario Torrecárdenas, Almería, Spain
This item has received
Article information
Full Text
Bibliography
Download PDF
Statistics
Figures (1)

Article

These are the options to access the full texts of the publication Gastroenterología y Hepatología (English Edition)
Subscriber
Subscriber

If you already have your login data, please click here .

If you have forgotten your password you can you can recover it by clicking here and selecting the option “I have forgotten my password”
Subscribe
Subscribe to

Gastroenterología y Hepatología (English Edition)

Purchase
Purchase article

Purchasing article the PDF version will be downloaded

Purchase now
Contact
Phone for subscriptions and reporting of errors
From Monday to Friday from 9 a.m. to 6 p.m. (GMT + 1) except for the months of July and August which will be from 9 a.m. to 3 p.m.
Calls from Spain
932 415 960
Calls from outside Spain
+34 932 415 960
E-mail